Cookie Consent byPrivacyPolicies.comen voilà une question qu'elle est bonne... - Eugenol

en voilà une question qu'elle est bonne...

Image19 iebot6 - Eugenol
athos

18/12/2005 à 20h03

ah...al! c'est dur!!!
absence totale de vitalité...pfff...j'aurais peut etre ouvert une p'tite prémo pour voir dedans et me conforter dans l'idée que rien n'est perdu et le pire pas toujours sur...
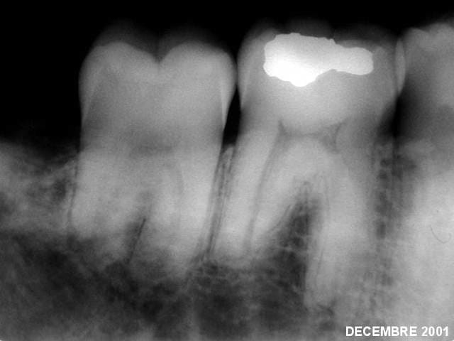
en esperant la refermer aussi endodontiquement bien que possible et me faire la reflexion...elle etait vivante et bien vascularisée avec une belle pulpe bien structurée...attendons pour toutes les autres...

c'est vrai que dans le cas inverse je me serais retrouvé a la case depart...mais j'aurais su...


024 vownvo - Eugenol
annie

18/12/2005 à 20h54

de toute façon dans ce cas comme dans tous les autres qui nous préocupent,il ne doit pas y avoir qu'une seule solution qui serait d'ailleurs contestable par d'autres,mais laisse la possibilité de concevoir des approches différentes selon les praticiens,en fonction de leur personnalité et de leur niveau de compétence


Naty

18/12/2005 à 20h56

Al, j'aime ta modestie. Elle change de l'atitude pretentieuse des autres qui s'enfuient des qu'ils sentent qu'ils risquent de se faire ridiculiser.
Alors si t'es un proche de yves, fais lui savoir qu'on voudrait bien connaitre la solution. ca serait chic de sa part qu'il nous filent la solution avant 2012 si possible.
Et pour tous les autres, comme on dit, les absents ont toujours tord, meme quand ils se cachent.


Oh...Naty!

18/12/2005 à 21h15

Naty Ecrivait:
-------------------------------------------------------
Et pour tous les autres, comme on dit, les absents
> ont toujours tord, meme quand ils se cachent.




Un peu tordu...



Img 1392 s73srk - Eugenol
Guttaman

19/12/2005 à 21h14

J'aurai tendance à m'abstenir pour la raison suivante : le test électrique négatif n'a ici pas grande valeur, puisque les chirurgies peuvent très bien expliquer la valeur négative de ce test. Il peut tout à fait persister une vascularisation de ces dents.
Il y aurait bien des moyens de vérifier cette vitalité (par ex :système doppler) mais ils ne sont au point qu'en recherche médicale et dentaire...


tarzanetc

19/12/2005 à 21h23

Naty tu serais gentille déja de ne pas me prendre pour un second couteau, mème de tes "amis": j'aurais préféré être confondu avec un gros cerveau comme Alhoun, ou à la rigueur un électron libre genre Amibien.
Quant à la réponse je te l'ai déja donnée: Ca(OH)2. Ne rien faire et espérer une "revitalisation" vu les apex ouverts...dangereux, non? La paresthésie n'est hélas pas de notre ressort, à ce stade.
Dommage pour la séance cuir, ça restera donc cérébral, qu'importe le flacon pourvu qu'on ait l'ivresse.


Image19 iebot6 - Eugenol
athos

19/12/2005 à 21h54

ah....Guttaman....me sens moins seul!!!


tarzaneccetera

19/12/2005 à 21h57

et encore une chose; le Goaz et White est là sur l'étagère qui me regarde mais j'ai trop la flemme, quelqu'un s'en chargera surement (cherchez ameloblastoma).


024 vownvo - Eugenol
annie

19/12/2005 à 22h13

j'espère que la réponse ne sera pas banale,gouttieres de solidarisation,fluorée si cela n'a pas déja été fait,laisser en l'état et voir...
j'attendrais.........le jour et la nuit cette réponse


Image19 iebot6 - Eugenol
athos

20/12/2005 à 10h06

gouttiere?...c'est pour dire qu'on fait quelque chose?

laisser en l'état et voir...bin non je ne trouve rien de banal la dedans!!

surtout si l'état etait bon!! et c'est là a mon sens qu'aurait résidé la performance et le grand service rendu au patient de ne pas lui avoir nuit.

si cette solution s'avère le praticien qui etait face au patient aura eu un étonnant sang froid.


024 vownvo - Eugenol
annie

20/12/2005 à 15h01

non Athos,je me suis mal exprimée,je ne parle pas de la banalité du traitement qui consiste sagement à ne rien faire et à surveiller l'évolution,mais à question qui se veut difficile,j'attends une réponse qui sort des sentiers battus!
pour justifier le "suspense "de cette réponse


Naty

21/12/2005 à 00h24

Annie, s'il s'agit d'un traitement complexe pour ces dents, je doute que ce soit de notre niveau ou que ca soit du domaine de la chirurgie dentaire. C'est peut être pas si exceptionnel comme traitement comme le dit Athos.
En attendant la réponse, y'a Tarzan qui s'enivre


tarzandela jungleprofonde

21/12/2005 à 01h47

"s'il s'agit d'un traitement complexe pour ces dents, je doute que ce soit de notre niveau "
Trés juste mais c'est pas grave, Naty, ce n'est pas ton intellect qui me branche le plus.
Ton admirateur fidèle,
Tarzan.


gerard

21/12/2005 à 09h09

al Ecrivait:
-------------------------------------------------------
> C'est vrai qu'avec mon ami Yves Yana, nous
> parlerions depuis quelques temps plus de sa fille
> qui est un vrai petit bijou, que de dents.
>
> Mais à l'occasion, il arrive, que pour changer un
> peu de sujet, il me pose une colle. Et je peux
> vous dire, que la colle YY, c'est de la colle
> forte;
>
> Alors j'en appelle à cette docte assemblée, pour
> m'aider à décoller de cette colle, histoire de pas
> passer uniquement pour un collé.
>
> Donc le cas :
>
> Patient :
> . Homme, 41 ans,
> . Ayant subi une exérèse d’améloblastomes
> mandibulaires bi-latéraux 13 semaines auparavant,
>
> . Présentant une légère paresthésie bi-latérale
> et réponses négatives aux tests thermiques et
> électrique des dents n° 34, 35, 36, 37, 46, et 47,
>
> . Percussion négative sur toutes ces dents.
>
> Quel(s) traitement(s) envisageriez-vous pour ces
> dents ?
>
> Pourquoi ?
la question que je te poserai ,al, c'est pourquoi traiter ces dents?
des tests négatifs n'ont pas forcément valeur diagnostic vu l'etat des racines.
si le patient n'a aucune doléance ni signes cliniques d'infection en rapport avec ses racines rhysalysées, que quelqu'un explique a mon petit cerveau les motifs de traitement.
a mon humble avis, pour traiter ,il faudrait un diagnostic précis.
merci de nous dire ce que tu as fait /va faire pour cette personne.
amicalement, gégé



al

21/12/2005 à 10h26

La réponse que je donnerai, est que premièrement, je rappelle que ce cas a été un cas traité par Yves Yana, et c'est pour éprouver notre sagacité, à ma demande, qu'il nous l'a proposé.

Je ne connais pas la réponse, mais toutes les attitudes thérapeutiques sont envisageables. Depuis l'abstention, qui est une attitude thérapeutique fort respectable, jusqu'à l'extraction, qui en est une autre valable si pleinement justifiée. en passant, par la Lorraine, non là je m'égare.

Donc, en fait ce cas, à défaut d'être un alpha du centaure, est un cas clinique fort interressant, qui montre, que nous sommes multiples, et que devant un cas, nous pouvons tous prendre des décisions différentes. Reste simplement à les justifier.

Tu proposes de t'abstenir, certes, pourquoi pas, mais simplement, et c'est là le défi posé à chacun sur ce cas, il faut juste justifier son choix thérapeutique.

Je le répète, je n'ai ni la science infuse, ni la solution définitive de ce cas, simplement des pistes de réflexions.

Je le dis aussi, il n'y a rien à gagner, sinon, d'acquérir un peu de l'expérience d'un très grand monsieur, je veux citer Yves Yana.


Img 1392 s73srk - Eugenol
Guttaman

21/12/2005 à 13h58

Bon, je proposai de s'abstenir...mais je vois une autre solution...

Extraction (facile vu l'état des racines), préparation et nettoyage des canaux + obturation à retro au MTA (beaucoup plus facile à réaliser vu l'état des racines) puis réimplantation immédiate.
L'avantage, c'est que si besoin d'une deuxième avulsion, celle-ci sera à la fois la deuxième et dernière et sera encore plus facile que la première !

Bon, là, je pense que je brûle... ;-)


al

21/12/2005 à 14h30

Bon c'est bientôt Noël, et comme j'ai eu la réponse, je vous la fournis en (presque) direct live.
L'argumentaire devrait suivre dans la journée.

Réponse :

Aucun traitement n’était nécessaire.

24 mois plus tard :
. La cicatrisation osseuse est complète;
. Toutes les dents ont retrouvé des sensibilités normales (chaud, froid, percussion)
. Les paresthésies ont disparu.

P.S bravo à athos et guttaman pour leur sagacité. al tu es nul, je le dis publiquement :)

Diapositive2 fwm3wp - Eugenol
Diapositive3 qyibt5 - Eugenol
Diapositive4 jufg0r - Eugenol

S8ysxdzhdqgw00w4q6m07a5d47q2 - Eugenol
didier72

21/12/2005 à 16h23

et il a laissé les amalgames? ;-))


Joyeux Noël


024 vownvo - Eugenol
annie

21/12/2005 à 18h16

Athos en premier avait raison,bravo, et aussi à tous les abstentionnistes


Yves YANA

21/12/2005 à 18h19

Bonjour Annie,

J’ai bien peur, au risque de vous décevoir, que pour ce cas clinique complexe, il n’existe qu’une seule solution et que celle-ci soit bien plus simple que vous ne l’imaginez.

J’ai transmis à « al » les radiographies de fin de traitement pour qu’il les place sur ce site compte tenu de mon incompétence absolue en informatique, entre autres domaines.

J’ai lu attentivement tous les posts de ceux qui ont eu la gentillesse et la bravoure de participer à cette « colle » que « al » m’avait réclamée. Qu’ils en soient ici vivement remerciés.
Mais comme le dit très justement notre ami « al », toutes ces réponses divergentes démontrent parfaitement que les traitements diffèrent en fonction de chaque praticien et de ses connaissances alors que, comme mentionné plus haut, il n’existait qu’une seule solution à ce problème clinique.

Bien qu’il n’en ait pas vraiment fourni la motivation de son geste thérapeutique, c’est « athos » qui, en s’obstinant, a donné la bonne réponse. Recevez « athos », toutes mes plus sincères félicitations. « BX », « Guttaman » et « Gérard » ont eux aussi fourni la bonne réponse. Dommage que « Patvat » qui était très bien parti(e) dans son premier post se soit ravisé(e) en proposant « une greffe de cellules souche mélangées au carbonate de Ca pour réparation osseuse ».

La bonne et unique réponse était l’abstention du moindre geste thérapeutique.

N’oublions jamais les paroles d’Hippocrates : « Primum non nocere ».

L’accumulation des informations connues et amplement suffisantes (qui étaient d’ailleurs celles transmises par le patient lors de sa consultation) et leur analyse combinées à nos connaissances en histo-pathologie, permettent de clairement motiver ce choix thérapeutique.

EXPLICATIONS :

1. Nous savons que ce patient était atteint d’améloblastomes bilatéraux. Ces améloblastomes ont d’ailleurs été confirmés par le résultat de la chirurgie et dont le patient fait mention lors de l’anamnèse. Les améloblastomes (uni ou multi cystiques) sont classés, sauf cas rares, dans la famille des tumeurs bénignes odontogènes. Ces néoplasmes à croissance lente touchent en général les hommes de la quarantaine (en moyenne), au niveau principalement de la branche horizontale du maxillaire inférieur, sont situés le plus souvent au niveau des molaires, déplacent et/ou résorbent les racines qu’ils rencontrent. Or, il se trouve que patient s’intègre parfaitement dans ces caractéristiques.
Si nous n’avions pas eu connaissance de la présence d’améloblastomes, la suspicion de ce type de pathologie aurait donc été privilégiée et après qu’un diagnostic différentiel eut été fait avec :
. Le kyste dentigère souvent accroché à la partie coronaire d’une dent incluse coronaire,
. Le kératocyste qui suit en général le contour des racines sans les résorber ni repousser les corticales osseuses,
. Le myxome odontogène qui s’accroît le long de l’os et qui présente des septums à angle droit (très caractéristiques de cette lésion)
. Le granulome à cellules géantes qui est plus antérieur et présent en général chez les patients plus jeunes,
.La tumeur de Pindborg qui présente de gros nodules calciques et qui est plus dure à la palpation (alors que l’améloblastome est friable) et accompagnée souvent d’une dent incluse.
. Le fibrome améloblastique (similaire à l’améloblastome mais découvert chez les patients beaucoup plus jeunes)
. Le fibrome odonto-améloblastique qui est lié à une dent en éruption.
. Les tumeurs d’origine neurale qui montrent un canal dentaire dilaté.

2. Quoiqu’il en soit, il faut aussi noter que l’améloblastome n’a jamais été mis en cause dans la destruction du paquet vasculo-nerveux pulpaire ce qui veut dire que malgré la résorption importante ou la taille de la tumeur, le tissu vasculo-nerveux de la pulpe reste intact. Schilder avait l’habitude de dire à l’étudiant médiocre que j’étais qu’un « paquet vasculo-nerveux d’une dent nageant dans une lésion (inflammatoire ou tumorale) pouvait tout à fait rester en vie à condition que celle-ci ne soit pas à l’origine de la pathologie ». Bien que cela m’ait à l’époque totalement perturbé, je dois bien avouer qu’il avait raison. Preuve en est.

3. Mais dans ce cas, comment se fait-il qu’aucun test au niveau des dents ne donne de réponses positives ? En fait, c’est le patient qui nous en fournit la réponse en précisant que la chirurgie a eu lieu 13 semaines auparavant. Or, non seulement ce laps de temps est totalement insuffisant à la totale cicatrisation osseuse compte tenu du volume de la lésion, mais qui plus est, cette période est encore plus insuffisante à la récupération de la conduction nerveuse si il y a eu éraflure accidentelle importante, voire section, du nerf dentaire inférieur lors de l’intervention chirurgicale. Si l’on retient cette hypothèse, cela peut expliquer pourquoi le patient ne ressent rien au niveau des dents et présente une paresthésie bilatérale. Comme on le sait, dans le tronc nerveux du dentaire inférieur, les fibres périphériques innervent les molaires et les téguments et la lèvre, les centrales les incisives. Or, c’est justement dans le secteur molaire qu’a eu lieu la « bataille chirurgicale » parfaitement menée d’ailleurs par le Chirurgien qu’il faut féliciter pour avoir su préserver les paquets vasculo-nerveux des dents. Le blocage de la conduction nerveuse se trouve donc probablement en amont des dents, celles-ci ne sont donc peut-être pas incriminées à proprement parler dans l’absence de sensibilité pulpaire (contrairement à une nécrose pulpaire ancienne).

4. Enfin, il faut imaginer les conséquences qu’un traitement endodontique à l’hydroxyde calcium ou au MTA aurait pu engendrer s’il avait échoué compte tenu la taille de l’apex, et que dire du praticien qui se serait aperçu après ouverture de la chambre pulpaire, de la normalité de la pulpe alors même que celle-ci n’était pas en cause dans le problème. En choisissant dépulper ces dents, nous aurions pris le risque inutile de créer une pathologie là où justement il n’y en avait pas (« primum non nocere »).
D’ailleurs, des traitements type chirurgie apicale, ré-implantation ou l’injection d’un produit ayant pour but la consolidation osseuse n’étaient pas non plus indiqués à partir du moment où la pulpe n’est pas en cause et où le temps nécessaire à la cicatrisation osseuse était loin d’être écoulé.

Ceci est d’ailleurs la conséquence de praticiens qui, ignorant l’histo-pathologie des lésions d’origine non dentaire, s’obstinent à voir un problème dentaire là où il n’y en a pas, en traitant des dents innocentes alors qu’elles ne sont pas la cause réelle du problème, mais qu’elles n’en sont que les conséquences. Je ne peux donc que recommander l’étude de ces lésions « étranges » dans un bon bouquin de pathologie buccale qui vaudra toujours bien mieux que mon « blabla ».


L’ablation des améloblastomes était donc largement suffisante dans ce cas précis. C’est la raison pour laquelle il fallait s’abstenir de tout traitement supplémentaire et n’envisager un traitement endodontique sur telle ou telle dent que si, au bout de plusieurs mois, la cicatrisation osseuse n’avait été complète et si les tests de vitalité s’étaient avérés être encore négatifs malgré la disparition des paresthésies.

Ce cas est très intéressant et surtout bien utile car n’importe lequel d’entre vous verra probablement un jour au moins un cas comme celui-ci, statistiquement parlant.

Enfin, pour être tout à fait complet, j’ai lu ici qu’après deux applications de Ca(OH)2, il n’y avait plus de bactéries intra-canalaires. Je m’étonne qu’en 2005, on en soit encore réduit à lire de telles choses sur Eugénol.com alors qu’on sait depuis longtemps que des bactéries intra-canalaires sont totalement résistantes à ce produit, notamment l’E. Faecalis (7,5 % de la flore endodontique des dents nécrosées et 71% des dents ayant subi un échec du traitement canalaire) pour ne citer que celle-ci (grâce en partie à sa pompe à protons). Ceci démontre, s’il en était besoin, que la bonne information passe encore très mal et que la formation continue, obligatoire ou non, individuelle ou non, a encore de beaux jours devant elle.

Merci à tous d’avoir participé à ce cas

Bonnes fêtes de fin d’année et bonne santé


Modérateur

21/12/2005 à 18h42

Vous en connaissez beaucoup des forums où des gens de cette pointure, rédigent une pleine page d'argumentaire ?
Et que cette même pointure prétende avoir été "un étudiant médiocre" chez Shilder en personne.
Merci Yves de ta prestation, et nous espérons vivement te revoir prochainement sur nos ondes.
Et à tous ceux qui se sont remués les méninges, bravo, même si pour certains, pas vrai al, la réponse a été très incertaine.
Et c'est d'un forum pareil, qu'il y en a qui veulent partir. En vers et contre tout !


S8ysxdzhdqgw00w4q6m07a5d47q2 - Eugenol
didier72

21/12/2005 à 18h54

c'est vrai, plein d'informations très intéressantes dans cette participaton de Y. Yana.
Merci beaucoup.


Image19 iebot6 - Eugenol
athos

21/12/2005 à 20h25

tant de bienveillance venant de si haut impose le respect et augmente l'admiration...je serais donc toujours l'eternel étudiant...mais dieu que c'est bon eugenol!!!! nous permettre un tel contact!

que dire d'autre sinon merci, et quitter le garde-a-vous devant l'ecran...


Utilisateur anonyme

21/12/2005 à 21h12

bravo athos tu es le meilleur!!! clap, clap!!!!


Squash u44zd8 - Eugenol
steph

21/12/2005 à 21h35

Ca c'est de la leçon.
Merci pour toutes ces infos, et un bravo particulier à notre lame de plus en plus fine.


1234...