Cookie Consent byPrivacyPolicies.common premier...all on 4.... - Eugenol

mon premier...all on 4....

Avatar ow44t3 - Eugenol
Chicot

15/09/2006 à 15h53

carole Ecrivait:
-------------------------------------------------------
> steph Ecrivait:
> --------------------------------------------------
> -----
> > L'écarteur.
>
>
> and the winner is.... lol
>
>
> viiii, c' est l' ecarteur kerr, tiptop
> pratique...stt quand on n' a pas de cottons
> salivaire...c' est + qu' un ecarteur photo, ça
> sert bcp ds les cas antérieurs qd on monte des
> compo tests sans digue ou plein d' autres choses
> fun!
>
> mais heuuuu... ne me dites pas que ces boudinous
> vous font plus parler que le reste... vous zettes
> pas très curieux du resenti chir, de la technique,
> de la patiente... ben alors, zettes encore en
> wacances zou koa????


Zont l'air quand même top tes écarteurs :O)




carole

16/09/2006 à 19h21

suites op: douleurs moderees, oedeme moderé...
pas de douleur implantaires...


Image 4 lrchtq - Eugenol
Alain

18/09/2006 à 00h00

dis-donc, carole, j'ai revu tes belles photos. Pour les piliers postérieurs au maxillaire, ce sont des MUA angulés que l'on voit? Tu parviens à les visser à quel couple?


carole

18/09/2006 à 20h03

cf docs: droits 35 new et angulee 15 newton...why?


Image 4 lrchtq - Eugenol
Alain

19/09/2006 à 01h23

passeque... je trouve que 15 c'est pas bézef, et que, vu la faible longueur de la tête de vis et donc la faible profondeur de l'empreinte hexagonale qui reçoit le tournevis, on ne peut pas serrer plus sans que le tournevis ne "saute".

ils ne sont pas antirotationnels les MUA angulés, non?

j'ai la trouille des dévissages.


carole

19/09/2006 à 01h31

met du frein filet ;)

vi, y sont pas anti tourni....enfin, dans ce cas, au maxillaire, ils le sont car tech tradi, mais à la mandib, avec le nob guide, ils ne le sont pas...

et 15, sans cone morse, c' est pas mortel, mais je n' ai pas eu de pb encore...mais c' est tout neuf quand meme... faut demander à paolo ;)


Image 4 lrchtq - Eugenol
Alain

19/09/2006 à 01h45

merci carole!


Avatar ow44t3 - Eugenol
Chicot

19/09/2006 à 10h00

carole Ecrivait:
-------------------------------------------------------
> met du frein filet ;)
>

et si ta tête de vis péte, comment tu fais pour retirer la vis sans destroy le pas de vis ? T'es bonne pour changer le multiunit non ?


carole

19/09/2006 à 11h15

Chicot Ecrivait:
-------------------------------------------------------
> carole Ecrivait:
> --------------------------------------------------
> -----
> > met du frein filet ;)
> >
>
> et si ta tête de vis péte, comment tu fais pour
> retirer la vis sans destroy le pas de vis ? T'es
> bonne pour changer le multiunit non ?
>


cétédelhumourmonchicot ;) lol
tété mal réveillé ou quoi????


carole

19/09/2006 à 15h46

je viens de revoir ginette la star ;) qui va très bien, mais qui a senti une belle fatigue en post op...et qui n' a pas bien vécu le Birodogyl...vivement les chir avec des implants badigeonnés d' antibio pour éviter le per os et les soucis d' intolérance de ma ginette ;)

suites du petit lambeau: ça avait un tout petit peu jaunis en sous génien

donc, en comparant au haut... rien de fou pdv suites op car le haut n' avait pas fait mal non plus...
par contre, les 18 mm et le nerf incisif n' ont pas fait bon ménage, et les big forets ont gagnés... la sensib du menton est donc un peu modifié, meme s'il n' y a aucune différence de sensib (pas de macula de perte de sensib) pdv endo oral, labial ou autre... c' est en touchant la houpette que ginette sent une petite différence, un peu d' "endormi" ...ça resemble aux suites ap prélèvements pour onlay...

voilou.


carole

19/09/2006 à 22h15

oups....j' ai honte.... je viens de voir que mon pseudo hantait carrément cette rubrique....je vais m' ecraser un peu...j' espère n' avoir fait **** personne, et m'excuse pour ce trop plein d' eugénolie dont je semble faire part dans cette rubrique à brac...


Icon poker h4nm2d - Eugenol
jeff

19/09/2006 à 22h49

carole écrivait:
> m'excuse pour ce trop plein d'
> eugénolie dont je semble faire part dans cette
> rubrique à brac...



Ne t'excuse pas, cela reflète juste la passion pour ce que tu fais, et c'est toujours agréable de lire des gens passionnés.


carole

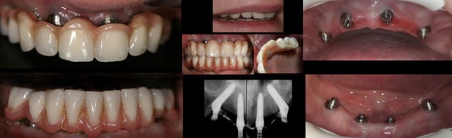
05/09/2007 à 18h25

.....1 an et demi après...les 8 fidèles sont toujours là...et voici leur photo de famille.
Ginette est toujours un amour, et nous venons de boire un café... trop dur ce type de suivi :)


rem: les 2 PIB ont été réalisé en meme temps...easy et rapide :)

Gigia1anetdemi roumvo - Eugenol

carole

05/09/2007 à 22h22

c'est clair que l' esthétique est réalisée en fonction de la ligne du sourire qui doit etre plus basse que la jonction fausse gencive/muqueuse... et les tetes de multiunit doivent pouvoir etre facilement accessible pour le nettoyage.....
aucun pb de phonation à noter.

leger manque de soutien de lèvre inférieure qui sera géré par une injection d' ac hyalu....

ici, nous avons pris l'option dents acryliques.... il y a la possiblité de faire de meme avec des dents en ceram maquillées...les limites sont celles du souhait du patient, du prothé et des sousous...c' est dejà pas donné ;)


Avatar ow44t3 - Eugenol
Chicot

05/09/2007 à 23h30

bravo carole


trimarc

05/09/2007 à 23h39

bravo

le résultat est très bien

mais je ne sais pas si j'ose:.....
il me semble qu'il manque un peu de gencive attachée au maxillaire (infirme moi STP)

sinon le bas top

par contre je ne comprend pas pourquoi quelqu'un avec ton talent fait ce type de chirugie/prothèse
je ne pense pas que 4 implants puissent supporter (avec une telle angulation en plus) une mastication efficace
un bon soulevé de sinus et 8 à 10 implants plus une bonne prothèse me semble plus stable à long terme.
et je crois que financièrement on doit se retrouver dans le même ordre de budget (le all on 4 n'est pas réputé pour être bon marché)

encore une fois je ne critique pas carole mais le système


carole

06/09/2007 à 10h07

trimarcou...no soucis, tu peux meme me critiquer :) ...c' est normal, ce que je fait n'est pas parfait, et je ne suis pas du tout parfaite non plus...chaque jour, je passe mon temps à chercher tout ce qui ne va pas ou qui peut etre amélioré...et j'en trouve tous les jours..et ça donne des idées de nouveaux tracés, des nouveaux protocoles....bref...

gencive attachée maxillaire trèès fine, mais pose en exo-implantation-MCI...donc, je ne crois pas qu'on eu pu faire mieux sans greffe....et comme tu peux le voir les les photos, la stabilité est top...meme avec cette muqueuse fine (0 perte en 1an 1/2)...ce que tu vois est le multi unit, pas la tete d' implant.


j'ai reposté a suite car ce cas était un des premiers fait avec cette technique....et cette tech a ses avantages et inconvénients...c'est clair que des belles greffes en onlay+lifts bilat+greffe muco, on pouvait mettre 8 impl et ne pas avoir de fausse gencive...mais quel cout en morbidité? en sousous? en temps? ici, le lundi, elle avait ses dents et son stellite....et le mercredi on mettait en charge....presque pas de suites op....et depuis, que du bonheur. Le bas a été fait en nobel guide puisque dejà édenté...encore mieux pdv exploitatation des structures osseuses, des volumes, en sécurité, avec la MCI faite 1 mn ap la pose des implants (avec lambeau pour preserver le peu de gencive attachée.)

PS: ma grand mere a une table de sa grand mere dont je devrais heriter....et elle n a que 4 pieds...mais ils sont solides et bien placés ;) lol (ceci dit, comme souvent dit...4 impl, meme pour malo, c' est qund on n' a pas assez pour mettre 6....et pour achever de relativiser sur cette option, mon gold que j' ai souvent montré, c' est de "refaire" de vrai avec svt 8 ou 10 imp...et faire un lift reste trop fun pour anguler à la pele!!!! après...à mon sens, c' est une option qu'on se doit de présenter....


maxx

07/09/2007 à 00h33

verdict dans 6 à 8 semaines quand le cap fatidique des 3-4 semaines ou l osteoclasie maximale va faire perdre la stabilité primaire aux implants qui sont archi sollicités avec ce type de prothèses surtout au maxillaire.
à suivre


Img 1744 z0evts - Eugenol
dumaille

07/09/2007 à 01h03

maxx tu as l'aire bien sympas mais je ne vois pas ce que vient faire ton post?


carole

07/09/2007 à 10h04

maxx...les implants ont été posés il y a 1an 1/2...et la mise en charge date de 1 an 1/2.... ...les 6 à 8 semaines ont été un "stress" à l' époque... les PIB sont là depuis plusieurs mois. (3 env)...


Amibien

11/09/2007 à 17h12

C'est top, bravo à toi !


carole

16/06/2008 à 23h12

...2 ans après...qu'en est il de votre vision de ces traitements alternatifs...?


carole

16/06/2008 à 23h14

(en fait...la patiente est revenue aujourd'hui....et tout était tombé....)





















....mais naon...meme pas vrai ;) oups


pepe54

16/06/2008 à 23h33

j'ai change ma façon de voir ces traitements "alternatifs" grace a la rencontre d'un praticien formidable qui realise de nombreux all on four.
Depuis, je m'inscris a la formation chez Malo pour profiter de Lisbonne et continuer a m'ouvrir sur ces traitements.


Gps moto wouomg - Eugenol
charleston

17/06/2008 à 00h50

finalement , ce n'est plus si alternatif , les patients adhèrent de plus en plus , c'est bientôt du courant "continu"


1...567