Cookie Consent byPrivacyPolicies.common premier...all on 4.... - Eugenol

mon premier...all on 4....

Avatar ow44t3 - Eugenol
Chicot

11/02/2006 à 15h52

carole Ecrivait:
------------------------------------------------------
> bon, mon prochain all on 4 sera avec nobel
> guide....promis... vous aurez les photos ;)
>
>


chouette des photos de Carole ;)


Image19 iebot6 - Eugenol
athos

11/02/2006 à 16h01

pourvu qu'elle sautille pas trop...


Amibien

11/02/2006 à 16h03

Je n'ai rien à t'opposer Carole, tu es la meilleure de toutes et tous...

Mis à part les cart sur MDI où là c'est systématiquement en mise en charrge immédiate et succès total sans jamais aucune perte, mais c'est aussi avec guide chir à contact osseux et il y a appui muqueux plus connection par l'intermédiaire d'O-ring, c'est pour moi du semi fixe, si tu mets six ou sept MDI le confort masticatoire est terrible...


Logo vuaztn - Eugenol
mac

11/02/2006 à 21h14

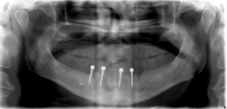
une mise en fonction immédiate à la mandibule sur 5 implants symphisaires astra, pas de recul parce que c'est frais de la journée.

mon correspondant a mis les implants et je me suis occupé de la prothèse.

rebasage de la prothèse totale provisoire sur des cylindres provisoires en titane connectés aux piliers défintifs avec suppression des extensions.

il était prévu de faire les empreintes pour le définitif dans la foulée mais comme on avait faim, je prendrais les empreintes le jour de la dépose des points.

voilou.


024 vownvo - Eugenol
annie

11/02/2006 à 23h17

bon appétit


carole

13/02/2006 à 15h49

Bon...pour me faire pardonner les coté très casse-pied des images 1 par 1....voici le recap des images...

la qualité des images est bien moindre cause compression jpeg...mais la lisibilité est bien meilleure ;)

Ginette recap efbcap - Eugenol
Image1 rivs0r - Eugenol
Image3 jvcohq - Eugenol

Image19 iebot6 - Eugenol
athos

13/02/2006 à 15h57

elle etait contente dame Ginette ?
bon j'imprime et je classe dans le dossier idoine, a potasser...


gerard

14/02/2006 à 09h31

salut carole, j'ai posté un cas en aout 05
protocole DIEM de 3i (technique telechargeable sur site 3i) a la mandibule.
début chir 9h patient sorti du cab avec quenottes a 14h avec pt transvissée sur 6 impl.
pas de guide type malo mais la prothese et le scan ; conseillé 05 implants +extension distale .
a mon sens plus simple pt de vue axe que systeme malo(-prix?)
j'ai vu malo a vegas et son approche en vaut d'autres attendons le recul clinique que je n'ai pas pour critiquer...bonne journée a tous


carole

14/02/2006 à 19h45

cas de gérard...
http://www.eugenol.com/eugenol/read.php?2,83335,83400#msg-83400


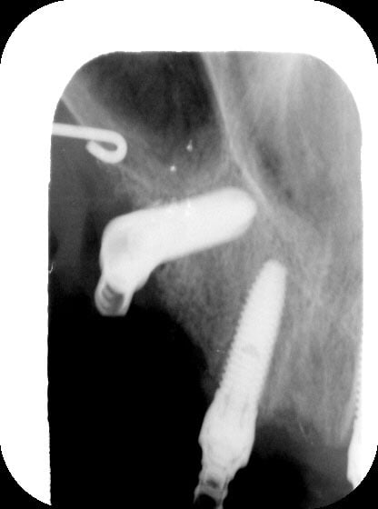
rrhhh..tu aurais pu reposter la photo, j' ai galéré pour la trouver!!!!

au fait, gérard, as tu d' autresphotos de ton, cas??? pano? rx? avant/après? ....c' est un cas qui doit interesser bcp de monde ici! as-tu fait d' autres cas depuis? quid de ton impl en nourrice? ....


carole

14/02/2006 à 19h46

oups, la photo de gérard...

http://www.eugenol.com/eugenol/file.php?2,file=2704


Avatar ow44t3 - Eugenol
Chicot

14/02/2006 à 20h28

carole Ecrivait:
-------------------------------------------------------
> oups, la photo de gérard...
>


oui les doigts de Gérard ;)


carole

15/02/2006 à 21h13

cicat à J15 ap depose des pts...

Img 1959 k4l2ka - Eugenol

Squash u44zd8 - Eugenol
steph

15/02/2006 à 21h51

Très propre, beau travail, la gencive à ginette te dit merci.


gerard

16/02/2006 à 08h05

carole Ecrivait:
-------------------------------------------------------
> oups, la photo de gérard...
>
> http://www.eugenol.com/eugenol/file.php?2,file=270
> 4
désolé carole, je porte toujours des gants, c'est pas moi nananaa...;)))
bref plus serieusement, ce cas est maintenant en pilotis fini avec des contacts juxta muqueux , pas de pb de nettoyage(j'espère qu'il se lave mieux les ongles depuis...),dès que j'ai des photos je poste,promis.
j'ai en cours un complet immédiat sup sur 10 implants mais pas de photos because chir au bloc pour la sté ,pas évident.
pour ceux que la technique du all on 4 '"irrite", je recommande de taper "hong kong bridge protocol" sur PubMed et les "related articles" et vous aurez une idée des milliers d'articles sur la mise en charge immédiate...
tout ca pour arriver a l'idée que Malo n'a fait "que" suivre la voie des anciens et que son idée fera surement comme le branemark novum son chemin.
bonne journée a tous


Pébé.

02/03/2006 à 21h50

Salut Carole,

je n'étais pas venu sur le forum depuis qq mois,et je viens de découvrir ton All-on-4.
Très beau cas et bravo pour la performance.

Je voudrais te poser qq questions:
1- Le guide All-on 4 est-il vraiment indispensable?puisque l'axe des implants distaux est donné par le tracé après sondage du sinus. D'autre part,il me semble que sa présence doit encombrer le site.

2- Si j'ai bien vu, tu as positionné les 2 implants antérieurs dans les alvéoles des dents extraites. Est-ce que tu as comblé le vide avec de l'os de forage ou un matériau de comblement avant de fermer?

3- Je suppose que si tu n'a pas mis d'emblée des piliers MU angulés à 17° sur les implants antérieurs, c'est probablement parce que tu n'en avais pas sous la main.

4- Est-ce que tu visses la prothèse provisoire sur les 4 piliers à 35N/cm? (il est bien entendu que les piliers angulés sont vissés à 15N/cm).

5- Combien de temps comptes-tu attendre pour la confection de la prothèse définitive?

6- Quels honoraires pour ce type de travail?tout compris : pose des implants, des piliers , de la prothèse provisoire et de la prothèse définitive (tout résine ou sur armature Procéra titane).

Moi aussi, je fais des All-on-4 avec mise en charge immédiate, mais ma technique est + modeste (MDL intra-lock).


Pébé.

02/03/2006 à 21h53

.


carole

03/03/2006 à 00h08

Pébé. Ecrivait:
-------------------------------------------------------
> Salut Carole,
>
> je n'étais pas venu sur le forum depuis qq mois,et
> je viens de découvrir ton All-on-4.
> Très beau cas et bravo pour la performance.

merci ;)



> Je voudrais te poser qq questions:
> 1- Le guide All-on 4 est-il vraiment
> indispensable?puisque l'axe des implants distaux
> est donné par le tracé après sondage du sinus.
> D'autre part,il me semble que sa présence doit
> encombrer le site.

en fait, mon trait représente la paroie ant des sinus... ensuite, le guide me ..."guide" pour me donner une idee de l' angle avec lequel anguler le foret de 2. le reste...c' est du feeling...


>
> 2- Si j'ai bien vu, tu as positionné les 2
> implants antérieurs dans les alvéoles des dents
> extraites. Est-ce que tu as comblé le vide avec de
> l'os de forage ou un matériau de comblement avant
> de fermer?

si tu regardes les premières photos...tu verra que j' ai enlevé bcp d' os alvéolaire au niveau du site extractionnel. Je l' ai fait à la pince gouge, en récupérant précieusement les copeaux ds du serum... point de biomat;) il y en avait largement assez pour combler l' alvéole vacante et les hyatus. Mais après la regul de crete, les hyatus sont faibles....


>
> 3- Je suppose que si tu n'a pas mis d'emblée des
> piliers MU angulés à 17° sur les implants
> antérieurs, c'est probablement parce que tu n'en
> avais pas sous la main.

;) vi... et c' est hors protocole... 2 bonnes raisons ;) ...mais ilsseront là pour la définitive... et ils nous auraient simplifiés la tache....enfin, c' est un cas assez limite pdv angulation du max antérieur....avec une crète trèèès fine....


>
> 4- Est-ce que tu visses la prothèse provisoire sur
> les 4 piliers à 35N/cm? (il est bien entendu que
> les piliers angulés sont vissés à 15N/cm).

j' ai vissé la prov à à 20 N Cm-1. (MU droits à 35 et angulés à 15 ;)

>
> 5- Combien de temps comptes-tu attendre pour la
> confection de la prothèse définitive?

1: primum pas d' excitation et raison gardee, nous sommes à 4 sem post op seulement...et meme si tout est parfait pour le moment, la consolidation n' est pas encore là. j' attends avec impatience le ctrl à 3 mois.

2: nous allons faire un all on 4 mandibulaire en antagoniste dans 3 mois... ça fait pas mal de sous tout ça, alors, les defénitives seront faites probablement 12 mois ap pose, sf si casse et re casse qui casse les pieds ;)

>
> 6- Quels honoraires pour ce type de travail?tout
> compris : pose des implants, des piliers , de la
> prothèse provisoire et de la prothèse définitive
> (tout résine ou sur armature Procéra titane).

le prix svt pratiqué pour l' étape 1, c' est à dire jusqu' à l pose du provisoire est de ... je dois le dire sur le forum??? oups...bon, si vous le demandez, je le met, mais je ne voudrais froisser personne...ensuite, je vous dirai combien je prends. Pour cette patiente, c'est autre chose, je lui ai fait prix coutant car elle est adorable et c' était mon premier.


>
> Moi aussi, je fais des All-on-4 avec mise en
> charge immédiate, mais ma technique est + modeste
> (MDL intra-lock).

yes! on va échanger nos expériences! tu as des photos??? pourquoi ne pas avoir posté avant? es-tu allé à lisbonne????

à quand remonte ton premier cas?
quelles complications as-tu déjà rencontré?
comment gères-tu quand il reste quelques dents? exo-implantation immédiate ou différée???
n'es tu pas tenté par le nobel guide???

cool!
>
>



Amibien

03/03/2006 à 00h19

La Carole est partie comme une fusée...

Bravo !!!!!!!


Pébé.

03/03/2006 à 21h25

Du calme... du calme... Carole, c'est vrai que tu pars au 1/4 de tour!!
J'ai précisé qu'il s'agissait d'une technique beaucoup + modeste : Il s'agit de la mise en place de 4 mini-implants (les MDL sont des mini-implants de 2mm de diamètre) avec mise en charge immédiate de la prothèse complète. C’est donc aussi du All-on-4 ou plutôt du All-on « FOUR » comme dirait Amibien. C'était une petite plaisanterie de ma part, mais je pense qu'Amibien avait compris, puisque je crois savoir qu'il pratique aussi cette technique. Le sujet sur les mini-implants a d'ailleurs déjà été abordé sur le forum.
Certains considèrent que ce n'est pas de l'implantologie parce que la mise en place est transmuqueuse et qu’il n’y a pas vraiment de chirurgie (que dire alors du Nobel Guide!!?).
J'ai traité une petite dizaine de cas (tous à la mandibule), et les résultats sont étonnants, et les patients ravis.


Pébé.

04/03/2006 à 15h52

Ci-joint qq images de mon dernier petit All-on-"FOUR" qui date de la semaine dernière.

P1000812 gqllw9 - Eugenol
P1000663 t3yc0w - Eugenol
P1000816 mchm9u - Eugenol
009 fx01gm - Eugenol

024 vownvo - Eugenol
annie

04/03/2006 à 16h37

on m'a rétorqué un jour sur ce forum que ces mini implants n'étaient réservés que pour stabiliser des prothèses complètes
j'essaie de comprendre pourquoi on ne pourrait les utiliser pour un stabiliser un stellite par exemple présentant une édentation postérieure?
leur utilisation n'est elle réservée que pour les parties antérieures des maxillaires?


Amibien

04/03/2006 à 17h33

Tu peux mettre ces implants partout où il y a de l'os, tu peux exploiter toutes les zones possibles sans crainte, le but du jeu étant de parvenir à les poser parallèles pour que la prothèse puisse entrer selon un seul axe d'insertion...

C'est très facile à réaliser avec le simplant planner...

Bravo pébé, tu aurais pu aussi mettre six ou huit implants et le résultat est alors vraiment béton...


024 vownvo - Eugenol
annie

04/03/2006 à 17h52

donc on pourrait les utiliser pour stabiliser les stellites avec édentation postérieure,en mettant par ex les parties femelles dans l'intrados des dents ,pour avoir une hauteur suffisante?


Pébé.

04/03/2006 à 18h27

Ces mini-implants sont destinés avant tout à stabiliser une prothèse complète inférieure. Il est probablement possible de faire la même chose au maxillaire, mais je n'ai pas encore essayé (l'os étant moins dense, je pense que c'est + risqué), et puis la demande des patients concerne surtout le bas. La zone la + favorable en densité et en volume, c'est évidemment la synphyse (dans la majorité des cas, on utilise des implants de 15mm de long dont 13mm intra-osseux).
Mais comme le dit Amibien, on peut en mettre partout où il y a de l'os. Alors pourquoi pas dans les zones postérieures pour stabiliser un stellite, mais dans ce cas un scan est indispensable, et je pense qu'il faudrait en placer au moins 2 de chaque coté en raison des forces masticatrices importantes à ce niveau.
C'est peut-être à essayer, mais ça me laisse un peu perplexe concernant la pérénité de cette construction.
Quand au nombre de mini-implants pour stabiliser une prothèse inférieure, la rétention est déja très importante avec 4 implants; alors pourquoi en mettre 6 ou 8 compte tenu de la difficulté à les paralléliser.


024 vownvo - Eugenol
annie

04/03/2006 à 18h49

donc si j'ai bien compris ce n'est pas un problème technique vite résolu,mais une résistance insuffisante du système par rapport aux forces exercées en postérieur


1234...