Cookie Consent byPrivacyPolicies.comvotre avis sur ce cas - Eugenol

votre avis sur ce cas

Amibien

08/01/2006 à 21h24

on ne voit pas grand chose, mis-à-part les pêches sur les endos molaires du bas...


ksousou6

08/01/2006 à 21h33

Non je suis désolé ,pas de cd avec le scanner .je vais éssayé de reprendre les photo , les amélioré et les poster de nouveau .soyez patients avec moi , c'est la premiere fois que je fais cela .

a plus tard.


Avatar ow44t3 - Eugenol
Chicot

09/01/2006 à 08h57

ksousou6 Ecrivait:
------------------------------------------------------
> , c'est la premiere fois que je fais cela .


c'est normal, la première fois c'est toujours comme ça, t'inquiète pas .......



;)



Amibien

09/01/2006 à 13h02

Nous sommes patients, il n'y a pas de mal...


ksousou6

09/01/2006 à 15h24


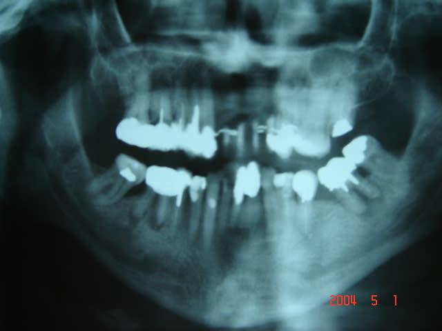
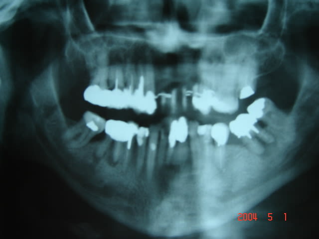
voici la pano ,enfin un peu améliorée..!

Imagerie ghomrani 001 zhbb4t - Eugenol
Imagerie ghomrani 001 seheqa - Eugenol

ksousou6

09/01/2006 à 15h28


et le scanner .

Imagerie ghomrani 002 mjfu7r - Eugenol

ksousou6

09/01/2006 à 15h30


la suite .

Imagerie ghomrani 003 k220cu - Eugenol

ksousou6

09/01/2006 à 15h33


il reste 2images.

Imagerie ghomrani 004 b5ulbb - Eugenol

ksousou6

09/01/2006 à 15h34


la derniere .


ksousou6

09/01/2006 à 15h35


pardon .

Imagerie ghomrani 006 df3v7t - Eugenol

ksousou6

09/01/2006 à 15h42


je devais prendre des photos cliniques ce matin , le patient a télephoné pour reporter son rdv a samedi . donc je posterai les photos cliniques samedi.


Avatar ow44t3 - Eugenol
Chicot

10/01/2006 à 00h19

et sur les molaires inf, tu fais quoi ?


Amibien

10/01/2006 à 01h37

Cher Ksousou6,

je ne veux pas discuter pas sur ta greffe bien que sur un site avec une seule paroi osseuse pour l'apport sanguin je n'aurais pas procédé de la même façon...

j'ai quand même l'impression que tu y es allé un peu vite pour te lancer dans ce type de traitement alors qu'il y a tellement de problèmes endodontiques et parodontaux concommittants...

il aurait mieux valu éradiquer toutes ces infections chroniques et se donner le temps de voir si tous les piliers sont récupérables, ce dont je doute, et de se retrouver devant un nouveau bilan dentaire et parodontal plus sain et plus serein surtout avant de décider de greffer...

dans ce type de réhabilitation il y a un aspect financier qui risque de jouer le trouble-fête, tu as lancé la carte implanto un peu vite, même si c'est une bonne carte, car tu es dans l'obligation de démonter les anciennes obturations, de réviser les endos et d'obtenir une guérison osseuse au niveau des pêches, de revoir l'occlusion, de traiter le parodonte, ce qui est loin d'être gagné, et que feras-tu si tu n'y arrives pas ? tu me donnes l'impression d'avancer dans le brouillard et le risque est grand que le patient te lâche en cours de route !!! il vient d'ailleurs de repousser un rendez-vous important de plus de cinq jours...

déjà que de réussir la partie implanto quand toutes les conditions préalables sont remplies, mais là tentes une greffe difficile dans de mauvaises conditions, tu dis que la fermeture laisse à désirer et que ton patient reporte déjà un rendez-vous de contrôle capital ?

le succès de la greffe et la perennité des implants que tu vas y poser ensuite dépend de bien plus que de la valeur du site concerné et de la qualité de la cicatrisation osseuse...

si je voulais blaguer je dirais que tu ne dois pas t'inquiéter, ce ne sont pas les sutures qui vont lâcher mais bien ton patient...

sa bouche est comme une plaie infectée, que dis-je c'est une plaie infectée, la première action à envisager est une mise-à-plat et rien d'autre...

je ne suis pas parfait, je n'ai pas toujours été conscient de tous ces détails aussi je prends la peine d'attirer ton attention sur cette façon de voir les choses...

mes amitiés...


ksousou6

10/01/2006 à 13h09


je suis totalement d'accord avec ce que tu dis amibien . avant de commencer le traitement , j'ai éxpliquer au patient qu'il y avait tellement de choses a faire et qu'il fallait établir un plan de traitement qui durerait dans le temps . on a eu plusieurs entretient avant de commencer . sur la pano je lui ai montré tout ce qu'il fallait faire. le patient étant en mission permanante a l'étranger il m'a fait savoir qu'il avait déjas son dentiste traitant qui allait s'occupé des autres problemes . en venant me voir , ses désirs etaient clairs ,il ma dit que a DUBAI il n'y a pas de praticiens qui font de l'implanto. donc sa priorité en venant chez moi c'etait la réhabilitation de son prémaxillaire. quand au repport de son rdv , il etait justifié . le probleme est : dois-je le laisser partir pendant 2 semaines au que les choses s'aggravent? sachant que a 18 jours post-op la situation est stable.
ps: j'ai gardé chez moi sa prothese provisoire.

cordialement.


alhoun

10/01/2006 à 14h40



je connais PERSONNELLEMENT trois implantos exclusifs à dubaï, sans compter les omnipraticiens qui en posent.
des implants.

mais ton patient semble être spécialiste de la pose.... de lapins.

quelque chose cloche là-dedans...

fallait pas commencer!


Avatar ow44t3 - Eugenol
Chicot

10/01/2006 à 15h36

Pour une fois je suis d'accord avec Amibien et Alhoun ;)


Bizarre, vous avez dit bizarre, comme..........


ksousou6

10/01/2006 à 19h42


cher alhoun ,je t'explique . Le patient est quelqu'un qui bosse pour une compagnie pétroliere , d'apres ce qu'il ma dit il dirige une plate-forme d'extraction en pleine mer. il est de service 18 heures par jour pendant 3 semaines. apres cela il a une perm de 4 semaines qu'il passe ici a Alger avec sa famille. cela pur vous dire qu'il n'a pas du le temps de rester a dubai. son probleme le + urgent est d'ordre esthetique . je lui ai expliqué en détail le plan de traitement adéquat pur son cas :EXO -36-37 -46-47 .la 16 je l'ai dejas virée la semaine derniere avec sa coiffe sur screw-post. il est prévu de placer un implant ce niveau.
41-42-43 aussi a éxtraire .
reprendre le traitement endodontique de 35.

il est tout fait d'accord sur la coherence du plan de traitement. mais ce qui le préoccupe le plus c'est le coté esthetique.(probleme de communiction vec le perconnel)
je suis persuadé que une fois regle ce probleme . nous irons vers le plan de
traitement proposé.

A+ .


alhoun

10/01/2006 à 20h12

mais je ne discute pas tout ça, je suis sûr que tu as établi un plan de traitement cohérent. là n'est pas le problème.
le problème il est dans le fait que tu as fait un très gros compromis sur ton plan de traitement pour une raison esthétique. eh bien, personnellement, je lui aurais fait un stellite provisoire pour son problème esthétique.
le deuxième problème: tu vas galérer avec ce type,et j'espère sincèrement me tromper, parce qu'il ne sera jamais là quand il faut, parce qu'il y a une marrée noire, le feu, qu'il faut aller détruire un astéroïde, ou que sais-je encore.
il est quand même plus présent sur son lieu de travail qu'à la maison, et ça c'est compliqué à gérer.
autre problème: il est arrivé chez toi dans un état tchernobylesque: tu n'as absolument pas le temps de mesurer sa motivation, son assiduité, à mon avis, tu t'es lancé trop vite.
et, laisse moi parier: le patient est fumeur?

j'espère que tout ce que j'ai écrit est du radotage et que tout se passera bien.
courage.
@++


Image19 iebot6 - Eugenol
athos

10/01/2006 à 21h49

oui, ce qui t'inquiète en fait c'est qu'il fume sur une plate forme petrolière ...mais rassure toi alhoun, il est loooooin....


ksousou6

11/01/2006 à 17h40


le patient n'ast pas fumeur . samedi je vous enverrai des photos du cas, je vous tiendrai au courants des prochaines évolutions.

merci pour votre ccooperation et vos conseils.je pense que le but de ce forum c'est cela .

a plus tard.


Amibien

11/01/2006 à 19h50

Fais gaffe quand même le jour où tu poses de ne pas faire jailir du brut...


Gesthinanna

12/01/2006 à 11h53

Vous pouvez me aider pour implants poser ? Merci.


alhoun

12/01/2006 à 12h03

plaisir avec c'est.


Gesthinanna

12/01/2006 à 13h14

Je suis peinée d'avec mon français mais je demande pour être excusée. Je suis pas toujours habituée avec votre langue. Cela venir avec le temps, j'espère.


Amibien

12/01/2006 à 13h23

Vas-y ptite nana, livre-nous tes ennuis...