Cookie Consent byPrivacyPolicies.comAutoligaturant Carriere : en exclusivité pour Eugenol.. - Eugenol

Autoligaturant Carriere : en exclusivité pour Eugenol..

val

08/02/2006 à 21h22

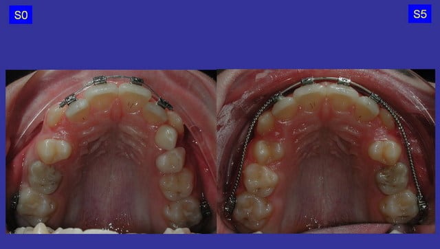
Voici les photos du premier cas (un sectoriel 2 par 4)en autoligaturant Carriere de chez Classe One.
BK passif en .022 avec volet s'ouvrant avec une sonde (point positif) et se fermant avec le doigt.
A suivre

Copie dedscn3170 kwkbyn - Eugenol
Copie dedscn3174 ram09l - Eugenol

catrose

09/02/2006 à 01h43


sympa de nous faire partager la primeur

le Carriere fait moins "gros sabot" que Damon(sur la photo)
as tu essaye de passer des chaines elastiques?


val

09/02/2006 à 09h36

L'épaisseur est moindre que le Damon MX et c'est un avantage considérable (diminution du moment généré par la force de cisaillement qui est source de nombreux décollements, diminution du risque de blocage en CL II lié au contact précoce des BK des inc < avec la face palatine des inc >).
Je n'ai pas mis de chaînettes mais le BK le permet.Les chaînettes doivent et peuvent largement être évitées en autoligaturant, sinon il n'y a AUCUN intèrêt de faire l'autoligaurant passif.


bjc

09/02/2006 à 12h37

Tu mégote pas sur les stops!

Tu peux aussi rabattre les extrémitées de ton arc à 60°

Ceci dit, le porte à faux est diminué. J'en ai reçu en échantillon, mais ils sont toujours en métal. Ce que de nombreux patients adulte refusent encore.

Félicitation et

@+ Bjc.




Avatar transparent iqadnc - Eugenol
adhoc

09/02/2006 à 17h16

Oui, val, meme reflexion que bjc. Un petit v au centre ; les arcs rabattus aux extrémités et c'est du Mozart (on peut meme faire du 180°!!!!!.


bjc

09/02/2006 à 17h53

Bonjour Adhoc,

Mefie toi du V bend!
On voit que Val a du métier, il n'a pas mis
de V bend, il a mis un stop.

@+ Bjc.

P.S.: J'ai un cas à 180° pour toi, ou on a tracté une canine incluse à l'envers.





val

09/02/2006 à 18h12

exact bjc pour le V bend : je ne les utilise pas car si l'arc coulisse tu risques une déformation du 2e ordre.l'arc utilisé ici est damon .014 avec stop intégrés permettant de limiter le déplacement latéral.
A l'usage , ces stops tiennent +/- le sertissage sur l'arc. L'expérience du 2 par 4 m'a incité a rajouté des stops latéraux (de Speed) évitant la sortie de l'arc en mésial des BK des 12 ou 22. cela limite beaucoup les "urgences"!!!


catrose

12/02/2006 à 20h11

vu sur le catalogue ormodent la nouvelle pince "cinchback" pour arc Niti,ca t'eviterait peut-etre de mettre des stops?


val

12/02/2006 à 20h37

merci Catrose, je possède cette nouvelle pince depuis un temps ancien !!
cette pince que j'apprécie dans certaines situations nécessite un longueur d'arc certaine pour bien effectuer un distal bend et je trouve que la liberté latérale résultante est source de gêne pour le patient.
Les stops, + couteux certes, sont une alternative acceptable.


catrose

12/02/2006 à 20h43

tes patients ne se plaignent pas du disconfort de la finition avec les stoppeurs(le fil sort)?
moi j'ai des douillets tu comprends...


val

12/02/2006 à 21h20

du silicone ou de la cire est fournie au patient pour l'inconfort temporaire.


Lanar

13/02/2006 à 13h29

Juste deux petites questions :
Pourquoi n'avoir mis qu'un fil antérieur ?
A quoi sert-il ?


val

13/02/2006 à 14h16

Lanar Ecrivait:
-------------------------------------------------------

> Pourquoi n'avoir mis qu'un fil antérieur ?
> A quoi sert-il ?


--> l'arc antèrieur est un CoNiTi .014 initiant l'alignement et le nivellement antèrieur d'un sectionnel 2x4.
Relier immédiatement à 16 et 26 c'est prendre un risque important que le fil se casse car il y a une longue portée.
Le 2eme arc peut être un .18 ou 18x18 Niti qui supportera mieux la longueur et les ressorts de distalisation.






Lanar

13/02/2006 à 15h12

Encore 1 autre question (merci pour ta patience).. :
- Pourquoi de pas avoir immédiatement intégré les canines et la 24 (à moins que ce ne soit la 14, mais il semble que la photo occlusale soit à l'envers) ?


val

13/02/2006 à 15h41

Lanar Ecrivait:
-------------------------------------------------------
> - Pourquoi de pas avoir immédiatement intégré les canines et la 24 (à moins que ce ne soit la 14
> mais il semble que la photo occlusale soit à
> l'envers) ?

--> exact, photo pas encore retournée.
Le 2x4 est +/- une sorte d'arc de base de Ricketts et ne prend par définition en charge que les 4 incisives et les 2 molaires.



Lanar

13/02/2006 à 16h15

Alors, dans ce cas, quel est donc l’intérêt de mettre des BK comme ceux-là à part le fait qu’ils se ferment avec un doigt et s’ouvrent avec une sonde ? Leur caractère antifriction n’est pas fondamental ici. Ne sont-ils pas plus chers que les autres ?
Qu’est-ce qui justifie, pour toi, leur usage ?


val

13/02/2006 à 17h37

Lanar Ecrivait:
-------------------------------------------------------
> Alors, dans ce cas, quel est donc l’intérêt de mettre des BK comme ceux-là à part le fait u’ils se ferment avec un doigt et s’ouvrent avec une sonde ?

--> c'est dèjà un sacré argument , crois moi.
-------------------------------------------------------
Leur caractère antifriction n’est pas fondamental ici.

--> je préfère faible friction à antifriction (qui est de la théorie : équivaut à pas de contact, vide absolu, donc ne nous concerne pas).
la recherche de la moindre friction ou frottement est primordial quelque soit la philosophie multiattaches; Le 2x4 n'échappe pas à la règle.
Le cas présenté ici sera complété par les attaches sur toutes les dents définitives.

-------------------------------------------------------

Ne sont-ils pas plus chers que les autres ?

--> Si , hélas

-------------------------------------------------------
> Qu’est-ce qui justifie, pour toi, leur usage ?

la recherche du moindre frottement, la diminution des réactions secondaires ou plutôt parasites qu'occasionnent les techniques ligaturantes, une autre vision de mes plans de traitement grâce à "l'outil autoligaturant" dont notament la diminution des cas avec extractions.



Lanar

14/02/2006 à 16h51

Cette démarche t'honore.

Mais pourquoi n'as-tu pas attendu que les prémolaires aient évolué pour appareiller ? Ne penses-tu pas que tu aurais pu alors mettre directement un fil continu et profiter à plein de la qualité de ces BK ? Il me semble que là, tu perds quelque chose.
P.J. : pub de Damon avec un arc continu dans un cas d'ectopie de canines.

Damon pub d9hpoj - Eugenol
Damon pub mr6grg - Eugenol

val

15/02/2006 à 23h43

le but est justement de pas attendre les C + PM, afin de préparer la place pour les C, avoir un effet lip bumper lorsque je relie les M avec les Inc, obtenir une conformation du maxillaire et déverrouiller secondairement la mandibule.
c'est un cas de DDM < qu'il est interresant d'anticiper.
Le bénéfice de l'autoligaturant passif se ressent y compris dans ces situations.


Avatar transparent iqadnc - Eugenol
adhoc

16/02/2006 à 12h33

En examinant la phto damon envoyée par lanar, on voit deux inversés d'articulé. Comme disait l'humoriste "une question me brûle les lèvres"
Bon, d'accord, avec damon, il y ade la magie avec des ddm monstrueuses sans extractions, ok, on l'admet comme postulat.
Mais l'inversé d'articulé, boudiou, pas besoin de surélévation? Ca passe comme ca? les doigts dans le nez.
Le adhoc est toujours perturbé dans ses certitudes.


Lanar

16/02/2006 à 13h25

Peut-être qu'il n'y a pas besoin de surélévation dans un cas comme cela. Il suffirait de BK qui permettent les glissements du fil.


catherine moreaux

11/03/2006 à 12h55

bonjour
j'utilise le systeme damon
POUVEZ VOUS ME DIRE OU TROUVER LE SITE CARRIERE AUTOLIGATURANT ? MERCI


bjc

11/03/2006 à 20h33

bonjour,

Je ne pense pas qu'ils aient un site, je ne suis pas sur.

Mais tu peux prendre contact avec St. des cendres,
Tel: 01 44 59 24 24
Fax: 01 44 59 24 49

Et demander SAMIA.

@+ Bjc.



val

16/03/2006 à 23h46

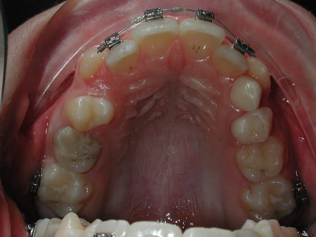
suite....
mise en place d'un 16x22 bioforce ionguard + ressort niti en très légère compression

Capturer 20 h5invb - Eugenol
Capturer 3 rjauly - Eugenol
Capturer 20 rrbzyy - Eugenol

val

16/03/2006 à 23h49

suite : occlusale


12