Cookie Consent byPrivacyPolicies.comIdentification implantaire. - Eugenol

Identification implantaire.

moi22

11/10/2025 à 23h58

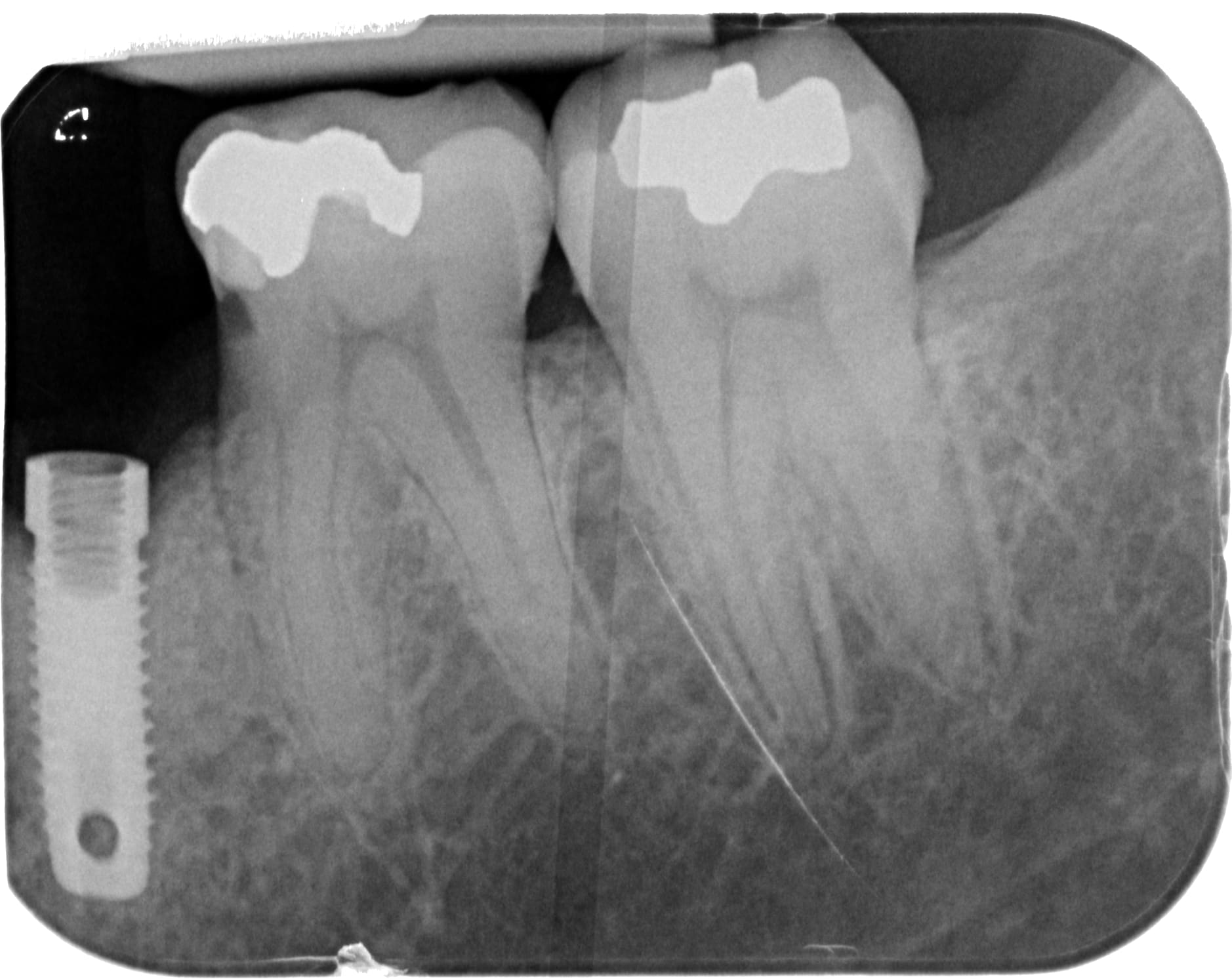
Bonjour à tous, avez vous une idée de la marque d'implant pour eux à la mandibule?

Merci d'avance

L5xeo7e7vr4jvg86w7ce93ryjz3y - Eugenol
Qn17ml7wz7hs7950l40typ0lkmd9 - Eugenol

Photo pluton1b h9n4ea - Eugenol
pluton

12/10/2025 à 00h15

https://www.spotimplant.com/fr/implants-dentaire/steri-oss/steri-oss-original-non-hex

Autant te dire que tu peux chercher longtemps pour trouver des composants….c’est mort….


moi22

12/10/2025 à 00h40

ha merde... aucune compatibilité avec un autre systeme?