Cookie Consent byPrivacyPolicies.comlichen plan ou kératose? - Eugenol

lichen plan ou kératose?

31ulysse

28/11/2005 à 23h56

Bonjour,
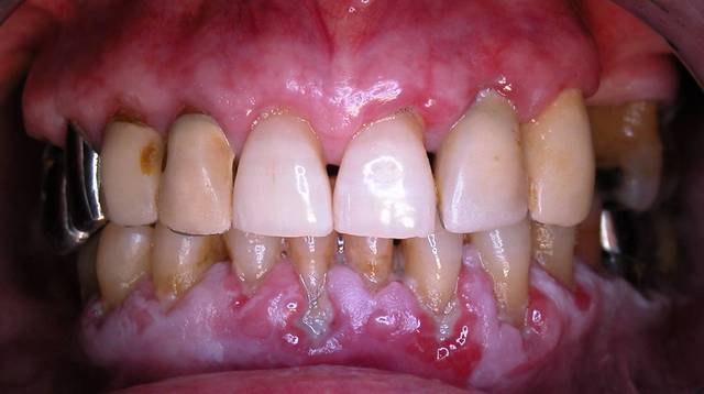
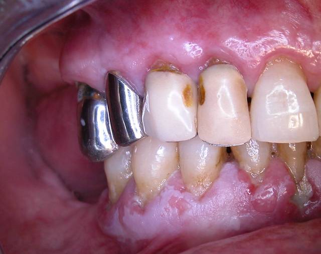
je vois une patiente en consultation, aujourd'hui. Elle se plaint de problèmes de gencives qui saignent... Quand vous verrez les photos vous comprendrez pourquoi.
Le problème, n'est pas la parodontite, mais des lésions blanches, situées surtout à la mandibule. La patiente ne fume pas et ces lésions ne partent pas au grattage.
Alors lichen plan ou kératose?


31ulysse

28/11/2005 à 23h57

J'ai oublié de vous mettre les photos. désolé

Dscn0001 gvrjz4 - Eugenol
Dscn0002 zpe7m5 - Eugenol
Dscn0001 zdqgik - Eugenol
Dscn0002 nlwbqn - Eugenol

phil

29/11/2005 à 00h25

pour moi plutôt lichen plan ......interrogatoire serré nécessaire et biopsie ...... si c'est cela supprimer toute irritations locales d'ordre alimentaire......verifier fonctions hépatique contrôler stress ........
les solutions avec du solupred sont indiquées .......la lase pour ce genre de truc voila une indication je pense .......


31ulysse

29/11/2005 à 09h08

Merci pour ta réponse. Au niveau de l'interogatoire, je n'ai rien relevé. Par contre cette patiente a 75 ans, et vit très bien sans savoir qu'elle a peut-être un lichen plan. Dois je la stressée?
En tout cas je pense que je vais éliminer un peu le tartre.lol


phil

29/11/2005 à 09h45

31ulysse Ecrivait:
-------------------------------------------------------
> Merci pour ta réponse. Au niveau de
> l'interogatoire, je n'ai rien relevé. Par contre
> cette patiente a 75 ans, et vit très bien sans
> savoir qu'elle a peut-être un lichen plan. Dois je
> la stressée?

non pas du tout mais fait une biopsie .....tu sais j'ai diagnostiqué 2 carcinomes en 25 ans .....un sur une petite grand mère de 80 ans .....elle en est morte .......et pourtant il n'y avait pas grand chose ......
nous ne sommes pas dans la même situation bien sur mais une approche stricte me semble nécessaire........pour un jour éviter de passer à coté de qq chose de + grave



31ulysse

30/11/2005 à 09h14

Merci de tes conseils.
Je l'ai adressée à un confrère qui travaille dans un centre de pathologie buccale.


dr.demolay

30/11/2005 à 10h51

ça se decolle à la compresse ?


31ulysse

30/11/2005 à 21h43

Non pas du tout.
c'est adhérent mais cela un toucher granité.


phil

30/11/2005 à 21h53

31ulysse Ecrivait:
-------------------------------------------------------
> Non pas du tout.
> c'est adhérent mais cela un toucher granité.


lichen plan presque sur ......


31ulysse

30/11/2005 à 22h25

Merci pour vos avis. Demain, on lui fait sa biopsie.


dr.demolay

05/12/2005 à 14h55

D’abord Cytodiagnostic de Tzanck

Biopsie délicate

EP

Ou

Pemphigus


phil

05/12/2005 à 17h16

dr.demolay Ecrivait:
-------------------------------------------------------
> D’abord Cytodiagnostic de Tzanck
>
> Biopsie délicate
>
> EP
>
> Ou
>
> Pemphigus
>


pemphigus ......je peux me tromper mais l'épithélium se détache ....alors que la ce n'est pas ler cas .......j'ai toujours du mal avec les abréviations EP c'est quoi ?



dr.demolay

05/12/2005 à 19h57

L'érythème polymorphe = EP
sinon pas forcement pour le detachement


phil

05/12/2005 à 22h19

il me semble que le pemphigus et l'erythème polymorphe sont des maladies bulleuses avec des signes généraux souvent associés et des lésions des joues et des lèvres à un stade développé .......pour cette patiente dont les lésions sont évoluées tout semble localisé sur la gencive .......pour avoir vu beaucoup de lichen plan j'ai tendance à penser à cela avec une leucoplasie associée par endroit
mais je peux me tromper

j'ai consulté ces sites mais il y en a d'autres pour vérifier .......

http://www.sfdermato.net/atlasab.html
http://www.atlas-dermato.org/index.html
http://dermatologie.free.fr/banquesi.htm


dr.demolay

07/12/2005 à 16h50

Tout dépend de l'HDM (histoire de la maladie) pour l'extension, sinon effectivement le diagnostic macroscopique est complexe, mais oon retrouve un aspect placardant en mosaïque, je serai curieux d'avoir le résultat de la biopsie, je m'avoue un peu sec devant la photo, et incertain


phil

07/12/2005 à 17h05

dr.demolay Ecrivait:
-------------------------------------------------------
> Tout dépend de l'HDM (histoire de la maladie) pour
> l'extension, sinon effectivement le diagnostic
> macroscopique est complexe, mais oon retrouve un
> aspect placardant en mosaïque, je serai curieux
> d'avoir le résultat de la biopsie, je m'avoue un
> peu sec devant la photo, et incertain
>
>

ben ouis la clinique ne nous déjà pas toujours tout alors une photo .....mais -tes remarques sont interessantes


31ulysse

16/12/2005 à 09h06

D'après un confrère spécialisé en pathologie buccale, c'est donc un lichen. Merci les gars.


phil

16/12/2005 à 09h50

31ulysse Ecrivait:
-------------------------------------------------------
> D'après un confrère spécialisé en pathologie
> buccale, c'est donc un lichen. Merci les gars.


Laser .....super indication


31ulysse

16/12/2005 à 13h55

Je l'envoie chez un dermato? Je ne connais pas de dentiste sur Toulouse utilisant un laser.


Coeur n9py1g - Eugenol
patvat

16/12/2005 à 16h47

UN LASER NE SUFFIT PAS MOI JE NE SAURAI COMMENT UTILISER LE MIEN DANS CE CAS


phil

16/12/2005 à 17h29

je ne saurais bien sûr l'affirmer mais il me semble que c'était envisageable.......voir le site http://www.medilinksas.fr/ par exemple ......mais je n'en ai pas l'experience


31ulysse

24/12/2005 à 09h22

La patiente a vu une Dermato, qui me demande de traiter la paro, mais cela je m'en serai douté. Par contre elle pense que ce n'est pas la peine de traiter, la patiente a certainement cela depuis des années, elle ne ressent rien. Pour ma part, je ne peus me ranger que de son côté car, ce n'est pas de ma compétence.


hel

21/01/2006 à 17h36

31ulysse Ecrivait:
-------------------------------------------------------
> La patiente a vu une Dermato, qui me demande de
> traiter la paro, mais cela je m'en serai douté.
> Par contre elle pense que ce n'est pas la peine de
> traiter, la patiente a certainement cela depuis
> des années, elle ne ressent rien. Pour ma part, je
> ne peus me ranger que de son côté car, ce n'est
> pas de ma compétence.

pour moi cette patiente a plus une leucoplasie qu'un lichen!et que dit le resultat de la biopsie finalement?
Est ce que la patiente est un peu acces sur l'alcool, la mauvaise hygiène buccale est déjà un facteur déclenchant, parfois c'est un manque de vitamine A, c et/ou E!