Cookie Consent byPrivacyPolicies.comPetit cas ou le in-house aide au niveau du worflow - Eugenol

Petit cas ou le in-house aide au niveau du worflow

1309531 ours brun n5iukf - Eugenol
seespan

29/11/2025 à 05h20

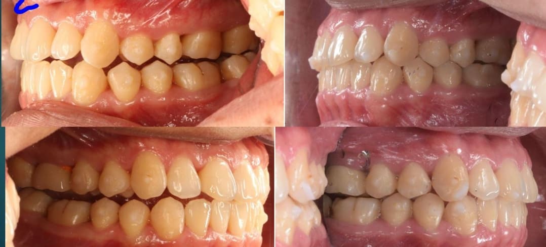
Un petit exemple de cas qui fonctionne très bien avec des aligneurs fabriqués maison, mais qui aurait été compliqué à gérer avec un laboratoire.
La patiente présentait une occlusion relativement instable, avec des contacts principalement dans le secteur postérieur. Ce type de situation est relativement facile à gérer avec des bagues, mais avec des aligneurs, sans que ce soit particulièrement compliqué, il devient difficile de prévoir la durée totale du traitement. On ne sait jamais exactement quelle sera la position de la mâchoire une fois les prématurités supprimées et une occlusion plus équilibrée obtenue.
Avec Invisalign, on résout généralement ce problème en choisissant un package longue durée, ce qui augmente le coût du traitement. Avec des aligneurs maison, on peut simplement commencer par une première phase de « stabilisation de l’occlusion » et réévaluer ensuite.
Dans ce cas, après la première série de 6 semaines, l’occlusion s’est nettement améliorée, bien que de manière imprévisible.
Cependant, la patiente a alors annoncé qu’elle n’aimait pas du tout les aligneurs. Elle ne se voyait pas les porter pendant plus d’un an ,, et souhaitait seulement une amélioration partielle et un traitement aussi rapide que possible.
Aucun problème de notre côté : nous avons simplement ajusté les objectifs du traitement et modifié le tarif en conséquence. Comme nous ne demandons pas un acompte important pour commencer, le côté administratif a été très facile à gérer.
Ce type de cas n’est pas majoritaire et peut tout à fait être pris en charge avec Invisalign, mais la flexibilité des aligneurs en interne permet de faire passer une pratique déjà fluide à ultra fluide.


--
หมอจัดฟัน

Iab02z62dutp74621yycng93ewk1 - Eugenol
Lsv2u24wtdavfmrh09ny1m602cpp - Eugenol
6f9vpfsv4apk679apsjl7kdop7ai - Eugenol

Vw campersurfvan bmnk1q - Eugenol
enlaye

29/11/2025 à 11h16

"On ne sait jamais exactement quelle sera la position de la mâchoire une fois les prématurités supprimées et une occlusion plus équilibrée obtenue."

Si bien sûr. Il suffit de les limer et la mâchoire se repositionne instantanément .
et puis de toute façon, il faut commencer par là avant d envisager quoi que ce soit sinon ne sachant pas vers où tu veux aller il y a peu de chance que tu y arrives :-))


Y3rgx68nbpv7tqitq86azx8sf72v - Eugenol
ELGY

29/11/2025 à 13h29

« Bah, les dents, c’est fait pour s’user ! » grognait Buurk le Néandertalien, en croquant un caillou…


https://www.pacea.u-bordeaux.fr/les-dents-de-thorin-un-des-derniers-neandertaliens-deurope/


1309531 ours brun n5iukf - Eugenol
seespan

29/11/2025 à 23h51

Bon c'est nonol donc beaucoup de réponse sur le mode " c'est pas parce que j'ai rien à dire que je vais fermer ma gueule !!"

Pour la petite histoire il y a un investissement massif en ortho sur le in-house depuis plus d'une décade et si tu fais des recherches dans la littérature tu vas trouver un truc marrant. Il n'y a quasi pas de publication clinique sur le sujet.
Quelque articles clinique mais rare et c'est des cas super simple , le genre de truc que je faisais quand j'ai commencé le in-house dans ma première année.
Tu as des utilisateurs ayant des résultats mais ils sont trop peut nombreux pour publier de manière importante ( en faite sur les deux dernière années, il n'y a qu'un seul auteur avec lequel je n'ai pas associé d'une manière ou d'une autre sur le in-house ).
Plus important tu n'as AUCUNE discussion sérieuse sur le workflow ou comment utilisé le in-house d'une manière différente de " je copie invisalign mais en moins bien voir plus chère ".

Les adaptation occlusal j'ai découvert ça avant la fin de ma première année et ça à changer ma manière de travailler avec les aligneurs.
Là c'était mon premiers, cas de transfert sur Ho Chi Minh, si tu envois ça à un utilisateur invisalign tu part sur du 2 ans de traitement avec des élastique distalisation tout ça.
Première phase de 6 semaine pour enlever les prématurités et le cas devient un simple alignement.

Les phases d'adaptation occlusal peuvent se faire à différent moment, là c'était au début, mais due à la manières dont les aligneurs marche tu peut créer des prématurités assez facilement, mais tu les corriges toutes aussi facilement. Les aligneurs étant très très performant pour les mouvements d'intrusion sélective.


--
หมอจัดฟัน

Uu7h2t35wrmev95r6r86kvkpviyz - Eugenol