Cookie Consent byPrivacyPolicies.comle dernier millimètre - Eugenol

le dernier millimètre

Takada tihbnw - Eugenol
Maxfan

29/12/2005 à 14h39

bonjour à tous !

J'ai un nouveau problème à vous soumettre:

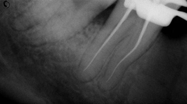
Depuis un mois maintenant, j'utilise l'endomaster de chez EMS, j'obture aux cones calibré et je condense au Mac Spadden.

Dernièrement, je me suis retrouvé confronté à une 47 dont les racines sont relativement tourmentées. (voir radios) Je me suis alors trouvé dans l'impossibilité d'aleser le dernier mm. J'ai utilisé des limes manuelles de diamètre 08, 10 et 15, des protapers neufs en démarrant par le violet, et toujours le même problème. il me manque 1 mm.

J'ai obturé a ce niveau la, car je ne voulais pas forcer de peur de fracturer un instrument, mais je voudrais savoir si vous avez des petits "tours de mains" ou astuces pour me permettre de descendre un peu plus sans pour autant prendre des risques démesurés.

Merci d'avances,


Max,

R1 uf4xkg - Eugenol
R2 s7i2mb - Eugenol
R3 zgm3no - Eugenol

S8ysxdzhdqgw00w4q6m07a5d47q2 - Eugenol
didier72

29/12/2005 à 14h53

Elles sont plus que tourmentées...


Images eb1m5g - Eugenol
tonio

29/12/2005 à 15h59

déjà on peut te complimenter pour ton boulot.

sur la radio préop, on voit nettement le crochet apical qui part en distal. Vu la double courbure, il était difficile de pouvoir atteindre ce crochet. A l'impossible, nul n'est tenu.

Perso, quand je vois ça sur une préop, je ne cherche absolument pas à aller à l'apex en prime abord. Je ne contente d'aléser le mieux possible les 2/3 coronaires, seulement ensuite, je me rapproche de l'apex.
Si tu vas à l'apex en prime abord, que tu butes sur une coudure, puis que tu essaies de rattraper en évasant en coronaire, c'est quand même foutu ou cela devient trés compliqué de la renégocier.

Aprés, il te reste la solution d'irrguer comme un maboule à l'hypo (et de la faire descendre dans le canal avec ta lime) + EDTA liquide pour jouer le role de "destop" et obturer en gutta chaude pour la faire fuser dans la coudure.

ce canal est une indication parfaite pour un thermafil.


Icon poker h4nm2d - Eugenol
jeff

29/12/2005 à 16h39

et si tu peux pousser un peu l'irrigant avec un coup de laser, c'est encore mieux.


Takada tihbnw - Eugenol
Maxfan

29/12/2005 à 18h28

merci tonio ;)

pour le laser, j'ai pas tout a fait le budget, ni la clientèle :p (26% de CMU) lors du dernier relevé d'activité)


Images eb1m5g - Eugenol
tonio

29/12/2005 à 18h33

record battu, je suis monté à 30% avant de redescendre sous la barre symbolique des 20%...


Img 1392 s73srk - Eugenol
Guttaman

29/12/2005 à 21h42

Il se peut que ta lime manuelle butte sur la division de ton canal. Pour réussir à passer dans l'une de ses subdivisions, il faut courber de façon assez abrupte ta lime manuelle dans son dernier mm (différemment donc de la courbure que l'on donne généralement aux limes manuelles, qui est beaucoup plus progressive).
Beau boulot en tout cas.


Takada tihbnw - Eugenol
Maxfan

30/12/2005 à 15h01

J'ai bien essayé de précouder mes instruments manuels, mais peut être pas assez.

Admettons que l'instrument passe la coudure, est il possible de la redreeser afin de fiare descendre un cone de Gutta ?

Tonio, tu parles du Thermafil, que je ne connais pas spécialement, peux tu m'expliquer en quoi il peut être plus interessant dans ce cas d'utiliser cette technique ?
(Le thermafil, c'est bien l'obturation a la gutta chaude avec un tuteur ?)

Max,


Images eb1m5g - Eugenol
tonio

30/12/2005 à 16h33

maxfan,

une fois que tu as réussi à passer cette petite courbure avec une lime, tu peux utiliser un racleur en traction tréééés doucement afin de redresser légérement ta courbure et trés progressivement.


Pour ce qui concerne le thermafill, il est particuliérement conseillé dans les canaux courbes et torturés, là où les thermocompacteurs ne sont pas vraiment indiqués et la technique de schilder plus difficile à mettre en oeuvre.

Reste le probléme du cout du thermafill qui est bien supérieur à celui d'un condenseur. Pas toujours évident à mettre en place avec un tel pourcentage de CMU...

Masi franchement pas d'inquiétude, ton endo a été faite sous digue, tu peux dormir sur tes 2 oreilles.


micara

31/12/2005 à 18h14

Le thermafill fuse partout sous l effet de pression latérale et verticale du tuteur.Cet avantage est aussi son principal inconvénient à mon sens car les dépassements sont difficile à controler.Dans un cas identique au tien Maxfan , il m est arrivé d exercer une pression plus forte sur le Thermafill afin de faire fuser la gutta dans les zones inacessibles à l alésage.Pas eu de problème avec ces endos depuis , mais j ai eu la chance de ne pas avoir eu de canaux latéraux sinon gros dépassements assurés.De plus je me pose la question de l utilité d obturer un canal non alésé..


Icon poker h4nm2d - Eugenol
jeff

31/12/2005 à 20h51

C'est simple, pour un meileur résultat !

On le constate facilement sur les canux latéraux qui entraine une "peche" ( notament sur les incisives central sup, tres frequement ). Ce canal latéral sera juste nettoyé par l'hypochlorite ( surtout avec un laser par effet de pression-dépression ) et obturé par la gutta, ou autre chose si tu veux : résultat, guérison de la lésion, même sans alésage mécanique.

Donc, c'est utile d'obturer les canaux latéraux.