Cookie Consent byPrivacyPolicies.comquicksleeper - Eugenol
PIRET LAURENT

29/03/2006 à 15h02

Hello, j'ai suivi le forum sur quicksleeper 2
et votre annonce a retenu toute mon attention
je suis à la recherche d'un appareil qs2
quel est votre prix pour vous en débarasser?
a bientôt.


Coeur n9py1g - Eugenol
patvat

29/03/2006 à 15h20

JE SUIS ACHETEUR PLUS QUE VENDEUR


didier L

17/06/2006 à 17h47

BRAVO EMMA

maintemant tu dois bien maitrisser le QS et avoir de supers anesthesies pour un travail efficace et sans stress. bravo pour ta perseverance et ton application.

Que disent tes patients?

DIDIER


Pa050055 igyagy - Eugenol
mark

17/06/2006 à 19h00

Quelqu'un pourrait-il ici me rappeler la définition d'un troll? ;)


Coeur n9py1g - Eugenol
patvat

18/06/2006 à 08h40

RAVO EMMA
>
> maintemant tu dois bien maitrisser le QS et avoir
> de supers anesthesies pour un travail efficace et
> sans stress. bravo pour ta perseverance et ton
> application.
>
> Que disaient tes patients? AIE
> maintenant ENCORE



Bagheera tudzjy - Eugenol
bagheerra

24/03/2017 à 10h03

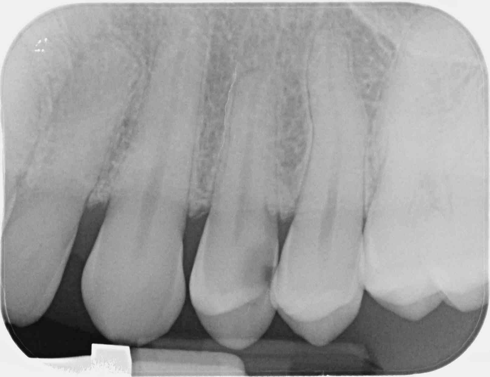
Tiens, une belle nécrose palatine suite à l'endo de cette 24 il y a 15 jours.
Vu la rvg pré-op, je ne pensais pas avoir de difficulté à réaliser une ostéocentrale : j'ai mis 3/4 de carpule à 1/100000 en mésial avec plus de difficulté et moins d'efficacité qu'à l'accoutumée. Je devais être trop palatin. J'ai du compléter en distal, sans souci cette fois.

Dsc 0167 zhjv5c - Eugenol
C1 sltl5z - Eugenol

Bebert.

24/03/2017 à 11h23

Pourquoi faire ce type d'anesthésie au maxillaire où la périapicale classique marche toujours.


Bagheera tudzjy - Eugenol
bagheerra

24/03/2017 à 11h39

Effet immédiat (pulpe + gencive), pas d'engourdissement des tissus mous, pas de "piqûre" ressentie, moins de produit pour plus d'efficacité (sauf exception comme mon cas) sur plus de dents. 99% des patients préfèrent l'ostéocentrale à la périapicale.


Ylfwcw979cz1jnx9gfqeaxndiuzk - Eugenol
Algi

26/03/2017 à 20h28

Pourquoi le QS et pas une paraapicale?

1/ c'est bcp plus confortable pour le patient
2/ c'est bcp plus rapide en haut aussi
3/ ça necessite moins d'anesthesique

Bagheera: 2 choses

1/ 1/4 de carpule suffit dans bien ces cas
2/ faut controler de visu que t'aies pas de blanchiment de la muqueuse quand tu injectes

Dans ton cas tu as pas vérifié la couleur de la muqueuse ou tu as piqué trop haut dans le septum, ou trop prés de la surface à cause de l'inclinaison de l'aiguille et surtout mis trop de produit.

Perso 2 cas de figure: la penetration de l'aiguille est facile, j'injecte 1/4 de carpule car je sais que si je dois en remettre une couche en cours de soin ce sera facile et indolore

l'os est dur, ça bouche, ça casse.... alors là si j'y arrive j'en mets plus, genre une 1/2 carpule car je sais que je pourrai peut être pas y arriver 2 fois

pi y'a des fois mieux vaut reporter, genre "c'est pas le jour", quand c'est possible bien entendu.

J'ai subi moult seances d'acu.... des fois l'aiguille semble comme aspirée par la peau et on sent rien et des fois on a l'impression que le mec te piques avec une aiguille à tricoter émoussée et que ton épiderme est du cuir de rhinoceros et ça fait un mal de chien......

Sur une même séance ou sur une autre la même zone "impiquable" cdevient molle comme beurre et vice versa


--
L’extrémisme est le culte sans la culture ;
le fondamentalisme est la croyance sans la connaissance ;
l’intégrisme est la religiosité sans la spiritualité.

On a toujours le choix mais entre quoi et quoi?
Vas-y boulégue et l'avenir te le dira!


Ylfwcw979cz1jnx9gfqeaxndiuzk - Eugenol
Algi

26/03/2017 à 20h31

Question con: pourquoi l'endo? la carie semble pas si profonde....



--
L’extrémisme est le culte sans la culture ;
le fondamentalisme est la croyance sans la connaissance ;
l’intégrisme est la religiosité sans la spiritualité.

On a toujours le choix mais entre quoi et quoi?
Vas-y boulégue et l'avenir te le dira!


Generique fraisage r2rxmm - Eugenol
lardonbis

27/03/2017 à 08h46

Algi écrivait:
--------------
> Question con: pourquoi l'endo? la carie semble pas si profonde....


tu bosses en France ? :)


Bagheera tudzjy - Eugenol
bagheerra

27/03/2017 à 08h49

Merci pour les conseils,
- effectivement je ne vérifie jamais la couleur de la muqueuse palatine, c'est un tort (surtout avec du 1/100000),
- je ne suis pas un rapide en endo, donc 1/4 de carpule me paraissent juste. Avec la digue, ça m'embête de devoir remettre du produit,
- endo car dent symptomatique et j'ai écorné en curetant.


Avatar transparent iqadnc - Eugenol
adhoc

27/03/2017 à 10h02

Bagheerra, je ne comprends pas trop, ton point d'injection rotative etait coté palatin ou vestibulaire?


Ylfwcw979cz1jnx9gfqeaxndiuzk - Eugenol
Algi

27/03/2017 à 10h56

@lardonbis: chicot sort de ce corps! Oui je bosse en France et non je suis pas adepte de laisser mûrir les caries ou faire d'entrée de jeu IC/coiffe pour rentabiliser...

Je sais je suis con et de gauche.

Je sors.


--
L’extrémisme est le culte sans la culture ;
le fondamentalisme est la croyance sans la connaissance ;
l’intégrisme est la religiosité sans la spiritualité.

On a toujours le choix mais entre quoi et quoi?
Vas-y boulégue et l'avenir te le dira!


Generique fraisage r2rxmm - Eugenol
lardonbis

27/03/2017 à 11h05

Algi écrivait:
--------------
> @lardonbis: chicot sort de ce corps! Oui je bosse en France et non je suis pas
> adepte de laisser mûrir les caries ou faire d'entrée de jeu IC/coiffe pour
> rentabiliser...
>
> Je sais je suis con et de gauche.
>
> Je sors.


je rigole hein :)
moi je rentabilise rien, je travail au feeling, c'est la fraise qui va ou elle veut. A la fin si c'est rouge je fore, si c'est blanc je bouche, si c'est rose: pile ou face :) c'est ça le sens clinique non ?


Ylfwcw979cz1jnx9gfqeaxndiuzk - Eugenol
Algi

27/03/2017 à 11h55

Moi pareil.....

Et sinon: "con" je pense c'est trop tard

"de gauche" va falloir réfléchir....


--
L’extrémisme est le culte sans la culture ;
le fondamentalisme est la croyance sans la connaissance ;
l’intégrisme est la religiosité sans la spiritualité.

On a toujours le choix mais entre quoi et quoi?
Vas-y boulégue et l'avenir te le dira!


Bagheera tudzjy - Eugenol
bagheerra

27/03/2017 à 13h36

adhoc écrivait:
---------------
> Bagheerra, je ne comprends pas trop, ton point d'injection rotative etait coté
> palatin ou vestibulaire?

Le point d'injection était bien vestibulaire, mais à la fin du forage l'extrémité de l'aiguille s'est sans doute retrouvée trop palatine, au-delà du spongieux.


1...45