

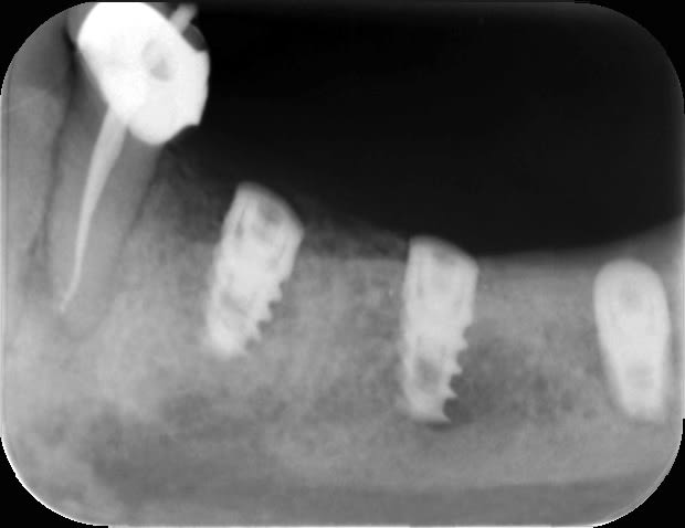
7B168046-8309-443E-90C2-31BDCF35FE34_ahearo.jpg

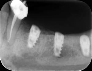
pntdkcw1m0mrxsravqdq_nqjvly.jpg


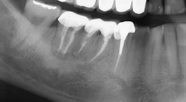
7B2447D5-03B1-418F-8B9D-38B473141CB9_oux43n.jpg







5a553a36edcceab89d2a2de4_ahdqtg.png





Screenshot_2021-03-02-13-23-06-66_deewri.jpg

Unknown-X-2021_02_24_11_37_36-4_naq8at.jpg

