
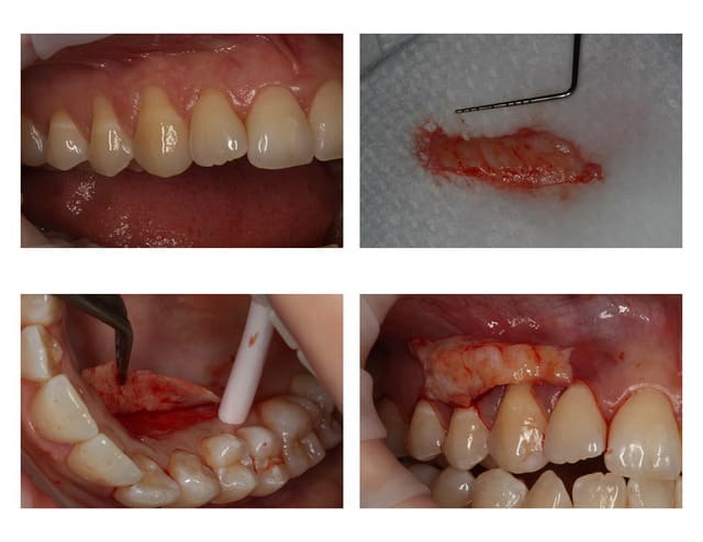
Greffe_13-14__2__wmgiwx.jpg

cheminement_gu_rison_protocole_lds2q9.jpg

macrochage_amibe_PMN_vr5o3i.jpg


Greffe_13-14__2__d0zjrv.jpg

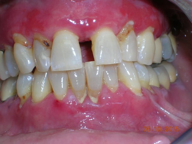
Greffe_13-14__1__zryqqw.jpg



4-_23_-_3_mois_rjyhyi.jpg

3-_23__14_jours_-2_x32els.jpg


2-_23___14_jours__tbsili.jpg

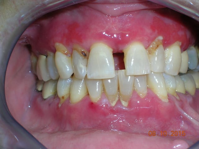
SESi_06.10.2015_gvm4to.jpg




SE_Si_21_08_2015_mo8np9.jpg


