Cookie Consent byPrivacyPolicies.comle bib - Eugenol
Image19 iebot6 - Eugenol
athos

25/10/2005 à 17h44

petit bout de chou tout mignon tout gentil mais tout un cinoche pour faire des photos...
pas manqué de biberon sucré visiblement
folle envie d'adresser mais personne n'en veut
5ans....pfff...par quoi on commence...

1 urqfnf - Eugenol
2 bil8wo - Eugenol
3 dlhjob - Eugenol
Rd zvc0pf - Eugenol

Logo vuaztn - Eugenol
mac

25/10/2005 à 17h50

athos Ecrivait:
-------------------------------------------------------

> 5ans....pfff...par quoi on commence...


...la brosse à dents.


Image19 iebot6 - Eugenol
athos

25/10/2005 à 17h53

essaie encore


S8ysxdzhdqgw00w4q6m07a5d47q2 - Eugenol
didier72

25/10/2005 à 17h54

il n'y a pas un pédo du côté de chez toi?


Image19 iebot6 - Eugenol
athos

25/10/2005 à 17h56

bé bon! y a plus! y a moi!
c'est peu.


Image19 iebot6 - Eugenol
athos

25/10/2005 à 17h57

y a bien Dent, mais elle est loooin.


S8ysxdzhdqgw00w4q6m07a5d47q2 - Eugenol
didier72

25/10/2005 à 18h02

et si c'est déjà un cinoche pour faire les photos...
Sincèrement, je serais dépassé...
Essayer peut-être de sauver les IV et V, mais bon???


Logo vuaztn - Eugenol
mac

25/10/2005 à 18h14

sinon tu peux aussi acheter un vrai appareil photo.


Image19 iebot6 - Eugenol
athos

25/10/2005 à 18h29

gnagnagna...
c'est pas un appareil photo d'abord!
la camera suffit bien pour montrer cela,mais meme pas le temps pour ajuster, zoomer etc...

et sous le meuble ou il était réfugié c'est pas si mal

personnellement pas de frustration a ne pas voir mieux les menus details...


al

25/10/2005 à 18h46

athos Ecrivait:
-------------------------------------------------------

> 5ans....pfff...par quoi on commence...

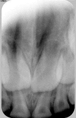
t'as pas une pano ou des radios postérieures ?

si derrière y a assez de dentine saine, tu peux parfaitement faire des coiffes pédos ajustées et scellées au verre inomère, ça marche très bien.

pour le haut devant il faut enlever. le gamin ayant 5 ans, ça va repousser rapidement..

bas même topo.

rien de bien compliqué, reste juste à être payé du boulot, parce que là y en a pas mal.

et c'est encore pour un cas pareil qu'on aimerait bien que le MEOPA soit accessible.
parce que l'idéal, c'est de traiter ça en quelques séances, et non pas dent par dent. sinon t'es pas sorti de l'auberge.


Image19 iebot6 - Eugenol
athos

25/10/2005 à 18h52

t'as raison pour le protox parceque je ne m'attend pas a beaucoup de cooperation, et je n'aime pas faire le clown 20mn pour entamer le debut d'une ombre de traitement

a mes debuts je faisais par cadran et avec anesthesie systematique, je ne sais pas quand j'ai perdu le feeling (arghhh...)avec les nains, il aura fallut surement quelques deconvenues et deceptions, aujourd'hui je m'impatiente vite, surtout quand les parents me gonflent

mais bon! que faire sinon le dos rond...


catrose

25/10/2005 à 20h11

athos,
tres "beau" cas
14 dents a traiter a 5 ans et des parents criminels a eduquer( freres et soeurs?),normal que tu te sentes un peu depasse
je suis d'accord avec al,indication pour le protoxyde ou meme AG pour une seance unique
Tu recuperes ton patient et ses parents pour assurer la suite:prophylaxie,suivi de l'arrivee des definitives sur l'arcade,fonctions habituelles a surveiller
Si tu decides quand meme de soigner le bout de chou,une pano aiderait a determiner le temps qu'il te reste avant l'arrivee des 6 dans cet environnement hostile
mobilite de certaines lacteales?

ps:elles sont pas si mal tes photos :)


Image19 iebot6 - Eugenol
athos

25/10/2005 à 20h42

merci al et Catrose! c'est vrai que techniquement le cas me tente pour le challenge mais le boulet psy me fait reculer...

coiffes pedo au fond (mais avant, pulpo? canaux?)

devant, les extraire? (la radio montrent quand meme des racines lactéalas completes encore)ou pulpo itou mais comment reconstruire? coller au verre ionomere sans chercher a remonter les formes?

tout sous ag?
pfff...va falloir encore negocier avec la cpam!!! le cas s'y preterait puisque la maman a consulté deja divers confreres, mais j'aimerais pas mouiller ceux qui se sont defilés...et puis j'ai perdu l'habitude du bloc, sans compter que ça immobilise une demi journée de cab ses trucs là

je me demande quand meme bougrement comment ferait un pedo exclusif...les pulpo ça irait vite mais c'est peu fiable et j'aimerais pas avoir trop de suites a gérer au cab...l'obt des canaux a la pate pedo, mais là je vais avoir besoin de bcp de temps...et puis engrenner des coiffes pedo quand toutes les post sont a recouvrir, comment je vais faire?

ps: t'as raison pour mes photos! en fait mac n'a aucun gout :)


catrose

25/10/2005 à 21h06

athos Ecrivait:

>
coiffes pedo au fond (mais avant, pulpo? canaux?)

tu ne le sauras qu'avec une radio et apres avoir nettoye la carie

> devant, les extraire? (la radio montrent quand
> meme des racines lactéales completes encore)
pulpo itou mais comment reconstruire? coller au
> verre ionomere sans chercher a remonter les
> formes?

d'ou ma question sur la mobilite


> tout sous ag?
> pfff...va falloir encore negocier avec la cpam!!!

le cas me parait pourtant tres defendable,mais je ne connais pas assez votre systeme


> je me demande quand meme bougrement comment ferait un pedo exclusif...

MEOPA,et par cadran en commencant par les coiffes posterieures


>
> ps: t'as raison pour mes photos! en fait mac n'a
> aucun gout :)

et pourtant,vivre sur l'ile de beaute...


Image19 iebot6 - Eugenol
athos

25/10/2005 à 21h46

oui pas de mobilité, mais comme elles sont a l'état de racine et que j'avais du mal a coincer le rejeton

une pano? oui, mais je ne l'ai vu qu'une fois, ce soir, et je n'ai aps osé acheter la pano num cette année

je ne sais pas si le cas est defendable ou defendu



ps: c'est vrai, mais une ile ça isole, alors le pauvre...il a peu de reperes...


Logo vuaztn - Eugenol
mac

25/10/2005 à 22h08

athos Ecrivait:

>
>
> ps: c'est vrai, mais une ile ça isole, alors le
> pauvre...il a peu de reperes...


toi tu es reperé en tout cas ;)


azerty

26/10/2005 à 13h13

en tous les cas ,le gamin est mal barré et les parents aussi.
refiler le bebe a un centre pour enfant specialise


Father ted 280 422484a zg0rur - Eugenol
Oméga

27/10/2005 à 20h11

Je parle pas trop fort pour pas qu'on nous entende mais j'ai un truc pour ce genre de cas, athos.
Un carton avec de petits trous, des jeux et quelques fruits, à la poste à destination de catrose et hop, débarassé.
Non, ne me remercie pas, je l'ai déjà fait.


Avatar transparent iqadnc - Eugenol
adhoc

29/10/2005 à 13h45






Les prises de vue d'athos nous entrainent indiciblement dans les tourbillons de l'enfance.

Costa Gavras


débutante

30/11/2005 à 21h15

J'ai exactement le même cas, mais le gamin a 6 ans.
Je suis une fan de pédo donc je pense me lancer...

le dentiste avec ki je bosse me conseille de laisser les incisives sup tant que c'est asymptomatique, elles tomberont toutes seules, d'autant que son sourire de star ne semble pas le déranger du tout.

Pour les postérieures, en admettant qu'il soit d'accord (j'ai juste fais la première consult pour l'instant), je pense enlever la carie, pulpo au besoin et reconstruction au fuji IX pour commencer, quitte à passer aux coiffes pédo plus tard si ça se passe bien.

Voilà, pour l'instant il a loupé le premier rdv aujourd'hui, parait qu'il était malade, les parents ont juste oublié de m'appeler... j'espère qu'en attendant il a au moins mis de l'eau dans son bib...


Image19 iebot6 - Eugenol
athos

30/11/2005 à 21h19

t'es loin???????????????????????????,


Logo vuaztn - Eugenol
mac

30/11/2005 à 21h26

athos laisse là tranquille!!!!!!!!!!!!!


Image19 iebot6 - Eugenol
athos

30/11/2005 à 21h29

pfff...mais nooooooooooon, Zorbeca m'a deja fait le coup en rubrique eugenol!!!!

t'angoisse pas debutante, je voulais juste te repasser le bébé!!!


au village sans prétention
j'ai mauvaise reputation
qu'j'me démène ou qu'je reste coi
je passe pour un je ne sais quoi


débutante

30/11/2005 à 21h43

Grenoble... mais un par un les syndromes du bib s'il te plait j'ai qu'une seule patience...


Logo vuaztn - Eugenol
mac

30/11/2005 à 21h44

tu ferais pas de l'ortho par hasard?


12