Cookie Consent byPrivacyPolicies.comSans le laser ça marche aussi. - Eugenol

Sans le laser ça marche aussi.

31ulysse

09/12/2005 à 00h07

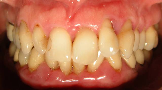
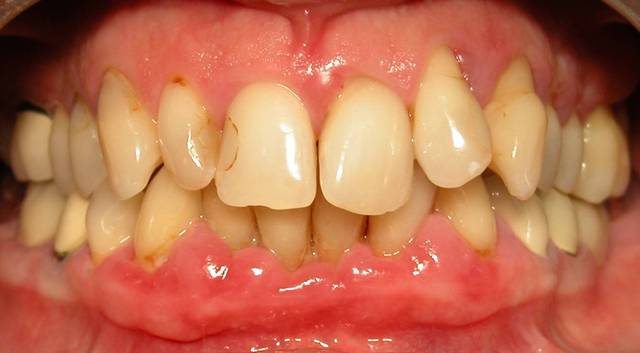
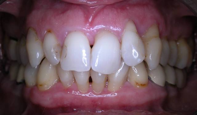
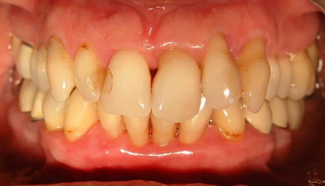
Voici le cas d'une patiente que j'ai traité pour une parodontite chronique.


Audi tt 2007 jzsdts - Eugenol
sbire

09/12/2005 à 00h13

Je peux te dire que là y'a plus de microbes....même rien du tout!


31ulysse

09/12/2005 à 00h22

Je voulais envoyer une présentation power point mais elle n'est pas passée.
Donc il s'agite d'une patient adressée par un confrère pour un avis paro avant un traitement ODf. La patiente a cinquante cinq ans. Elle fume des cigares, des problèmes d'hygiène. Je dignostique une parodntite chronique que j'ai traité en non chirurgical. La patiente est en observation avant d'entamer un traitement prothétique plutôt qu'ODF.

Dscn7502 l76fdb - Eugenol
Dscn7002 iyeyxs - Eugenol
Dscn7030 tz4jtf - Eugenol
Dscn0013 yxr0zr - Eugenol

31ulysse

09/12/2005 à 00h29

Bon je suis vraiment trop nul, les photos sont pas dans l'ordre.
La consultation: DSCN 7002
1 mois après la consultation et motivation à l'hygiène: DSCN 7502
Le jour de la lithotriptie: DSCN 7030
6 mois après: DSCN 0013


31ulysse

09/12/2005 à 00h31

Désolé mais j'ai inversé la 7030 et la 7502. Mes photos ne s'affichent pas quand je dois les cliquer, du coup je fais de mémoir mais je vois que je dois manger du QI+.


31ulysse

09/12/2005 à 00h41

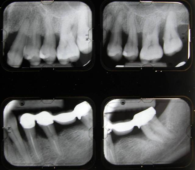
Pour me faire pardonner, je vous envoie le status initial et le bilan de sondage.

Dscn0006 iiduz0 - Eugenol
Dscn0015 dddshv - Eugenol
Dscn0017 m8j7d0 - Eugenol
Dscn0019 ywy4hj - Eugenol

Amibien

09/12/2005 à 00h52

Attends une minute...

Au niveau microbiologique qu'as-tu au début et six mois après ???

Le protocole est incomplet...


phil

09/12/2005 à 09h39

oin npeut dire la même chose au niveau du laser amibien .....ou sont les preuves ......


Squash u44zd8 - Eugenol
steph

09/12/2005 à 10h31

Pourquoi pas de traitement ODF ?
Il n'y a pas de contre-indications puisque l'inflammation est maitrisée, ou alors problème de temps pour la patiente?


Amibien

09/12/2005 à 11h30

phil Ecrivait:
-------------------------------------------------------
> oin peut dire la même chose au niveau du laser
> amibien .....ou sont les preuves ......




31ulysse

09/12/2005 à 14h48

Je ne vois pas où le protocole est incomplet. Par contre j'attendais la question microbio. Pour ma part ayant travaillé dans un laboratoire de microbio, je peux dte dire que je n'ai pas besoin d'un prélèvement pour poser un diagnostic. Je n'avais pas à prescrire d'antiobios dans ce cas là, donc pas d'antibiogramme.
Après le traitement, on a une flore compatible avec la santé gingivale, présence de bactéries du complexe vert, quantité 2.6x10-3. Absence de bactéries mobiles, population de cocci, et pour les amateurs d'amibes tout va bien.


31ulysse

09/12/2005 à 14h51

steph Ecrivait:
-------------------------------------------------------
> Pourquoi pas de traitement ODF ?
> Il n'y a pas de contre-indications puisque
> l'inflammation est maitrisée, ou alors problème de
> temps pour la patiente?

Le traitement ODF vu les pertes d'ancrage nécessitait une contention. La patiente était pressée, avec la prothèse on réalisait la contention et on pourra jouer sur l'esthétique. Bon là c'est son praticien, qui voit avec sa patiente. Pour moi ce qui est important c'est la contention, car il y a peu d'ancrage et gros troubles occlusaux.



Ylfwcw979cz1jnx9gfqeaxndiuzk - Eugenol
Algi

09/12/2005 à 16h59

Qui a dit que sans laser ça marchait pas? Pas moi... j'ai juste dit que le laser permet de gagner du temps et de fermer les poches en une séance avec la membrane biologique.

Si le patient est observant et là je rejoins tout à fait les protocoles charonneins, philiens et autres paromedicaliens!

Si le patient est pas obervant? On a des fois des résultats spectaculaires sur dents unitaires mais en général, dans les cas à paro agressive si on les ferme bien en une séance ça recidive dans les 15 jours à 6 mois si y se brosse pas.

ps les "autres", les "paro chronique de l'adulte", si y sont pas observants ils perdront leurs dents bon an mal an dans les 10, 15 voire 20 ans ou encore jamais et là non plus c'est pas un scoop.


alhoun

09/12/2005 à 17h36

31ulysse Ecrivait:
. Pour ma
> part ayant travaillé dans un laboratoire de
> microbio, je peux dte dire que je n'ai pas besoin
> d'un prélèvement pour poser un diagnostic.


c'est vrai, il suffit de regarder l'éprouvette.
cette rubrique, c'est vraiment du n'importe quoi.
gül, reviens!!!!!!!!!


phil

09/12/2005 à 18h46


> c'est vrai, il suffit de regarder l'éprouvette.
> cette rubrique, c'est vraiment du n'importe quoi.
> gül, reviens!!!!!!!!!

trop simple pour toi alhoun va jouer avec les grands !

c'est vrai il est ou gul ?



Ylfwcw979cz1jnx9gfqeaxndiuzk - Eugenol
Algi

09/12/2005 à 19h36

Gül t'es où?
Ben-kenobi merde alors il a du être laserisé-vaporisé par dark vador.....


alhoun

09/12/2005 à 19h47



un jour, ou peut-être pas, je vous ferai une collection de vos perles.



je n'ai pas encore trouvé plus grand.
je cherche, je cherche.....


Amibien

09/12/2005 à 20h48

31ulysse Ecrivait:
-------------------------------------------------------
> Je ne vois pas où le protocole est incomplet. Par
> contre j'attendais la question microbio. Pour ma
> part ayant travaillé dans un laboratoire de
> microbio, je peux dte dire que je n'ai pas besoin
> d'un prélèvement pour poser un diagnostic. Je
> n'avais pas à prescrire d'antiobios dans ce cas
> là, donc pas d'antibiogramme.
> Après le traitement, on a une flore compatible
> avec la santé gingivale, présence de bactéries du
> complexe vert, quantité 2.6x10-3. Absence de
> bactéries mobiles, population de cocci, et pour
> les amateurs d'amibes tout va bien.


Je ne voulais pas critiquer l'approche mais tu ne faisais pas mention de l'aspect microbio...

Je fais confiance à ton expérience, toutefois j'ai souvent été surpris de trouver un pus infragingival au niveau d'un parodonte apparemment sain ou assaini, un peu comme le feu qui couve sous les cendres...

C'est de cela que je parle, pas de ton sens clinique.


Amibien

09/12/2005 à 21h04

Et oui, c'est parti de bizarre manière...

Alhoun a raison de se moquer de nous, il est triste de voir si peu de gens avec les idées claires...

Je ne désespère pas de parvenir à mes fins mais je vais être obligé de démarrer seul...

Le 9 janvier tous mes cas paro seront documentés, du plus petit au plus grand et j'espère que d'autres se joindront à moi pour participer à cette recherche verticale et horizontale...

Et même si la preuve tarde à voir le jour, cela aura le mérite d'avoir essayé...

Je prends ma baguette magique de grand maître de la dérision imaginative et d'Amibien 1er, roi d'Amibie, pour repousser au loin les velléités défaitistes et les amateurs de perles...

Vade retro "savalenase"...

Sur ce je vais me préparer pour aller fêter l'anniversaire de la charmante épouse d'améli, cela promet d'être mémorable, grande salle, orchestre rétro, des gens formidables...


31ulysse

10/12/2005 à 00h16

alhoun Ecrivait:
-------------------------------------------------------
> 31ulysse Ecrivait:
> . Pour ma
> > part ayant travaillé dans un laboratoire de
> > microbio, je peux dte dire que je n'ai pas
> besoin
> > d'un prélèvement pour poser un diagnostic.
>
>
> c'est vrai, il suffit de regarder l'éprouvette.
> cette rubrique, c'est vraiment du n'importe quoi.
> gül, reviens!!!!!!!!!

Pas besoin de regarder l'éprouvette non. Beaucoup d'études ont été menées sur la microbiologie. Je peux te dire que dans chaque type de parodontite ont retrouve à peu près Les mêmes bactéries. Dans certains cas de parodontites agressives, avec des tableau bien particulier on retrouvera du Aa. La microbiologie a atteint ses limites qu'à son intérêt clinique. Tu utilise un examen complémentaire pour affiner un diag, si tu l'as déjà pourquoi le prescrire. Tu n'as qu'à lire les articles de Sixou, Socransky, Haffajee.
La révolution ce sont les biofilms. Cette notion nous a même fait changer notre idée de concevoir l'antibiothérapie. Si je fais un prélèvement, je perd beaucoup de bactéries aujourd'hui je peux faire une sonde? mais à quoi me servirait de savoir quelles bactéries sont présentes? On parle d'amibes, de virus, de virions.... En tout cas si tu perturbe le biofilm, tu peux changer sa composition.
Pour ma part, je me sers de l'état frais, mais je ne suis pas un "Bonnerien", mais le controle de l'évolution par ce moyen, je trouve cela très stimulant pour le patient et moi cela me permet de surveiller le changement de type de flore.


31ulysse

10/12/2005 à 00h24

Par contre pour ce qui est des cas de parodontites agressives, je n'en ai pas eu assez encore. Certainement que le laser pourrait apportait un plus. Mais comment si le patient ne contrôle pas sa plaque, tu vas pas lui stériliser le site. Tu le penses?
Mon but ce n'est pas de dire "on a pas besoin de laser", mais est ce que le laser m'aurait apporté quelque chose dans ce type de traitment. Car pour ma part, c'est 90% des parodontites que je traite en cabinet.


phil

10/12/2005 à 00h53

31ulysse Ecrivait:
-------------------------------------------------------
> Par contre pour ce qui est des cas de parodontites
> agressives, je n'en ai pas eu assez encore.
> Certainement que le laser pourrait apportait un
> plus. Mais comment si le patient ne contrôle pas
> sa plaque, tu vas pas lui stériliser le site. Tu
> le penses?
> Mon but ce n'est pas de dire "on a pas besoin de
> laser", mais est ce que le laser m'aurait apporté
> quelque chose dans ce type de traitment. Car pour
> ma part, c'est 90% des parodontites que je traite
> en cabinet.


le laser ne traitera pas mieux une paro agressive que approche classique paromed........la prise en charge personnalisée avec prise en compte des facteurs de risque et tests complémentaires est souvent eefficace......l'antibiothérapie est parfois égalemnt utile sachant que le laser n'ira pas chatouiller certaines bébêtes intra tissulaires et je suis sur qu'il y en a et que es notions de biofilms tels qu'on les connait ne ont peut être plus adaptés pour certains de ces cas mais c'est plus un sentiment personnel et c'est donc pas scientifique

le laser n'apporte qu'un + peut être dans les lesions difficiles d'accès ( et encore il faut les fermer ces lesions sinon cela ne sert à rien puisque 30 jours après la flore s'est reconstituée dans les classes II ( Feist et coll )
si cela apporte un + cicatriciel a en terme de rapidité en empéchant l'épithelium de migrer oui c'est interessant mais il faut demontrer que cela crée et je l'ai dit une nouvelle attache avec genc os desmodonte et cement et la il faut une etude assez poussée pour démontrer en + que c'est reproductible
en terme de reduction des pathogène Verhagen a montré que le laser Nd:yag reduisait la quantité de BF avec ou sans métronidazole mais que le laser n'eliminait pas Aa , Pg et Td de façon aussi significative qu'une antibiothérapie par voire générale ( amoxcilline + métronidazole ).......peut être faut-il d'autres études surement d'ailleurs mais dans ce cas au moins on peut dire que le laser n'a pas un effet antibacterien complet


Ivetol gth5hw - Eugenol
ivetol

10/12/2005 à 01h47

phil Ecrivait:
> en terme de reduction des pathogène Verhagen a
> montré que le laser Nd:yag reduisait la quantité
> de BF avec ou sans métronidazole mais que le laser n'eliminait pas Aa , Pg et Td de façon aussi significative qu'une antibiothérapie par voire générale ( amoxcilline + métronidazole
> ).......peut être faut-il d'autres études surement d'ailleurs mais dans ce cas au moins on peut dire que le laser n'a pas un effet antibacterien complet...



Je trouve que pour un NON utilisateur du laser, tu as un vrai avis "d'expert" sur la question. Voici un exemple qui montre une disparition totale de Pg (soit le conraire de ce que tu laisses entendre)Pm, Fn, En, (et Bf aux 2/3). Résultats obtenus avec un laser YAP en une séance avec analyse par amplification de l'ADN bactérien dans la même poche paro (avant/apres trt laser donc, et sans AB bien-sur)




Avant laser umx3aw - Eugenol
Apres laser k4d50x - Eugenol

phil

10/12/2005 à 02h22


moi je n'ai pas un avis d'expert bien au contraire ......pas plus que toi !

je lis la littérature je regarde et j'écoute.......mais je suis critique

ton cas bien sur moi m'interesse mais il en faut plus pour me convaincre ......la il s'agissait de quelle dent ? une incisive me semble t il pour une poche de 4 mm .......ben euh tu crois que l'on peut faire aussi bien sans laser et aussi vite pour une poche de ce type....car 4 mm c'est pas 8 ou 10 .... et il y avait combien de sites et moi je les traite toutes et surement même sans faire de tests..... ton cas c'était quoi comme cas parodontite de l'adulte paro agressive quels facteurs de risque etc ....il faut un ensemble de choses...

ton etude est à confirmer et est à comparer avec une méthode classique de toute façon ......il faut faire comme cela .....tu prends 10 cas et tu compares .....car le problème est de savoir parce que c'est cela qui moi me turlupine depuis le départ ......est ce que je peux faire aussi bien avec laser que sans et inversement ou autrement dit faut -il investir autant pour ne pas faire mieux que sans !

on en revient au même problème et on tourne en rond et pour des ronds car si je fais aussi bien que toi mais pour beaucoup moins cher je suis mieux que toi non ?

LE PROBLEME EST LA


phil

10/12/2005 à 02h25

en + ivetol après analyse et laser ta poche est toujours à 4 mm !


12...