
376-prodotto_grande-palazzo_rosso_tuxnc3.jpg

280px-Det_Gule_Palae_Copenhagen_ns8zwd.jpg


Capture_d_écran_2019-05-06_11.10.21_ohxwsw.png

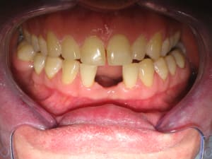
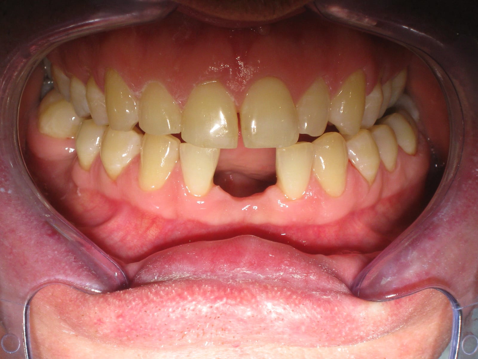
FB_IMG_1556635326461_a1fwg2.jpg

FB_IMG_1556635286553_ivz03u.jpg

FB_IMG_1556635240215_r8aenl.jpg



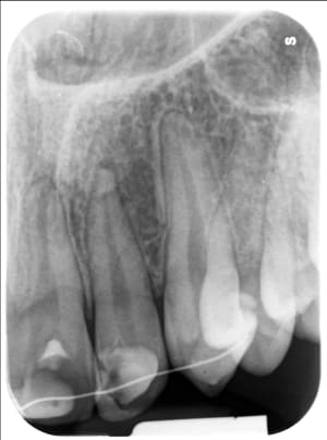
Inkedincisive_LI_xylpo3.jpg










Capture_plein_écran_19032019_132858.bmp_ycahpj.jpg