
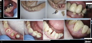
Positdental_mise_en_charge_immédiate_003_d805at.jpg

Positdental_mise_en_charge_immédiate_001_nwkqco.jpg

carambar-caramel_jl2pq8.jpg

Capture_d_écran_9_zduz7c.png



empreintes-de-frank-zappa-sur-le-rocher-a-pied-de-la-guitar-center-music-store-sur-sunset-boulevard-hollywood-los-angeles-californie-usa-2a92d4p_k5m5bf.jpg

IMG_20200311_105823_jezm6v.jpg

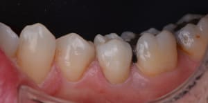
labocast_pose_33_34_35_rdggkr.jpg

Capture_d_écran_2020-03-12_12.31.40_uchair.png


P2_20200311_001_gxzdyg.jpg



retouche_zircone_pqwgkr.png


IMG_20200307_110607__01_rrbfhn.jpg

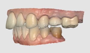
modele_ccmi_trop_courte_flcup8.png

