
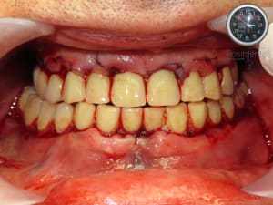
Mise en charge immédiate Positdental 003.jpg

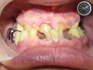
Mise en charge immédiate Positdental 002.jpg

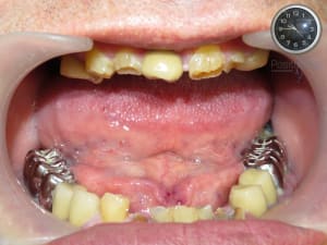
Mise en charge immédiate Positdental 001.jpg




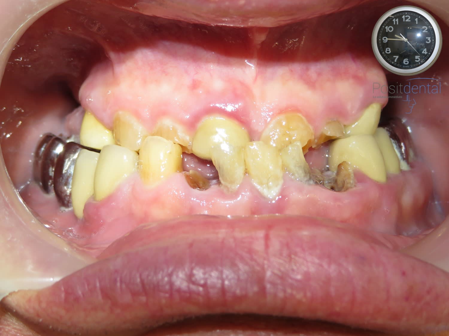
Mise en charge immédiate en 1 seul temps chirurgical avec le protocole Positdental.jpg




Mise en charge immédiate en 1 seul temps chirurgical avec le protocole Positdental.jpg

DC72AF0E-6DF6-4240-BBB5-37ECE99F2117.jpeg

Chirurgie guidée mise en charge immédiate 005.jpg

Chirurgie guidée mise en charge immédiate 004.jpg

Chirurgie guidée mise en charge immédiate 003.jpg

Chirurgie guidée mise en charge immédiate 002.jpg

Chirurgie guidée mise en charge immédiate 001.jpg

Positdental MCI mise en charge immédiate 015.jpg

Positdental MCI mise en charge immédiate 015.jpg

Positdental MCI mise en charge immédiate 011.jpg