Cookie Consent byPrivacyPolicies.comPanoramique Schick - Eugenol
Higgins

29/11/2005 à 10h49

Est ce que quelqu'un en a une ?
En êtes vous content ?
Ou sinon est ce que vous l'avez déjà vu fonctionner?

J'ai reçu de mon fournisseur une offre très intéressante et je souhaite voir si ça en vaut vraiment la peine.

Merci de vos réponses.


Higgins

30/11/2005 à 21h44

Vous avez raison de ne pas l'avoir car apparemment selon un installateur les clichés sont de très mauvaise qualité.

Sujet clos. Désolé.


BIGOT

01/12/2005 à 18h14

Bonjour,

Je me permets d'intervenir pour répondre à une personne qui mène un débat seule en ayant pris soin de masquer son e-mail.

Si vous souhaitez avoir des informations sur cet appareil, nous nous ferons un plaisir de vous répondre, pourvu que l'on ait vos coordonnées.

Merci de votre compréhension.


Gérald Bigot.
Responsable imagerie SCHICK.
06 73 68 08 05


Didi

13/01/2006 à 01h06

Soyez heureux Monsieur, si vos produits font peur c'est qu'ils sont sûrement bons !


JAOUI

13/01/2006 à 16h11

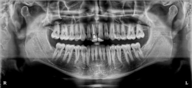
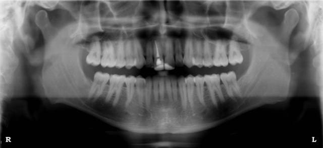
Cet appareil est visible et essayable dans l'est et dans l'ouest de Paris.

Clichés dispos en pièce jointe.

Pour une démo : NGP PARIS tel 01 70 71 20 40.

Cdrpanx hah6pc - Eugenol
Cdrpanx avecfiltre owf6yd - Eugenol
Cdrpanx wvsxlm - Eugenol

3f3boxni50k58rq7e9ce9ddqrxgk - Eugenol
dentiste57

13/01/2006 à 22h19

et combien ça coute ?


ZORBECA

13/01/2006 à 22h26

dentiste57 Ecrivait:
-------------------------------------------------------
> et combien ça coute ?


Pour un investissement telle la pano le coût est secondaire (pour moi), voir la qualité du produit, le SAV (capital) et.. le bouche à oreille.

Une pano est pour moi indispensable au cabinet, j'en ai une depuis 7 mois seulement, je me demande parfois comment je faisais avant.

L'investissement est facilement amortissable car nous sommes 2 praticiens.

Bon achat


Abeille lzfkas - Eugenol
domi38

16/01/2006 à 16h39

La pano c'est mon "budget publicité".
Les patients sont toujours impressionnés de voir fonctionner l'engin.
Et de plus cela m'apporte un réel confort de travail.


rappel

18/01/2006 à 18h27

ah !
quelqun ici à-il déja consulté une autre discussion EUGENOL appelée OP100D .
on y voit de vraies radios panoramiques ...


rappel encore

18/01/2006 à 18h30

dis JAOUI , il est drolement bien le bloc antérieur sur ta panoramique sans filtre , mais dis-moi , tu l'a prise avec ou sans flach ...