Cookie Consent byPrivacyPolicies.comreconstitution esthetique - Eugenol

reconstitution esthetique

cmu

02/12/2005 à 18h15

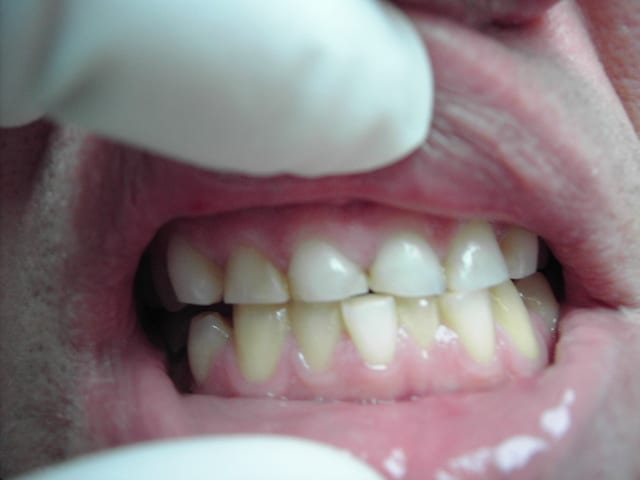
Mr R. patient de 47 ans bonne hygiéne non fumeur tendance bruxisme avec facettes d'abrasions marquées trouvant ses dents maxillaires anterieures "trop petites " me demande une solution esthetique!!
et bien sur fiable au long terme.....
Merci pour vos conseils!

Photo 005 etae3i - Eugenol
Photo 009 auz9uh - Eugenol
Photo 013 zrpeyw - Eugenol
Photo 010 vfkqmy - Eugenol

alhoun

02/12/2005 à 18h34

facettes, ou plutôt couronnes trois quarts, + gouttière nocturne.


ZORBECA

02/12/2005 à 19h44

alhoun Ecrivait:
-------------------------------------------------------
>
> gouttière nocturne.

Les patients les mettent régulièrement?

Personnellement, j'ai peu de persévérants.



Icon poker h4nm2d - Eugenol
jeff

02/12/2005 à 21h22

gouttière nocturne : pourquoi ? : pour éviter de détruire une reconstruction non équilibrée ?

L'important, c'est pourquoi une tendance bruxisme .

Je pense que si l'on redonne une équilibre buccal au patient, de bruxisme, il n'aura plus besoin.


alhoun

02/12/2005 à 21h51

continue jeff, ça m'intéresse.


alhoun

02/12/2005 à 21h51

je précise que mon message du dessus est au premier degré, des fois que....


Icon poker h4nm2d - Eugenol
jeff

02/12/2005 à 22h38

Attention , Alhoun, on risque de dévier en rubrique occluso !

Ce que j'ai dit est vraiment ce que je pense. Maintenant, je suis confronté à la réalité clinique, à celle de mes patients qui ne veulent pas forcement faire 5 ans d'activateur pour trouver eux même leur équilibre.

Pour ceux la, quelle solution ?

une reconstruction validée en posturologie à la Clauzade, une équilibration Isaïe, un PMRI-PO à la Occlusion , une gouttière de protection, parce que , finalement, au cas ou... ?

Je suis sure que le bruxisme est l'expression d'un problème, une soupape de sécurité qui permet de libérer de l'energie pour ne pas que cela lache ailleurs ( non Al, je n'ai pas étude la-dessus ! ).
Sure que les gouttières sont une réponse symptomatologique, et non thérapeutique. Mais à part la dentosophie ( parles en à emma ) , je cherche encore.


Logo vuaztn - Eugenol
mac

02/12/2005 à 23h18

alhoun t'aurais du venir faire la dentosophie;)


alhoun

03/12/2005 à 10h41

pas besoin, je sous-traite.
j'aurai tendance à être d'accord, jeff, mais, tu l'as dit, ce patient veut un résultat, de préférence avant la conversion de la France au libéralisme.


Logo vuaztn - Eugenol
mac

03/12/2005 à 10h47

alhoun Ecrivait:
-------------------------------------------------------
> pas besoin, je sous-traite.



a mon avis c'est quelque chose qu'on peut pas sous traiter, mais bon peut être que je me trompe.


cmu

05/12/2005 à 16h45

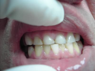
En effet le patient veut un resultat!!!
Vue l'usure je doute pour des facettes fiables au long terme!

Photo 012 j8bmox - Eugenol
Photo 013 kjyvee - Eugenol

alhoun

05/12/2005 à 16h55

moi je dirais que c'est ce qu'il y a de plus fiable.


Logo vuaztn - Eugenol
mac

05/12/2005 à 16h57

et pourquoi la gouttière la nuit et pas le jour?


ZORBECA

05/12/2005 à 17h13

mac Ecrivait:
-------------------------------------------------------
> et pourquoi la gouttière la nuit et pas le jour?


En Bretagne il ne pleut que la nuit donc...


Logo vuaztn - Eugenol
mac

05/12/2005 à 17h15

oui mais il fait jamais jour, à part le 15 août !!


ZORBECA

05/12/2005 à 17h15

cmu Ecrivait:
-------------------------------------------------------
> En effet le patient veut un resultat!!!
> Vue l'usure je doute pour des facettes fiables au
> long terme!


A mon avis, il y a un travail psychologique à faire auprès de ton patient, car je pense que tu vas vers l'échec. Il ne sera jamais content du résultat.

Peut-être que je me trompe.


Dos02 qpcfgi - Eugenol
Rick

05/12/2005 à 20h12

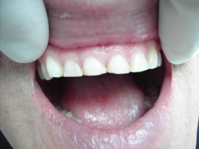
Tu vas au mur cmu
La seule exigence de l’esthétique antérieure sans autre compensation postérieure t’obligera à la supraclusie avec blocage de la mandibule. > à prévoir casse, descellements, ou mobilisation des piliers antérieurs.

Sur tes photos, partiellement
On peut croire que l’intercuspidation post. n’est pas terrible ! Pas d’abrasion
Cadran 1 présence ou absence des 6 et 7 ?
11 et 21 bien entamées dont 11 éclat en D.
13 et 23 tout aussi bien sollicitées
------------------------------------
L’abrasion des ant. peut être symptomatique d’une absence de fonction post. La proprioception guidant le patient à la tendance la plus efficace, les antérieures.
Le raisonnement de Jeff tient la route et la gouttière c’est un pis aller.
-----------------------------------
Je fais beaucoup trop de provisoires en urgence, suite des catastrophiques réalisations de bridges esthétiques et non fonctionnels.
Amicalement


alhoun

05/12/2005 à 20h34

il va sans dire que quand je parle de facettes, je ne parle pas de calage postérieure, qui coule de source.
d'accord avec rick.


Cuisinier2 vnbbxx - Eugenol
jeff2

05/12/2005 à 23h17

Cmu, pour ce patient tu reprends les différents travaux qu'à fait Planas en Amazonie pour voir que ce genre d'abrasion est naturelle chez un homme de 40 ans là bas.
Il faut dire que la bas il mange des racines , des fruits fibreux etc etc et pour eux ce n'est pas un probleme esthetique
Perso a un patient comme ca j'explique que ces afmp etant a zéro, il n'a aucun probleme structurel (ce qu'il me comfirme la plupart du temps) mais que son désir d'ameliorer son esthétique est a prendre en compte, et que d'une part j'esaye d'approfondir son désir et sa motivation esthetique, et je previens qu'il n'y a pas d'autre solution que reconstruire toute ce que son brasion a detuit ( procera partout) avec obligation de maintient et control occlusal tous les six mois


Zoe   son arriv e whwqpj - Eugenol
emma

08/12/2005 à 20h34

cmu Ecrivait:
-------------------------------------------------------
> Mr R. patient de 47 ans bonne hygiéne non fumeur
> tendance bruxisme avec facettes d'abrasions
> marquées trouvant ses dents maxillaires
> anterieures "trop petites " me demande une
> solution esthetique!!
> et bien sur fiable au long terme.....
> Merci pour vos conseils!

Jeff n'a pas tort, cas typique de dentosophie .

Comme y dise pour les pages jaunes :à ta disposition m'sieur! (ou m'dame, cmu étant un pseudo difficile à déterminer quant au sexe...no comment please, désolée Athos)


Bx1 spw1cx - Eugenol
BX

09/12/2005 à 10h33

Solution de compromis, peu mutilante pour les dents ( et le porte-monnaie): élongation coronaire 13 à 23 + légère coronoplastie au niveau des angles.


michel

15/12/2005 à 15h13

bonjour emma
qu'est-ce que la dentosophie?livre sur ce sujet?cours?merci pour toutes les infos que tu jugeras utiles


Logo vuaztn - Eugenol
mac

15/12/2005 à 15h14

www.dentosophie.com


tantine

15/12/2005 à 23h49

BX Ecrivait:
-------------------------------------------------------
> Solution de compromis, peu mutilante pour les
> dents ( et le porte-monnaie): élongation coronaire
> 13 à 23 + légère coronoplastie au niveau des
> angles.
et en postérieur tu lui laisses de la place pour son beefsteak? ton compromis est un échec d'avance et de plus ce patient n'a pas l'air de souhaiter du compromis!!


raoul

16/12/2005 à 05h02

mac Ecrivait:
-------------------------------------------------------
> www.dentosophie.com


Interesant! Cyril Kaufman ( Afrique du Sud) a demontrer le rapport entre l'occlusion bien balancer et l'equilibre generale du corps il y a environs 25 ans.

Exemple: 2 personnes. La personne la plus forte tends son bras haut, poignee seree. L'autre vas s'acrocher au bras et vas essayer de le lui baisser. Il vas experiencer une forte resistance.

Cette fois ci repeter l'excercise, mettez un de crayon dans la bouche de la personne forte, entre les deux premolaires et demander lui de mordre dessus.
Vous allez voir comme il est facile de lui baisser le bras- presque aucune resistance.


Raoul


12