
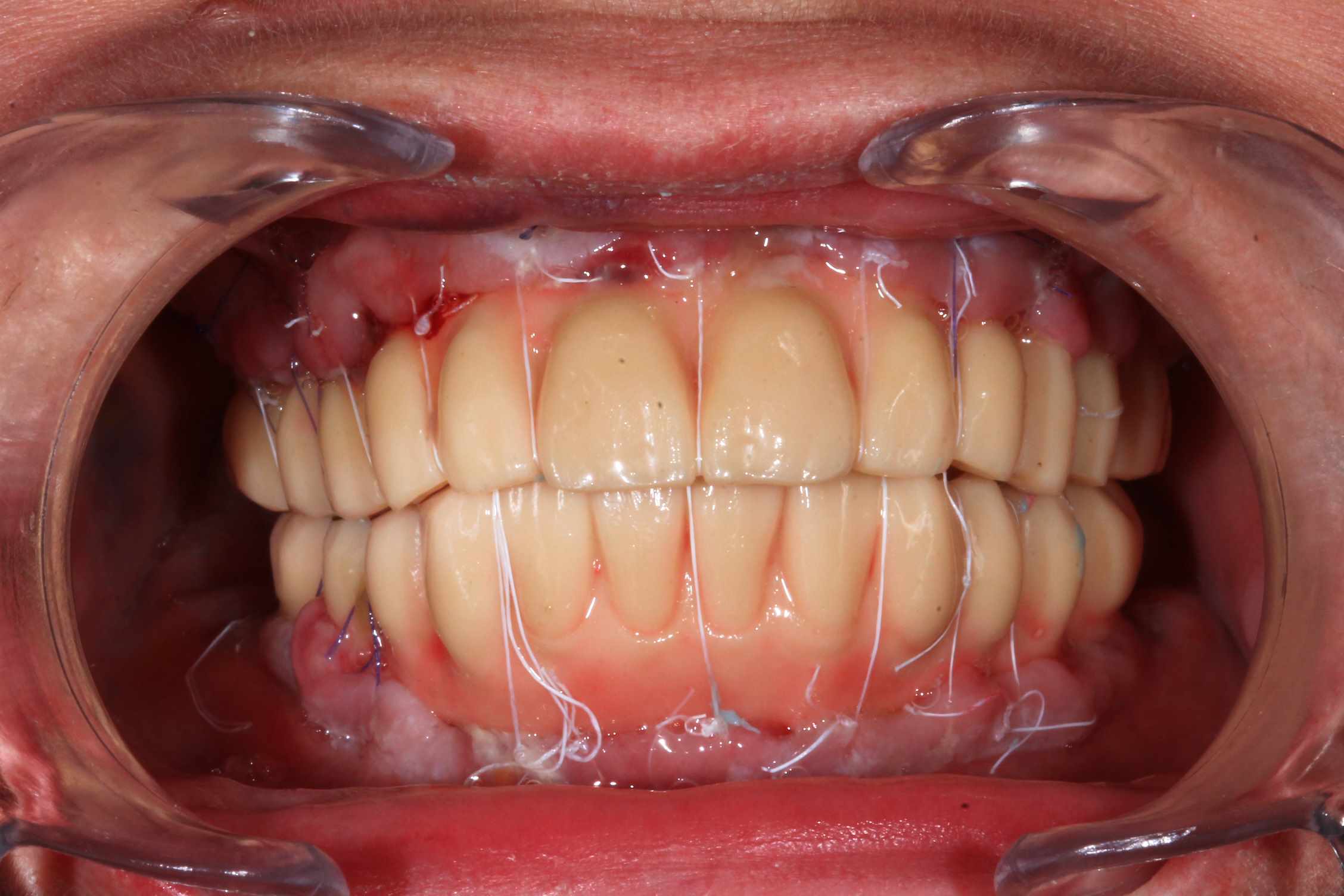
Cas clinique du Docteur Marc REGRAIN - mise en charge immédiate MCI 004.jpg

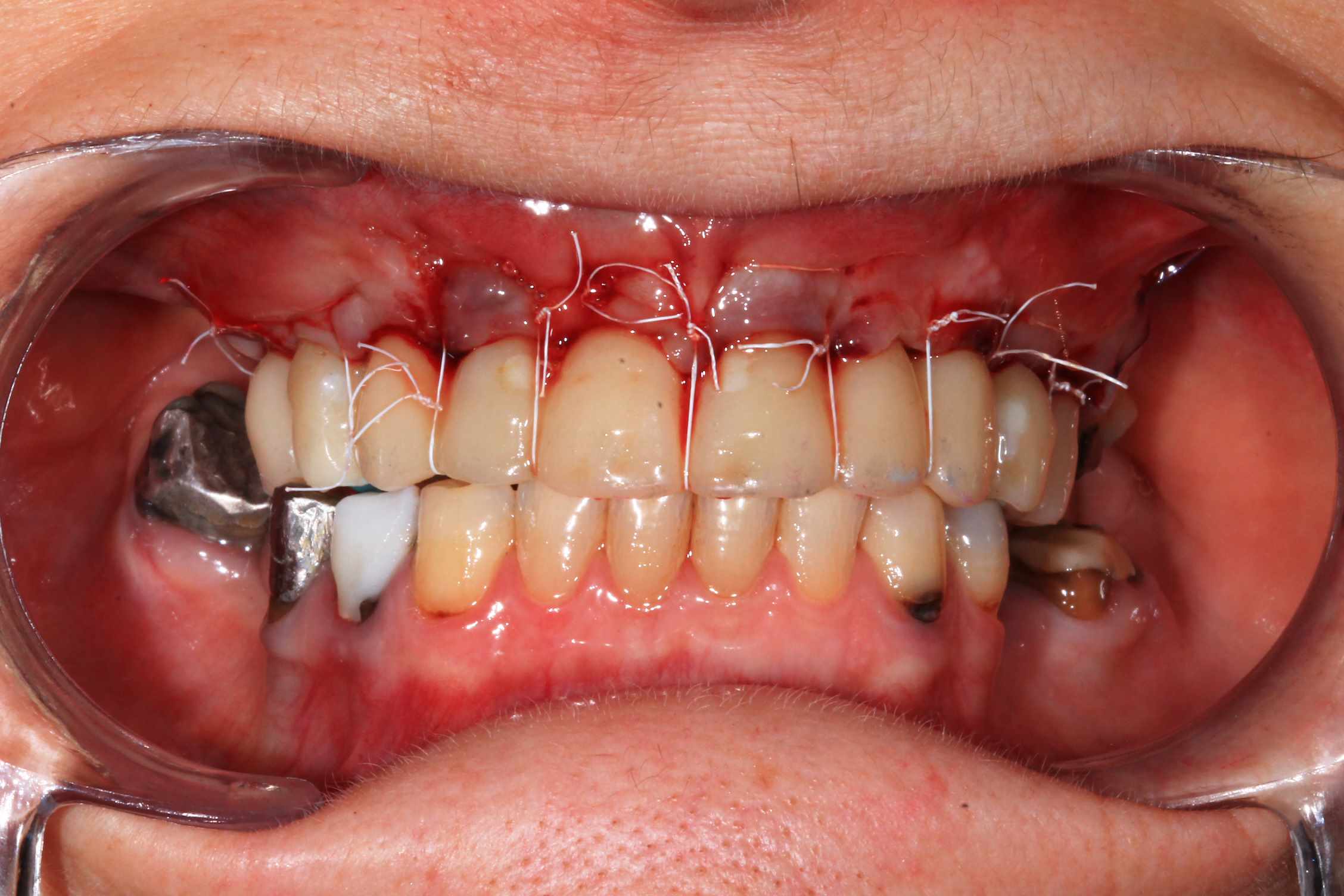
Cas clinique du Docteur Marc REGRAIN - mise en charge immédiate MCI 003.jpg

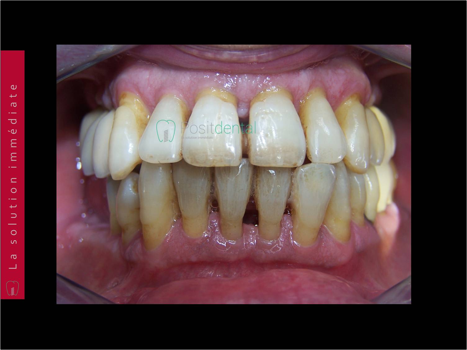
Cas clinique du Docteur Marc REGRAIN - mise en charge immédiate MCI 002.jpg

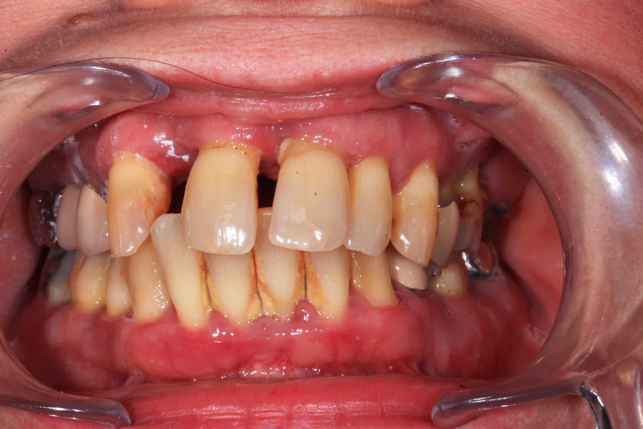
Cas clinique du Docteur Marc REGRAIN - mise en charge immédiate MCI 001.jpg















