Cookie Consent byPrivacyPolicies.comAutoligaturant Carriere : en exclusivité pour Eugenol.. - Eugenol

Autoligaturant Carriere : en exclusivité pour Eugenol..

val

16/03/2006 à 23h56

val Ecrivait:
-------------------------------------------------------
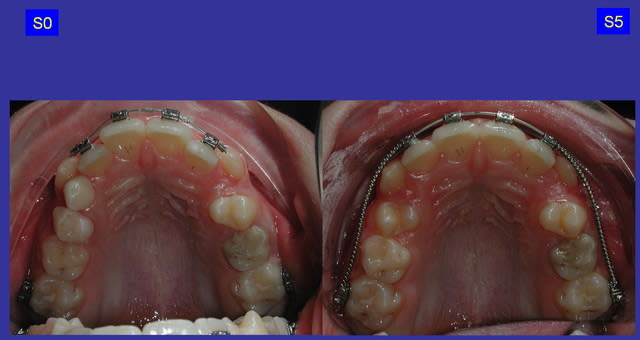
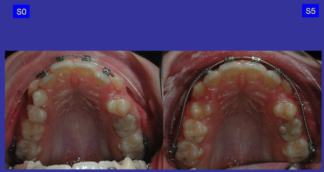
> suite : occlusale



val

16/03/2006 à 23h58

vais y arriver bordel !!


val

17/03/2006 à 08h35

.....

Capturer 4 ywtjbl - Eugenol
Capturer 4 vduttm - Eugenol

val

21/04/2006 à 01h14

Suite...

Capturer 5 3 l2ykm2 - Eugenol

12