Tous les forums
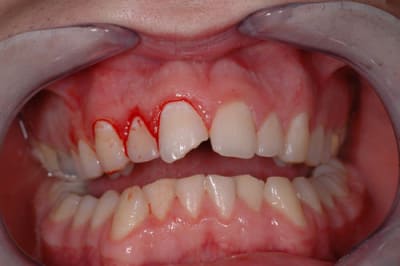
vue d'un autre angle...
25/10/2005 à 21h49
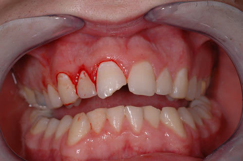
et voilà ce que c'est de jouer au foot, sans faire attention et quand on a 16 ans
25/10/2005 à 21h52
et on répare...
25/10/2005 à 21h57
athos Ecrivait:
-------------------------------------------------------
> pieces 1et3 identiques il me semble
exact c'était ça en 4
25/10/2005 à 22h09
c'est beau
on ne voit pas la ligne de demarcation, comment tu fais pour le biseau d'email vestibulaire, le plus large possible ou ça ne sert a rien?
plus il est large et plus le compo est fin en bord de restauration, au polissage ça risque pas de s'écorner, ou de mal vieillir
plus il est court plus la limite est costaud
pour moi c'est toujours un coup de pocker (arghhh...)et je dois parfois refaire quelque soit le choix que j'avais fait au depart
comment prevoir?
25/10/2005 à 22h11
Al tu peux zoomer un peu, surtout pour la photo de fin pour qu'on puisse bien voir.
Sinon good.
25/10/2005 à 22h17
désolé pour le zoom, je m'aperçois que j'ai redimensionné directement sur la carte mémoire.
prochaine fois je fais plus attention.
26/10/2005 à 09h26
C'est beau comme d'hab, pour le fond d'émail en palatin comment procèdes tu, charges tu la clé puis la mets tu en place ou la mets tu en place et charges tu ensuite?
26/10/2005 à 09h33
mac Ecrivait:
-------------------------------------------------------
> il te reste plus qu'a faire la sortie des clubs de
> foot.
ou des ferries à Bastia...
26/10/2005 à 12h19
emma Ecrivait:
-------------------------------------------------------
> pour le fond d'émail en
> palatin comment procèdes tu, charges tu la clé
> puis la mets tu en place ou la mets tu en place et
> charges tu ensuite?
j'ai positionné la clé, et j'ai chargé. il suffit de d'étaler avec un simple spatule à bouche.
c'est vrai que c'est extrêmement pratique d'avoir un support sur lequel s'appuyer pour monter l'angle. merci Monsieur Dietschi.
26/10/2005 à 13h40
mac Ecrivait:
-------------------------------------------------------
> Al pour une restauration comme ça combien de temps
> et combien d'euros?
environ 1 heure.
euros ? 150 d'autant plus facile qu'il s'agit d'un accident couvert par l'assurance scolaire. donc HN.
intitulé du devis ? reconstitution d'angle suite à une fracture consécutif à ...
26/10/2005 à 21h24
excuse athos, j'avais pas vu ta question.
pour ma part je fais un biseau large. c'est le seul moyen de fondre la limite. que ce soit en lingual ou en vestibulaire. ça c'est dans l'émail.
par contre la dentine, je fais un plateau.
accompagnant le miris, il y a des films de démo de Dietschi qui sont fort instructifs. si tu veux ça -> MP
26/10/2005 à 21h31
je seche mes larmes, je me mouche et je rassure mes chiens...
*bin oui, veux bien!
il m'arrive d'avoir de belles réussites et des "a refaire", jamais je n'ai pu predire ou reproduire...surement qu'un truc m'échappe!!
03/11/2005 à 13h18
beau travail!
tu développes beaucoup d'énergie pour ce résultat.
y a t'il un dépassement pour une réalisation comme celle ci ?
03/11/2005 à 13h30
Al à noté plus haut 150 , HN, pour l'assurance scolaire. Ce qui , à mon avis, est théoriquement pas possible car l'acte est bien definis dans la nomenclature. Il faudrait l'avis d'Améli.
03/11/2005 à 13h46
Concernant la sécu le Sc15 c'est la reconstitution avant réalisation de la clef.... ensuite tu la fais peter et tu fais un joli truc tout HN...
questionà al: tu bosses avec miris... et Bisico, t'as essayé leur compo à stratification?
Miris: existe-t-il un compo fluide opalescent comme chez bi..co pour faire "vivre" la lumiere entre couche dentine et émail?
03/11/2005 à 13h47
jeff Ecrivait:
-------------------------------------------------------
> Al à noté plus haut 150 , HN, pour l'assurance
> scolaire. Ce qui , à mon avis, est théoriquement
> pas possible car l'acte est bien definis dans la
> nomenclature. Il faudrait l'avis d'Améli.
tu as "restauration d'angle suite à fracture accidentelle", dans la nomenclature toi ?
faudra m'indiquer où.
assurance maladie, qu'elle est la sécu, pas assurance accident.
03/11/2005 à 14h14
Algi Ecrivait:
-------------------------------------------------------
> questionà al: tu bosses avec miris... et Bisico,
> t'as essayé leur compo à stratification?
non
> Miris: existe-t-il un compo fluide opalescent
> comme chez bi..co pour faire "vivre" la lumiere
> entre couche dentine et émail?
oui. et du gold aussi et de l'opaquer.
si j'ai choisi le Miris, je l'avoue, c'est parce que la démonstration de Dietschi a été plus que convainquante, et à l'usage je dois dire que j'aime bien l'ergonomie du coffret.
en particulier, même si carole ne l'aime pas, j'aime beaucoup le teintier qui en comporte en fait deux. un d'émail et un de dentine qui quand on les emboite l'un dans l'autre donne la teinte globale.
maintenant je reste convaincu qu'il doit y avoir d'autres produits au moins aussi performants, mais je ne les connais pas.
la difficulté réside plus dans la traduction de ce qu'on veut obtenir, que le compo lui même. simple problème de protocole et de méthode.
03/11/2005 à 14h59
Pour répondre à Jeff, al a raison dans sa façon de facturer l'acte.
Elle est inattaquable.
Ce d'autant que si on utilise l'autre méthode : coter SC15, on trouvera toujours un pinailleur pour contester un dépassement.
Dans un cas comme celui-ci pourquoi prendre ce risque ? Car, la sécu ne sert que d'intermédiaire, si la case "accident" a bien été cochée comme elle le devrait. Elle rembourse le patient et récupère chez l'assureur ! Donc, autant qu'il paye le tout directement...
Mais tout dépend du contrat.