Cookie Consent byPrivacyPolicies.comtabouret à 2 pieds - Eugenol

tabouret à 2 pieds

8877620 evgeru - Eugenol
slump

22/11/2005 à 13h17

bonjour les amis.
je vous présente le cas suivant :
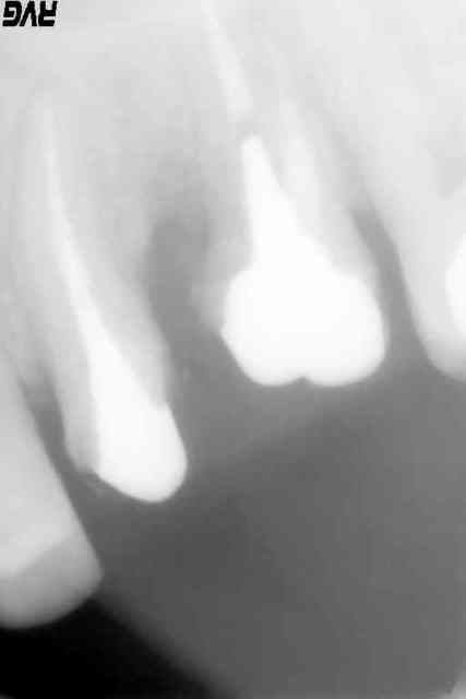
27 absente,
26 : rte faite, mais racines vestibulaires à extraire (multiples instruments cassés, et noyés dans une ancienne gutta)
25 : ccm sans problème

j'aimerai savoir si une "prémolarisation " est possible sur cette 26 ( à savoir garder la racine palatine afin d'y loger un joli petit inlay core)


Logo vuaztn - Eugenol
mac

22/11/2005 à 13h22

si tu veux jouer à Colt Silvers.
sinon 2 implants c'est mieux.


8877620 evgeru - Eugenol
slump

22/11/2005 à 13h31

je me suis mal expliqué , je ne veux pas remplacer la 27 (pas de motivation du patient)...

l'inlay sur 26 ne supporterait seulement que la couronne sur 26


Logo vuaztn - Eugenol
mac

22/11/2005 à 13h33

trop compliqué à gerer à mon avis.
tu vas avoir une table occlusale minuscule.


Avatar transparent iqadnc - Eugenol
adhoc

22/11/2005 à 13h38

Faut demander à l'ami athos.
Athos, 2 couronnes solidarisées 25 26 avec 26 grossse racine palatine et plus de racines vestibulaires, tu as déjà fait?


Coeur n9py1g - Eugenol
patvat

22/11/2005 à 13h53

moi j ai fait en solidarisees pas de pb



8877620 evgeru - Eugenol
slump

22/11/2005 à 14h33

merci.je vais donc solidarier 25 et 26


Audi tt 2007 jzsdts - Eugenol
sbire

22/11/2005 à 16h06

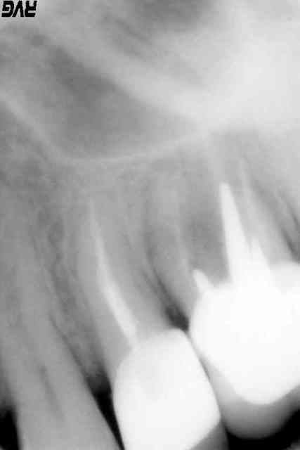
j'ai fait mais il reste la racine DV
Pas de pb.

Or1 gjbuaf - Eugenol
Or2 wgat1i - Eugenol
Or3 oaeuk0 - Eugenol

Image19 iebot6 - Eugenol
athos

22/11/2005 à 17h08

comme Sbire en moins mieux...

Prov n attente zwlcs1 - Eugenol
Provisoire kaipan - Eugenol

Image19 iebot6 - Eugenol
athos

22/11/2005 à 17h10

comment qu'il a su adhoc??????????????? pfff....suis grillé partout alors!!...


Image19 iebot6 - Eugenol
athos

22/11/2005 à 18h06

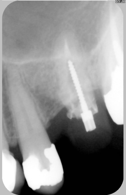
la 25 donc, pis apres ré-endo de ce qui reste de 26 pis apres la fixe def, mais plus tard...

j'avais un autre cas mieux et terminé depuis queques années, mais sais plus ou il est...

Prepa25 y7xacl - Eugenol