Cookie Consent byPrivacyPolicies.comreprise de traitement endodontique: R-endo , Protaper ? - Eugenol

reprise de traitement endodontique: R-endo , Protaper ?

Martin001

03/01/2006 à 15h44

En premier lieu bonne année à tous.

Je serai interessé de connaître vos avis sur les différents systèmes de rotation continue utilisés dans le retraitement endodontique.
Par ailleurs quels types de solvants utilisez vous?

Merci.


Takada tihbnw - Eugenol
Maxfan

03/01/2006 à 16h13

Protaper usagés pour démarrer, avec He d'eucalyptus pour desobturer la gutta.
Puis séquences "classiques" une fois les difficultés atteintes.

Le R-Endo parait interessant, mais je pense qu'il faut un contre angle spécial


Martin001

03/01/2006 à 16h18

Oui il s'agit d'un contre angle réducteur différent dans le cas du R-endo; j'ai eu l'occasion de l'utiliser je dois dire qu'il est très interessant.
Il me semble qu'un nouveau système de rotation continue par Maillefer doit sortir. Etes vous au courant?


Images eb1m5g - Eugenol
tonio

03/01/2006 à 16h27

http://www.eugenol.com/eugenol/read.php?8,118660


cas traité au protaper en séquence inversée au début puis séquence normale.
Pour moi, il n'y a pas photo.

Me suis servi du R endo pendant quelques mois, le CA est dans le tiroir maintenant...
Le seul avantage indéniable par rapoort à protaper, c'est qu'il est absolument incassable même en forçant comme un bourrin. Ceci dit, si tu géres bien tes limes avec protaper, le risque de casse est trés faible.

solvant: obtulyse de biodica. il marche pas mal.


Images eb1m5g - Eugenol
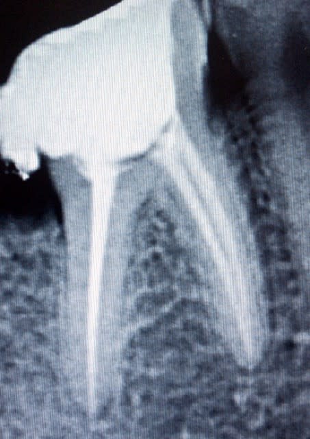
tonio

03/01/2006 à 16h32

Ci joint une RX post op d'une reprise de traitement que j'avais fait au R endo il y a 1 an 1/2.

Rdiologiquement, c'est correct mais c'est tout.

P.S: au dessus, c'est du cavit... je précise...

46postop pwv5ze - Eugenol

Takada tihbnw - Eugenol
Maxfan

03/01/2006 à 16h33

Martin001 Ecrivait:
-------------------------------------------------------
> Oui il s'agit d'un contre angle réducteur
> différent dans le cas du R-endo; j'ai eu
> l'occasion de l'utiliser je dois dire qu'il est
> très interessant.

Alors je ne pourrais l'essayer, je viens de faire l'acquisition de l'endomaster, ce n'est pas pour acheter un CA derrière ;)


Martin001

03/01/2006 à 17h14

que penses tu de l'endomaster??


Takada tihbnw - Eugenol
Maxfan

03/01/2006 à 17h22

J'en suis plus que content. Il ne me permet pas encore de supprimer la radio lime en place car je préfère encore vérifier la longueur de travail calculée avec le localisateur d'apex, mais il me semble très fiable (je n'ai pas encore eu de surprises apres plus de 50 endos).
Le moteur est interessant, surtout le contrôle du couple et le retour arrière.

Par contre l'ergonomie est a revoir, les cordons ont vite tendance en s'entremeler et s'entortiller, par contre l'absence de pédale est appréciable.

Bref, que du positif, je n'ai cassé qu'une seule lime en 50 endos, que j'ai d'ailleurs récupérée. toutes mes endos sont radiologiquement a l'apex, aucun dépassement n'est a déplorer pour l'instant.

Je trouve même que le localisateur d'apex est plus fiable que ce qui est inscrit dans la documentation car il marche même dans la plus part des cas de retraitement ainsi que sur les dents infectées.

Bien sur il faut irriguer abondamment, etre étanche (digue recommandée) et ne pas mettre la charrue avant les beufs et bien respecter le protocole fourni.


Audi tt 2007 jzsdts - Eugenol
sbire

03/01/2006 à 20h23

pour ma part, j'aime bien le r-endo pour desobturer mais que le noir et le rouge(le 2° et 3°instrument). apres sequence hero (inget) avec le même CA ou protaper fonction des cas.


Stéphane

04/01/2006 à 16h32

"fonction des cas".... Quelle fonction ? quel critère de choix ?


Stéphane

04/01/2006 à 16h35

Maxfan Ecrivait:
-------------------------------------------------------
> Protaper usagés pour démarrer, avec He
> d'eucalyptus pour desobturer la gutta.
>

Surtout pas !

Pour désobturer utilisation de finishers courts (21mm) en séquence inversé. F3, puis F2, puis F1. Utilisation tant qu'il y a du ciment sur les instruments. Quand ce n'est plus le cas, passer à l'instrument suivant.

Recherche ensuite de la perméabilité canalaire avec des instruemnts manuels en acier (Limes C+ par exemple, car elles présentent une pointe à 4%, ce qui leur confère une "rigidité de pointe" intéressante en rttt.


ben

06/01/2006 à 20h07

"Cent fois sur le métier......"


iceman

06/02/2006 à 21h33

Bsr

Essaye le nouveau MTWO de dentsply. idéal pour le retraitement


Pa050055 igyagy - Eugenol
MARK

06/02/2006 à 23h14

Reçus mardi, pas déballés.
Demain je monte une nouvelle séquence et j'essaie!
Jusque là très satisfait des Endomaster.

Rappel:
Au moindre arrêt de la progression, je passe en manuel avec toute la batterie de produits solvants et chélatants, que j'adapte au matériau rencontré.
Le meilleur outil en la matière, je le crains, c'est la patience...


Grueavatar nptrc9 - Eugenol
Le Choixpeau magique

07/02/2006 à 10h28

Est-ce que quelqu'un pourrait m'expliquer la logique de l'utilisation des protaper en séquence inversée ? Sachant que les Finisher ont la cônicité maximale à la pointe, je suppose qu'il doit y avoir un effet poignard, mais aussi un risque maximal de blocage, non ? Quand on sait que lors d'un retraitement on ne sait jamais trop ce qu'on va trouver, n'est-ce pas un peu paradoxal ?


Pa050055 igyagy - Eugenol
MARK

07/02/2006 à 15h03

Je n'ai pas l'expérience du Protaper, mais avec les Flexmaster je procède ainsi:
- selon l'appréciation du diamètre de la préparation à retraiter, j'attaque (le mot est un peu fort, en l'occurence) à 6%, à iso 30, 25 ou 20.
- dès l'arrêt de la progression "naturelle" de l'instrument, je réduit le shape (4%) dans le même diamètre iso.
- à la résistance suivante, je "tente" un Iso inférieur, mais à ce stade on n'avance plus
- je passe alors en instruments manuels
- ultérieurement, je recours le cas échéant (racines longues et/ou courbes aux 2% seulemnt après redressement des accès et tiers supérieurs des canaux) aux 2% pour la nettoyage des parois canalaires.

Cela en irrigation permanente et nettoyage des instruments à chaque retrait, notamment à la moindre vibration de l'instrument, même en déscente apparemment libre (pour moi vibration = encrassement des sprires et effort latéral dangereux!)

Le solvant est adapté au produit supposément identifié de l'obturation à reprendre.