Cookie Consent byPrivacyPolicies.comsysteme micro seal - Eugenol

systeme micro seal

matton

09/11/2005 à 11h54

que pensez vous du systeme d oturation micro seal?
personne nen parle et cest pouurtant un systeme dobturation tri dimensionnel fiable et relativement facile que j utilise depuis 6ans ;


Image19 iebot6 - Eugenol
athos

09/11/2005 à 12h27

décris le s'il te plait?


Avatar transparent iqadnc - Eugenol
adhoc

09/11/2005 à 12h45

L'attente est insupportable!


al

09/11/2005 à 12h51

eh bien parles-en, puisque tu connais bien le produit. tu sais c'est à ça que sert le forum, a parler de ce qu'on connait.

quoiqu'il y en a beaucoup qui parlent de ce qu'ils connaissent pas ici. tiens par exemple, moi quand je parle d'amalgame...


matton Ecrivait:
-------------------------------------------------------
> que pensez vous du systeme d oturation micro
> seal?
> personne nen parle et cest pouurtant un systeme
> dobturation tri dimensionnel fiable et
> relativement facile que j utilise depuis 6ans ;



Logo vuaztn - Eugenol
mac

09/11/2005 à 12h55

al Ecrivait:
-------------------------------------------------------

>
> quoiqu'il y en a beaucoup qui parlent de ce qu'ils
> connaissent pas ici.


t'as une étude.


S8ysxdzhdqgw00w4q6m07a5d47q2 - Eugenol
didier72

09/11/2005 à 12h56

on en parle dans un post...

http://www.eugenol.com/eugenol/read.php?8,16449,16563,quote=1


matton

09/11/2005 à 15h34

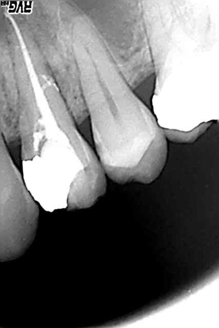
desole pour le retard mais je vois que certains restent connectes en permanence ;la technique a ete decrite sur la revue d endo vol 17 num 4 dec 98:
apres une preparation du canal au protaper,un maitre cone est ajuste a la longueur de travail -0,5 mm puis condense lateralement avec un speader en titane à l t -2mm;une compaction a chaud est ensuite realisee avec
un condenseur niti sur lequel on a enduit de la gutta basse viscosite chaude identique a celle du cone de gutta(obturation homogene )
c est une technique rapide et fiable dont la seule limite est a mon avis les canaux larges et ouverts a l apex


al

09/11/2005 à 15h51

certainement très interressant, mais pourquoi faire simple quand on peut faire compliqué, semble être la devise de cette technique.

en quelque sorte, c'est la combinaison d'une technique de condensation latérale à froid, plus une technique de condensation verticale à chaud, plus une injection de gutta à chaud plus, plus, plus quoi encore ?

la condensation verticale, tu descends, et tu remontes (merci de ne pas embrayer la-dessus alhoun), et basta. 5 secondes la descente, à peine plus la remontée. Et si tu veux encore plus rapide, t'as le Thermafill, ou rien que tu descends.


matton Ecrivait:
-------------------------------------------------------
> desole pour le retard mais je vois que certains
> restent connectes en permanence ;la technique a
> ete decrite sur la revue d endo vol 17 num 4 dec
> 98:
> apres une preparation du canal au protaper,un
> maitre cone est ajuste a la longueur de travail
> -0,5 mm puis condense lateralement avec un speader
> en titane à l t -2mm;une compaction a chaud est
> ensuite realisee avec
> un condenseur niti sur lequel on a enduit de la
> gutta basse viscosite chaude identique a celle du
> cone de gutta(obturation homogene )
> c est une technique rapide et fiable dont la seule
> limite est a mon avis les canaux larges et ouverts
> a l apex


R5 fqgjuo - Eugenol

Logo vuaztn - Eugenol
mac

09/11/2005 à 15h59

al Ecrivait:
-------------------------------------------------------

>
> la condensation verticale, tu descends, et tu
> remontes (merci de ne pas embrayer la-dessus
> alhoun), et basta.


ça c'est le meilleur moyen pour qu'il embraye;)


al

09/11/2005 à 16h05

mac Ecrivait:
-------------------------------------------------------

> ça c'est le meilleur moyen pour qu'il embraye;)

tu crois ? en attendant, c'est toi que ça fait démarrer ;)


Logo vuaztn - Eugenol
mac

09/11/2005 à 16h10

qui va passer la seconde?


alhoun

09/11/2005 à 16h37

non les gars, sur ce coup, je suis en roue libre.


matton

09/11/2005 à 18h05

belle endo!ton commentaire tient la route
cela dit la condensation a froid du maitre cone et le remplissage du canal avec la gutta me semble rendre la technique plus sure en evitant le refoulement du materiau d obturation au dela de l apex;dautre part, si tes canaux sont courbes,tu prends le risque de casser ton compacteur acier
puisque tu tournes aune vitesse elevee


al

09/11/2005 à 18h30

Mais je compacte sans rien tourner, moi.

System B en descente, et obtura en remontée, avec des fouloirs type fouloirs de Machtou pour compacer un peu ça. Et avec le Sybron Element, très peu besoin de compaction en remontée.

La condensation de la gutta à froid, me pose un problème hautement intellectuel à priori. Je me suis laissé dire, qu'on utilisait la gutta pour les obturation, essentiellement pour ses qualités thermoplastiques.

Donc si on est à froid, pourquoi faire la thermoplasticité ? Alors c'est vrai que dans une dent on est à 37°. Mais avec mon System B je suis à 200° au contact de la gutta. C'est pas tout à fait pareil. Donc ma gutta quand je la compacte, elle se laisse compacter sans avoir besoin de forcer, et j'obtiens forcément un effet hydraulique supérieur sur le ciment.

Du moins c'est ce que je pense. Mais je me trompe peut-être. Toujours est-il que mes grands maîtres d'endodontie, de Machtou et tous ses élèves, ou Buchanan, utilisent la technique de la compaction verticale à chaud. Donc, j'ai opté moi-même pour cette technique, qui permet de tout obturer. Des canaux courbes à se retourner la tête, aux canaux droits, même à apex ouverts, dès lors qu'on peut ajuster un cône.



matton Ecrivait:
-------------------------------------------------------
> belle endo!ton commentaire tient la route
> cela dit la condensation a froid du maitre cone et
> le remplissage du canal avec la gutta me semble
> rendre la technique plus sure en evitant le
> refoulement du materiau d obturation au dela de l
> apex;dautre part, si tes canaux sont courbes,tu
> prends le risque de casser ton compacteur acier
> puisque tu tournes aune vitesse elevee


matton

09/11/2005 à 18h49

lesystemeB reste la technique d obturation de reference ;j ai lappareil au cabinet (scm) mais ne l ai jusqu a present pas utilise ds la mesure ou ma technique avec le micro seal est eprouvee et aussi rapide qu avec le systeme b;quand est il des canaux fin s,longs et courbes et de la lenteur de la phase de remontee apico coronaire(surement plus que 5 secondes)


matton

09/11/2005 à 18h54

le systeme obtura 2 super! mais pas economique su tout:prix de la gutta etdes canules jetables


Loic

11/11/2005 à 01h25

matton matton, arrete de balancer des trucs du genre "c la reference ". Sans aucune méchanceté, le systeme B a ses indications et aussi ses contre indications, il est plus que contesté que l augmentation de temperature soit celle indiquée par l appareil, que la gutta a l apex soit rechaufee. Ce systeme coute aussi sur le long terme (electrodes honereuses, non autoclavables. C assez long a utiliser si on fait une remontée de gutta sans le pistolet. Bref, c un bon systeme d obturation mais c naze dans les canaux courbes, c long, la reproductibilité est discutable, ca tombe qd meme pas mal en panne (le mien tombe en panne 2 fois par an et j ai deja eu 2 appareils). Perso je trouve que le thermafil est mieux pour avoir utilise les 2.
Le systeme microseal demande qd meme une periode d adaptation, l gutta est moins radiopaque, il y a souvent des bulles si on ne maitrise pas parfaitement la methode, casse de compacteur etc...
A ce jour je serais bien incapable de te dire quel systeme est la reference.
Amities confraternelles.

Loic


al

11/11/2005 à 11h23

Loic Ecrivait:
-------------------------------------------------------
> il est plus que contesté que l
> augmentation de temperature soit celle indiquée
> par l appareil, que la gutta a l apex soit
> rechaufee. Ce systeme coute aussi sur le long
> terme (electrodes honereuses, non autoclavables.
> c assez long a utiliser si on fait une remontée de
> gutta sans le pistolet.

il est plus que contesté ? par qui, tu as des études ?
tu devrais émettre tes contestations à Buchanan, Machtou et sa bande de ptits gars, les Machtous boy's pour ne citer qu'eux.

> Bref, c un bon systeme d
> obturation mais c naze dans les canaux courbes, c
> long,

c'est surtout qu'il faut apprendre à s'en servir. on peut avec obturer des canaux courbes à 90°, simplement il y a pour ça une technique qu'il est nécessaire de maitriser.
et si on pouvait arrêter avec cette parano de la stérilisation de tout et n'importe quoi. je te rappelle simplement que l'électrode chauffe à 200° et plus, et est utilisée dans un milieu supposé stérile.
quand au fait qu'elles soient onéreuses, certes, mais utilisées comme il faut, elle durent très longtemps. avec un exercice normale d'omnipratique, la dernière que j'ai changée avait 5 mois d'utilisation.

> la reproductibilité est discutable,

voir plus haut. la reproductibilité est acquise avec la maîtrise de la technique. une fois de plus, ça s'apprend.

> ca tombe
> qd meme pas mal en panne (le mien tombe en panne 2
> fois par an et j ai deja eu 2 appareils).

faudrait peut-être te demander comment tu t'en sers ? parce que le mien à plus de dix ans, il n'est jamais tombé en panne, même après une chute d'un plan de travail.
je viens d'en changer pour le système intégré de Sybron, et mon System B est reparti pour de longues aventures entre les mains d'un ptit gars qui promet beaucoup, et qui se shoote aussi à l'eugenol.


> Perso je
> trouve que le thermafil est mieux pour avoir
> utilise les 2.

le Thermafill est une technique simple et fiable, que l'on peut mettre entre beaucoup de mains non expérimentées. qu'il soit mieux ça se discute. plus simple oui.

> A ce jour je serais bien incapable de te dire quel
> systeme est la reference.


le couple System B/ Obtura, reste la référence en matière de condensation verticale. Sachant que toutes études montrent la supériorité de la condensation verticale sur la latérale.

si tu veux quelques études :

Int Endod J. 2003 Dec;36(12):876-82. Related Comparison of MicroSeal and System B/Obtura II obturation techniques.

J Endod. 2001 Nov;27(11):661-5.
Analysis of the endogrammes developed during obturations on extracted teeth using system B.

J Endod. 2001 Aug;27(8):512-5.
Radicular temperatures associated with thermoplasticized gutta-percha.

> Amities confraternelles.

itou

> Loic

al



Loic

12/11/2005 à 13h31

Temperature Change within Gutta-Percha Induced by the System-B Heat Source- Venturi M, Pasquantonio G, Falconi M, Breschi L , Inter Endod J 2002 ; 35 : 740-746).

Je n ai pas dit que le systeme etait mauvais al, j ai simplement dit qu'il etait un peu presomptueux de dire que ce systeme etait LA référence. Il est pas si facile que ca a mettre en oeuvre, les canaux ovales et courbes c pas le top, les electrodes ca coute qd meme assez cher (duree de vie en moyenne 6 a 8 mois voir moins si utilisation importante). L'ajustage du maitre cone est tres importante et prend du temps. Bref c est un des meilleurs systeme d obturation, je ne le conteste pas, dire que c la reference, si tu le dis....
je te renvois a ce post d ailleurs : http://www.eugenol.com/eugenol/read.php?8,8328,page=1


en toute amitié
Bien confraternellement

loic


matton

13/11/2005 à 16h52

salut loic
ta critique du systeme micro seal me parait bien severe:
radio opacite,quel estle probleme si le canal est bien obture
une bulle,tu repasses le condenseur et elle disparait
casse de condenseur ,ce n est pas forcement pire que de laisser un tuteur en pastique à demeure
tu parle de lapprentissage de la technique mais j ai egalement essaye le thermafillet je ne trouve pas cela evidentquand tu dois obture plusieurs canaux à la fois !
amities


tito

13/12/2005 à 00h00

personnelement je pense qu'aujaurd'hui le systeme d'obturation vertical de référence est l'eq sans fils distribué par dentoria...tout les avantages d'un systeme b couplé obtura 2, mais sans fils et en plus moins cher...


ben

13/12/2005 à 20h38

Il faut admettre qu'il n'est pas très aisé d'amener un insert "rigide" de 0.5 mm de diamète en conicité 6% (il en existe depuis peu chez Sybron endo à 4%), à proximité de l'apex d'une racine courbe. Idem pour les canules en argent de l'obtura II ou autre E&Q+.
Le système micro seal (identique au endomagic), perd de son intérêt si tu utilises des cones "souples" comme les cones Protapers, très faciles à ramollir au gutta condensor.
A moins que tu ne l'utilises sans maitre cone, ce qui me semble souvent assez "aléatoire" (risque de dépassements importants)


matton

14/12/2005 à 23h58

je pense qu 'amener de la gutta chaude donc deja ramollie via le condenseur souple en titane (systeme miro seal ) amene un plus dans la compaction et l obturation tridimensionnelle du canal


Mickey Mouse

15/12/2005 à 16h27

Chers amis, regardons d'un oeil untout petit peu critique la littérature :
- lorqu'on regarde les études cliniques prospectives sérieuses : la technique d'obturation n'a pas d'influence statistiquement significative sur le pronostic.
- il ne sert à rien de vouloir comparer les tecnhiques d'obturations au moyens de tests de laboratoires : les études se contredisent, ne sont pas standardisées, il n'y a que très peu souvent de groupe tests, bref c'est de la science à la noix de coco ou pour être plus ploitiquement correct ce sont des études qui du point de vue " evidence based" sont insignifiantes.
- il est triste de se dispûter à propos de ces tecnhiques, si on ne met pas la digue etc etc etc


ben

16/12/2005 à 01h13

T'es pas un peu parano?