Cookie Consent byPrivacyPolicies.comIdentification implant - Eugenol

Identification implant

Casamozza

13/06/2025 à 12h14

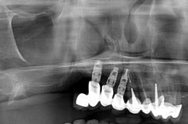
Bonjour, reconnaissez-vous la marque et le modèle de l'implant 47 ? Merci

J67zaxupz9znuvgk426a9j62ufvy - Eugenol

Jf35

13/06/2025 à 13h15

Essaye spotimplant


Photo pluton1b h9n4ea - Eugenol
pluton

13/06/2025 à 13h30

Jf35 écrivait:
----
> Essaye spotimplant

Tu as des actions chez eux toi…..😂😂

Sans blague…..ces implants sont des Zimmer TSV


Fear and loathing in las vegas toax7t - Eugenol
Donchico

13/06/2025 à 16h38

c'est comme dans le bonbon Polo , l'important c'est le trou !!!

Aukukrxlvkcxnaejeul3iy3wto6v - Eugenol

Casamozza

13/06/2025 à 17h39

pluton écrivait:
> Tu as des actions chez eux toi…..😂😂
>
> Sans blague…..ces implants sont des Zimmer TSV

Super, merci


Dentisteducantal

30/06/2025 à 15h55

Bonjour,

Es ce que quelqu'un aurai la reference de ses implants????

Merci pour vos retours !

L3ucvsdi7vs9ogutldh7d6qr9c74 - Eugenol

Photo pluton1b h9n4ea - Eugenol
pluton

30/06/2025 à 16h09

une radio mieux centrée serait idéale pour être certain à 100%.....mais ils ont quand même une bonne gueule de TBR conic....

https://www.spotimplant.com/fr/implants-dentaire/tbr/conic


Dentisteducantal

01/07/2025 à 15h12

Merci pour votre retour....je vous met une radio panoramique...j'ai pas mieux desolé....

1cw1zg981me8hj0s46hv73sekhe1 - Eugenol