Tous les forums
reconnaissance d'implant
718
1
doc Holiday
08/04/2026 à 16h29
Bonjour à tous
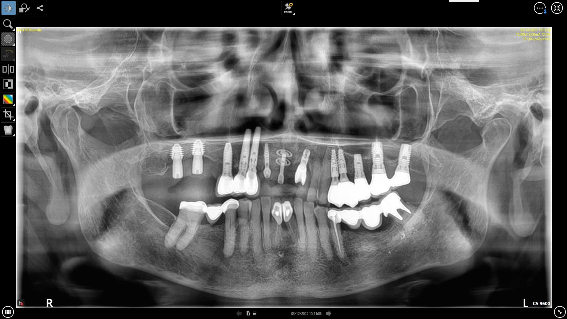
voici un implant en 21 posé il y a 25 ans par le dr Donsimoni à la clinique de l'Europe à Paris (il est agé maintenant de 80 ans ancien expert et retraité, il serait parti avec ses dossiers patients d'après la clinique)
il a posé cet implant en même temps que le diskimplant Victory en 11. je cherche un compatible pour refaire la prothèse. La connexion est un hexagone externe compatible biomet3i, mais pas la vis de pilier dont les spires sont nettement plus serrées.
Avez vous une idée?
Avec mes remerciements
Doc Holiday