Tous les forums
cas clinique: besoin d'aide!!!
09/11/2005 à 00h34
Bonsoir à tous,
je n'ai pas l'habitude de poster dans cette rubrique. Mon dada, c'est plutôt l'endo en ce moment...
J'avoue avoir peu d'expérience en occluso mais je ne demande qu'à apprendre et à me perfectionner!
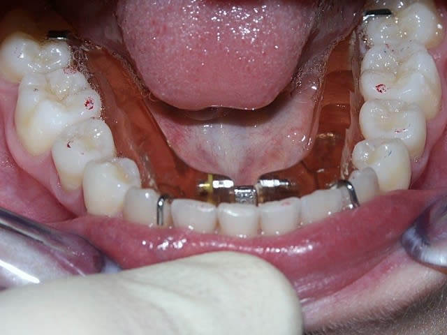
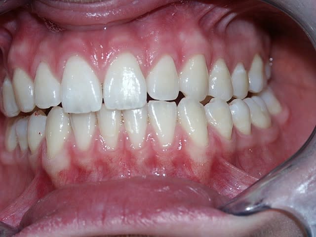
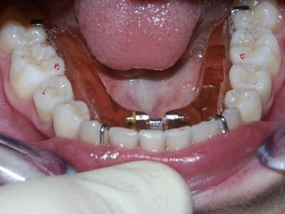
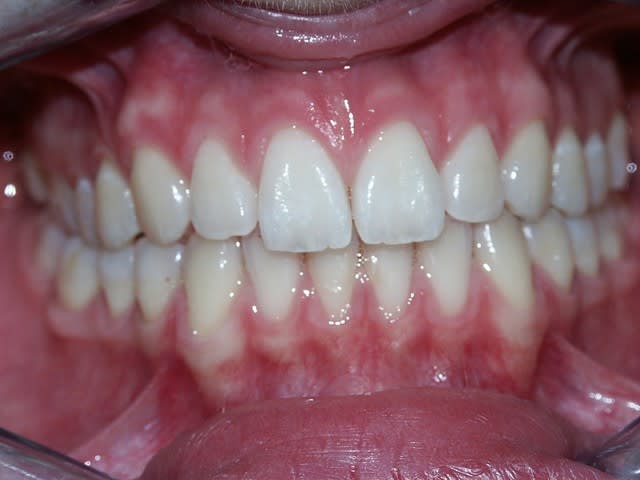
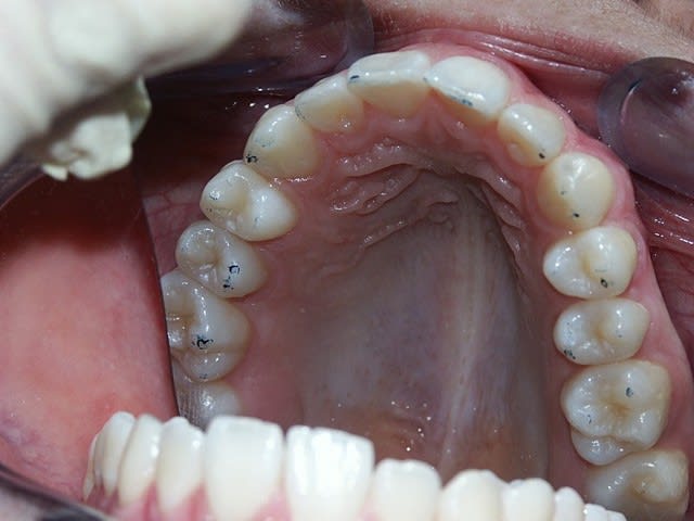
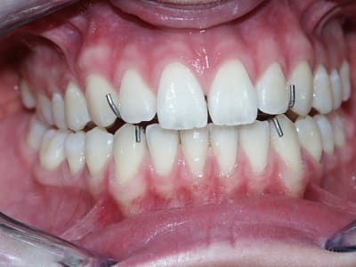
Vous trouverez ci-joint les photos que j'ai prises aujourd'hui.
Vous aurez les photos des modéles dans quelques jours et la pano qu j'ai oublié de télécharger au cab.
Patiente de 16 ans qui consulte pour son BBD.
Elle a fini un traitement d'ODF et se plaint depuis de douleurs à l'ATM à Droite depuis plusieurs années.
Sa mère me l'a envoyé pour que je donne mon avis sur le sujet.
La patiente est persuadée que son problème vient de son traitement ortho car les symptomes sont apparus pendant la phase de traitement.
Je n'ai pas eu trop le temps de procéder à un examen plus approfondi. J'ai préféré faire quelques photos que vous trouverez ci-joint et ne toucher à rien sans avoir votre avis sur le sujet.
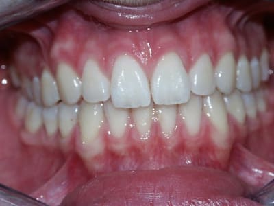
A la pano, on voit clairement une asymétrie condylienne. On lui a même fait faire une IRM pour montrer qu'il y avit une antéposition discale...
Elle a aussi consulté un podologue (mais RAS) et autre toubib, qui lui a trouvé une légère scoliose. Elle n'a pas vu d'ostéopathe.
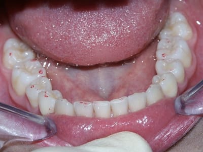
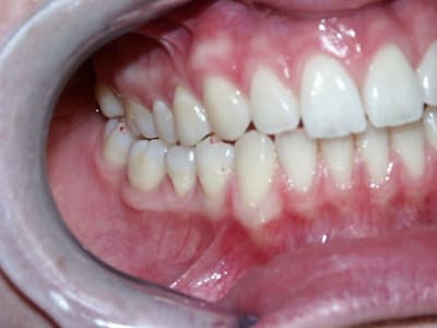
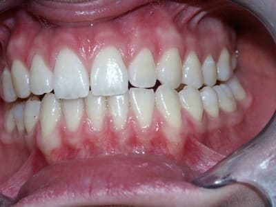
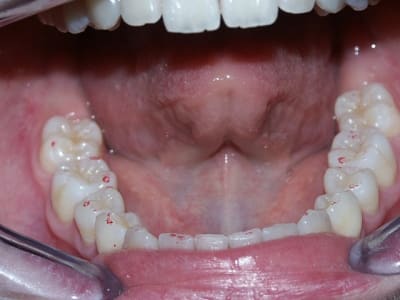
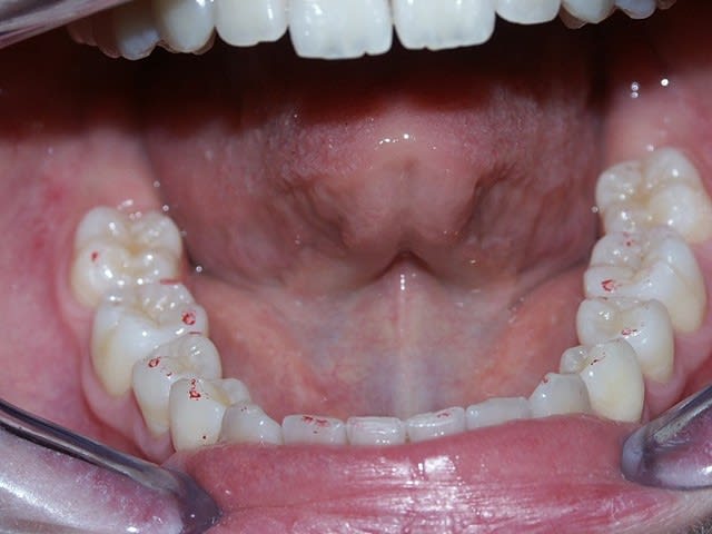
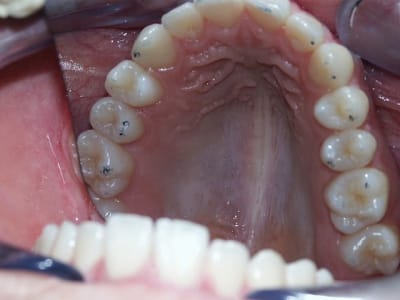
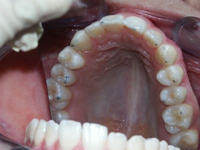
En bouche, vous verrez les points d'impacts en RIM.
Le chemin d'ouverture est en baïonette, surtout en fin de mouvement (gauche puis droite).
En fin d'ouverture, on sent le ressaut du ligament gauche et on a l'impression que le condyle sort de la cavité glénoïde vers l'extérieur. A droite, pas de craquements particuliers.
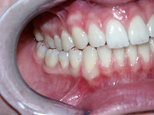
En propulsion, le chemin est clairement dévié vers la gauche.
J'ai fait le test en lui demandant d'allonger les bras en arrière (patiente allongée): pas d'asymétrie particulière.
Je dois revoir la patiente pour faire une prise d'arc facial et un montage sur articulateur.
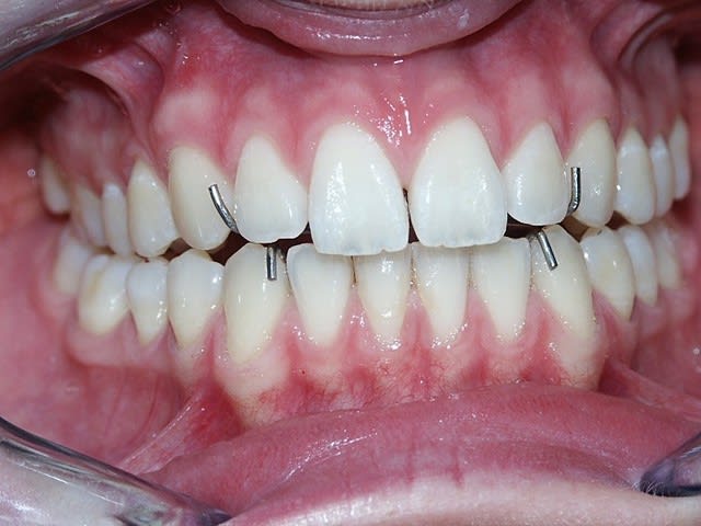
Vous verrez aussi les photos de ses plaques ODF qui lui servent de contention la nuit et qui la soulagent un peu. Ce qui me géne, c'est que de ce fait, il y a un espace libre quand elle cherche à mordre.
Voilà, c'est à peu prés tout ce que je me souviens pour l'instant. Je posterai la pano et les modèles dés que possible.
Merci de m'aider et de faire part de vos lumières!
09/11/2005 à 01h48
Jolies photos Tonio
Il serait interessant de voir la plaque du haut en position, de même la latéralité droite de permet pas de juger de l'AFMP, (angle fonctionnel masticatoire planas) car on ne voit pas la gauche sur la photo.*
Je téléphonerai a l'ortho pour essayer de comprendre ce style de contention et son but.
ca ressemble a des plaques a piste en bas, donc actives?
Perso je ne panique pas avec ce genre de patiente de 16 ans qui sort d'ortho, je la rassure que c'est "normal"(dedramatiser pour qu'elle fixe moins ses problemes existantiel sur ces dents) attendre un peu, lui dire qu'il faut du temps pour que tout s'installe, mais rien meuler pour l'instant.
conseil un peu de myotensif, discuter avec elle sur son etat de santé, ses activités, ses études (juger le stress) etc etc , donner des conseils d'alimentaion solide. la revoir dans trois, resteter avec les bras, si hypotonie, correction,
mais teste les bras en lateralité je suis sur que ca va pas d'une cote et là perso trois ou quatre mois apres, j'egalise les afmp sans remord. Surtout rassurer la patiente, dis lui que quand elle va commencer a reeduquer son dos elle aura mal partout, et que l'ortho c'est pareil.
09/11/2005 à 09h11
En vrac et c'est pas l'évangile.
Une mine de renseignements.
Esthétiquement, le patient doit être content du résultat.
Fonctionnellement il y a un problème.
1) par la plainte du patient, mais personne ne peut dire non plus comment elle évoluera si on ne fait rien.
2) par les contacts actuels entre les deux arcades, ou plutôt leur absence: on se retrouve quasiment sans aucun contact sur les cuspides d'appui primaire. Ce sera difficile d'obtenir une stabilité.
Le problème est certainement dans la phase de traitement.
Il faut aussi bien savoir ce qu'on veut (objectif thérapeutique). Si l'appareil est vraiment une contention, c'est qu'on veut garder le résultat obtenu, or celui-ci pose problème.
Si l'appareil a encore un rôle orthodontique actif, le généraliste doit s'abstenir de toute intervention, mais il faut savoir où on va et le patient aussi.
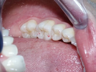
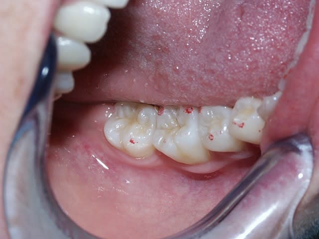
A priori, le contact sur d13 est inquiétant (et souvent suffisant pour déranger atm) ainsi que les 46ml, 46 dl, 35 versant l de cusp v
Quasi certainement une hypotonie trapèze droit, bras droit court.
Supposons que l'orthodontiste abandonne le patient...: je le mettrais volontiers en SB pour retrouver fonctionnellement les contacts d'appui indispensables.
L'arc facial et le montage sur articulateur sont intéressants pour immortaliser cette situation de départ.
09/11/2005 à 10h16
bonjour,
(ne serait_ce pas l'ATM gauche qui pause pb?)
sinon, quand le patient porte ce genre de plaques à pistes(toujours actives), c'est qu'il est amené à revoir la personne qui le lui a posé !!!!
Il faut recontacter l'orthodontiste .
le tt n'est pas fini ....
09/11/2005 à 10h40
exact humhum , le traitement pour moi n'est pas fini, je la mets ou plutot je l'adresse a un ortho qui fait du Damon
09/11/2005 à 11h05
Ce serait intéressant de connaître la situation de départ, avant traitement ortho + voir le temps et la technique de traitement utilisés.
Et savoir depuis quand il est en "contention".
Quelle est la motivation du patient pour poursuivre?
Quel pourrait être l'intérêt de plaques à pistes à port nocturne dans ce cas? A mon avis, aucun.
09/11/2005 à 15h02
merci à tous pour tous vos renseignements!
J'avais oublié de vous dire qu'apparemment la patiente avait fait son traitement ortho car elle est de classe squelettique III (elle avait une galoche selon les termes de la mère).
D'ailleurs,l'articulé des molaires au niveau des molaires est toujours en classe III.
Elle a changé d'ortho en cours de traitement car apparemment elle n'était pas satisfaite du premier.
Aucune dent n'a été extraite, les DDS sont toujours incluses et pas trop mal placées, mais à confirmer.
La composante "stress" est prépondérante chez cette patiente.
Le port des appareils de contention est nocturne. En fait, je crois que l'ortho ne s'est pas cassé la tête et lui a dit de porter en tant que contention.
A la base, ce sont des plaques d'expansion qui se retrouvent être aujourd'hui des plaques de contention (car il n'y a plus d'activation)...
Comme Isaïe, j'avais remarqué les contacts sur 46 et 35 qui ne paraissaient pas trés conventionnels.
Pas contre, que reproche t'on sur la 13?
Demain soir, je devrais pouvoir vous poster la pano et des photos des moulages (mais je n'aurais pas encore effectué la mise en articulateur avec arc facial).
Il faudrait que je demande à la mère si elle posséde les modéles ou la pano initiale.
Sinon, j'ai dit à la mère de la patiente que le "temps" était le meilleur médicament pour ce genre de symptome.
Je lui ai dit aussi que la chir des ATM, c'était 100% d'échecs. On lui avait d'ailleurs déconseillé de la faire.
Cependant, je pense que je faire quelque chose pour l'aider. Mais quoi???? c'est pour cela que je fais appel à vous...
meulage sélectif?
gouttière de décompression? Quelle type?
Parce que s'il faut redémarrer un traitement ODF pour finir le traitement, je ne suis pas sür qu'elle soit partante...
09/11/2005 à 16h12
le fait d'être parti d'une classe 3, peut laisser soupconer une retroposition des Condyles, d'ailleurs avec ses pplaques ca la soulage, car elle doit legerement partir en propulsion
demande a la mére si elle a les dernieres teleradiographies, ca va etre pus dure a poster ici mais tu peux essayer si tu as un negatoscope.
09/11/2005 à 17h15
A mon avis, je pense que les téléradios sont dans les mains de l'ortho. Mais je poserais les questions à tout hasard à la mère.
10/11/2005 à 09h07
Si le patient ne veut plus de traitement ortho,
si tu ne peux pas envisager de SB,
si on écarte la solution (?) d'un remaniement complet de l'occlusion par adjonction,
si l'objectif thérapeutique est bien la solution de la pathologie à distance (atm),
je suggérerais:
1)une anamnèse plus que bien fouillée qui nous mettrait peut-être sur la piste d'un syndrome d'hypotonie unilatérale
2) l'interposition d'un confetti de papier d'occlusion sur les points de contacts côté droit, spécialement 42, et l'évaluation de la symétrie du tonus (bras) en IM, en latéralité, et... en protrusion.
Juste pour voir.
Si tu fais et examine tout cela, tu seras un homme, mon fils, de toute manière tu l'es déjà et tu ne pourras plus dire "... J'avoue avoir peu d'expérience en occluso..."
10/11/2005 à 22h55
Merci isaïe de ta réponse. Je t'avoue avoir vraiment peu d'expérience dans de tels cas d'occluso.
Mais je ne demande qu'à apprendre.
Cela va me faire replonger dans les bouquins...
Qu'entends-tu par SB?
Penses-tu que le problème puisse être solutionné sans un nouveau traitement d'ODF?
Dernière question: je pensais l'adresser l'adresser à un ostéopathe (voire un posturologue?) que je connais et qui touche bien dans son domaine. Une légère scoliose lui a été diagnostiqué mais elle ne savait plus de quel côté.
Quels renseignements pourrais-je tirer de ces tests de bras? Par exemple, si le bras gauche est plus long que le droit?
10/11/2005 à 23h59
Le traitement a visée uniquement esthétique a
transformé une clIII assymptomatique en une fausse clI esthétique avec une rétroposition
condylienne entraînant un clicking réciproque.Au
départ s'il existait une prédisposition à luxation ,il fallait commencer par l'occluso qui aurait encore plus propulsé la mandibule,ensuite odf préchirurgicale, ensuite chirurgie de correction de clIII.Et enfin des meulages de MONSIEUR Isaïe après la contension....
Tel est mon point de vue.
11/11/2005 à 01h07
ok ton raisonnement parait trés logique.
Mais la patiente aurait-elle supporté cette thérapeutique???
Disons qu'avec une occluso en premier lieu tu aurais amplifié volontairement la ClII,Ok.
Dans un deuxième temps, tu aurais de l'ODF pré-chir, donc tu aggraves encore la ClII esthétiquement. Là, la patiente elle ne ressemble plus à rien, non? Car si mes souvenirs sont bons, le but de ce traitement est d'entrainer une linguoversion des incisives sup et d'amlifier une vestibuloversion des incisisves inf.
Là, la patiente revient te voir pour une ordonnance de prozac, parce qu'elle se tape un visage horrible. Tu as l'impression qu'il peut pleuvoir dans sa bouche, tellement la galoche est amplifiée.
Là, elle s'enfuit en courant si je lui annonces ça.
Bref, quelle solution simple puis-je lui apporter?
11/11/2005 à 09h09
SB= gouttières caoutchouc, il y a plusieurs spécialistes sur ce forum, Algi, etc...
A mon avis elles permettraient de retrouver fonctionnellement des contacts intéressants.
A discuter.
"Penses-tu que le problème puisse être solutionné sans un nouveau traitement d'ODF?"
Tout dépend de ce qu'on va se fixer comme objectif thérapeutique, en intégrant les "particularités" de la patiente: financièrement, motivation, et pour quelles contraintes? Temps dont elle disposera, esthétique, suffisant ou pas? Quel sera le suivi possible? Etc...
Fonctionnellement, si elle reste dans cette situation, les problèmes viendront probablement de l'absence de calage molaire correct. Les contacts d'appui en IM sur les cuspides linguales des molaires en articulé croisé sont "hyperinstables" pour la symétrie du tonus musculaire.
"Bref, quelle solution simple puis-je lui apporter?"
J'ai vu hier soir quasiment le même cas, 20 ans, cl3 corrigée depuis 4 ans et apparition de claquements à droite, limitation d'ouverture, mais pas d'articulé croisé.
La première chose que je fais est l'anamnèse qui met en évidence des signes d'asymétrie de tonus musculaire, avec hypotonie à gauche: parfois "brûlant" (reflux), parfois mal bas du dos, vers la fesse droite, atm droite plus sensible, insertion occipitale droite du trapèze idem. C'est souvent déjà visible à l'inclinaison de la tête quand le patient ouvre la porte d'entrée ou quand il croise les jambes sur le fauteuil.
Evaluation de la longueur des bras, patiente couchée, bouche ouverte puis dents en contact (sans serrer comme un malade), on voit nettement la différence, rétraction gauche en l'occurence.
Les confettis sur les points de contact montrent clairement quel(s) contact(s) sont responsables.
Avant d'aller plus loin, la patiente est déjà persuadée que son articulé est responsable de quelque chose de mesurable à distance, ce qui ne veut pas dire qu'on maîtrise tout, mais on a un patient attentif et collaborant. Si on lui annonce qu'un petit traitement ortho ou prothétique est nécessaire pour lui éviter des destructions de disques intervertébraux, on ne passe pas pour un marchand de tapis et elle comprend la raison logique de la proposition.
Son médecin lui avait dit que c'était de l'arthrose (à 20 ans), nous pouvons lui expliquer le chemin musculaire qui mène à sa douleur et le chemin (avec les réserves d'usage) pour en sortir.
Dans ce cas-ci j'ai procédé à deux polissages, 32 bord incisif et 16, versant v de cusp p, deux points qui donnaient une hypotonie gauche par interposition de 50 microns de papier d'occl.
Il était hors de question d'envisager de la chirurgie ou un nouveau traitement ortho, l'esthétique obtenue était excellente et l'objectif thérapeutique était le traitement du claquement et de la limitation d'ouverture avec des moyens financiers modestes. Je suis certain d'une amélioration du reflux et de la fesse en prime et l'intervention est minime, sans modification de hauteur d'occlusion.
Je pense que compte tenu de tous ces paramètres, on peut, dans le cas présent, justifier l'option retenue.
Dans ton cas, mais ce n'est que mon avis, l'articulé croisé est gênant et le calage vertical sur les molaires est insuffisant, ces deux paramètres devraient constituer un objectif thérapeutique bien concret pour la raison raisonnable que ta patiente le payera quelque part dans sa santé dès qu'une sollicitation plus importante (stress) de son système masticateur mettra cette asymétrie tonique un peu plus en évidence.
11/11/2005 à 13h19
c'est une appartée dans cette discution mais qui concerne les classes III.
ON peut se poser la question de la morphogenese d'une classe3, ca pousse derriére et pour ceux qui travaille sur la morpho, tous reconnaissent une"colére" derriére, une énorme colére.
Vous connaissez plein de classe 3 non corrigées qui n'ont aucun probleme articulaire ni physiologique a part le probleme esthetique. Alors que dans les classe trois corrigées, je vous défie de trouver un patient jeune qui n'a pas dez probleme articulaire.
Donc approcher une classe trois en ortho c'est s'interesser a un symptome et on va droit a l'echec, car le probleme primaire n'est pas résolu.
Difficile a 16 ans de faire prendre conscience a cette jeune patiente d'une colére existentielle..
Quant a son calage postérieur elle ne peut pas l'avoir pour l'instant car elle ne demande qu'une chose c'est de partir en avant.
Vestibuler le bloc sup? faire de la chir?
relire Stanilav Grof, pour comprendre les conflits intérieur?
Pour l'instant téléphoner a l'ortho et prendre rendez vous avec lui, car a premiere vu, il est pas si mal que ca cet ortho.ET uil serait peut etre content de raconter l'historique de cette patiente.
Peut etre at'il proposer la chir des le départ? et que les parents l'ont refusée.
On attend les photos du profil
12/11/2005 à 16h26
Tonio,
J'ai un peu réfléchi à ton problème.
Je ne vais pas rentrer dans les étiologies possibles, ni refaire le monde,voiçi ce que je ferai pour essayer de trouver une solution pour cette patiente
Je lui ferai passer des Tomo. d'A.T.M. en lui expliquant bien que pendant la prise des clichés, elle doit garder les dents sérrées en occlusion de convenance.
Je ferai un scéma de Guelb sur un calque rapporté sur les Tomo. Je mesure le déplacement condylien nécessaire selon Guelb. Je reporte la distance sur les modèles. Pas besoin de montage en articulateur pour l'instant, les modèles dans la main suffisent.
Au besoin, sur un duplicata, je meulerai les 4 Inc. Inf. pour liberer le propulsion et voir ou j'arrive.
En fonction du résultat, je verrai si mon outil est l'occlusion, la Paro, l'Ortho ou une autre discipline.
@+ Bjc.
13/11/2005 à 22h38
Peux-tu nous donner les résultats positifs de ton intervention?merci.
13/11/2005 à 22h46
Rapha:Les mesures sur le shéma de Guelb ne sont pas à la même échelle,et déformations non précises ,mais ceci est une très bonne approche,ceci permet de préciser si luxation méniscale et à quel niveau:réductible ou irréductible?J'ajouterai qu'il faut aussi une condylographie ou axiographie.
Jeff: d'accord pour l'orthodontiste à contacter
15/11/2005 à 02h13
Sorry pour la longueur : je réponds sur ts les posts précédents.
Salut, Tonio
Quelle a été la durée du tt odf ?
As-tu palpé les PTE ?
Vous verrez aussi les photos de ses plaques ODF qui lui servent de contention la nuit et qui la soulagent un peu.
>
Soulagement par augmentation DVO = réduction Espace libre trop important de la DSD
(Eh oui, les meuleurs aigus de ce Forum ! )
Mais, aucun calage / guidance occlusale. Plutôt : un dérapage occlusal assuré.
Ce qui me géne, c'est que de ce fait, il y a un espace libre quand elle cherche à mordre.
>
Moi aussi, çà me gêne bcp c’te « contention » : bruxisme nocturne assuré pdt 8 heures tous les jours (nuit).
Quand apparaissent les douleurs ?
Où apparaissent-elles ?
Au réveil : salive sur l’oreiller ?
Montage articu & Cie = ne te servira strictement à rien.
Photo "max1.JPG (103kB)" = palais étroit et haut = signe à coup sûr une DSD = étalement de la langue entre les arcades dentaires, sup et inf., lors des 1500-2000 déglutition salivaire quotidiennes = ½ tonne de salive par an.
Isaïe : quand on a mal, l'esthétique on s'en fout.
humhum :
(ne serait_ce pas l'ATM gauche qui pause pb?)
>
Les PTE sur les ATM = OUI (douleurs).
Tonio : les classes d'Angle ne repose sur aucune notion de physiologique neuromusculaire. Donc : on s'en fout des classes de 1898.
"En fait, je crois que l'ortho ne s'est pas cassé la tête"
>
Confratermoche + on sait que les orthos ne sont jamais des occlusos.
"les contacts sur 46 et 35 qui ne paraissaient pas trés conventionnels"
>
"Conventionnel" n'est pas syn. de "fonctionnel" : des contacts non conventionnels pour le dentiste peuvent tout à fait être fonctionnels pour le patient...
"Je lui ai dit aussi que la chir des ATM, c'était 100% d'échecs".
>
Tu es trop gentil : 1.000 % d'échecs.
"meulage sélectif?"
"gouttière de décompression? Quelle type?"
>
"A proscrire" x2
"Parce que s'il faut redémarrer un traitement ODF pour finir le traitement"
>
Sauf si son ODF travaillerait de pairs avec un occluso.
"Si tu fais et examine tout cela, tu seras un homme, mon fils"
>
God has speaking a little bide.
:-)
"Penses-tu que le problème puisse être solutionné sans un nouveau traitement d'ODF?"
>
Un traitement ODF inachevé doit être achevé par le 1er ODF : il ne peut s'agir d'un nouveau tt.
Humb :
Le traitement a visée uniquement esthétique
>
Pléonasme : tous les traitements ODF sont à visée « esthétique », non à visée « occlusale ».
Au départ s'il existait une prédisposition à luxation
>
« Prédisposition » ?
Où as-tu pêché cela ?
« Construction », suite au tt ODF non occluso-conscient, oui !
ensuite chirurgie de correction de clIII.Et enfin des meulages de MONSIEUR Isaïe après la contension....
(...)
SB = gouttières caoutchouc
>
Surtout pas tout çà !
le but de ce traitement est d'entrainer une linguoversion des incisives sup et d'amlifier une vestibuloversion des incisisves inf.
>
= but Gnathologique, non un but neuromusculaire (Occlusodontie, Occlusodontologie).
quasiment le même cas, 20 ans, cl3 corrigée depuis 4 ans et apparition de claquements à droite, limitation d'ouverture
>
DSD
l'articulé croisé est gênant et le calage vertical sur les molaires est insuffisant,
>
Avec une interposition linguale (DSD), l'articulé croisé ne se remarque que si un dentiste / radiologue demande de serrer les dents.
Rapha :
elle doit garder les dents sérrées en occlusion de convenance
>
J'ai plutôt l'impression qu'elle ne sait pas / plus "où mettre ses dents".
Bref : vous passez tous à côté de la DSD aussi grosse qu'un éléphant !
Une petite vidéo phonétique ne serait pas un luxe.
Occlusalement Vôtre !
15/11/2005 à 23h34
slt occlusion pourriez vous me dire ou exercé vous je suis intéréssé par votre savoir faire
Cdt
16/11/2005 à 01h43
Merci à tous de vos réponses et de vos avis si partagés.
J'ai un début d'explication, c'est déjà ça...
Ci-joint, les photos des modéles, qui ne sont pas mis sur articulateur. J'ai essayé de reproduire au mieux les mouvements de mastication.
Maintenant, c'est à vous...
Au fait, ça veut dire quoi DSD??? Je connais DDM, DDD mais pas DSD??? :-(