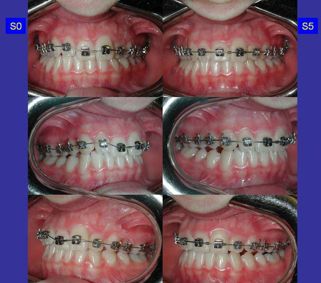
Cookie Consent byPrivacyPolicies.comCarriere self ligating ..... - Eugenol

Carriere self ligating .....

val

10/02/2006 à 22h28

ce jour, cas en transfert, 5 semestres ! on recommence à zéro.
Self ligating, help.

Copie dedscn3199 qawxkg - Eugenol
Copie dedscn3205 adxkh6 - Eugenol

bjc

11/02/2006 à 00h38

Tu vas te régaler!

@+ Bjc.



corinne

11/02/2006 à 23h22

qu'est ce que tu utilises comme bracket autoligaturants?on voit pas trop sur la photo des
DAMON
qui a deja utilise les nouveaux autoligaturant de chez 3m uniteck?


val

12/02/2006 à 01h06

corinne Ecrivait:
-------------------------------------------------------
> qu'est ce que tu utilises comme bracket
> autoligaturants?on voit pas trop sur la photo des DAMON

---> tu me taquines là ? ;-)
c'est marqué dans l'intitulé du thème
si c'était des Damon MX tu les verrais tellement ils sont épais et ensuite, les damon MX des 1, 2, 3 sup ne sont pas sortis !!

> qui a deja utilise les nouveaux autoligaturant de
> chez 3m uniteck?

---> oui... et alors ? sortis en 2004 donc pas si nouveau. Une version améliorée, suite aux remarques des utilisateurs, sortira tout prochainement. Nous la testons actuellement.



corinne

12/02/2006 à 17h19

oui desolee j'avais pas vu le titre
et ou on se les preocure les carrieres SL?Ils ont l'air bien comment les trouves tu ?


val

12/02/2006 à 18h05

Fabriqué par Class One Orthodontic (USA)
Distibué en France par :
Société des Cendres sa
39, rue des Francs Bourgeois
75004 Paris
Tél : 01 44 59 24 24
Fax : 01 44 59 24 49


Je pense que ce sont des BK avec un fort potentiel mais il faut attendre les résultats cliniques


limlim

12/02/2006 à 19h08

Collage indirecte me semble t il ?

Silicone light et regular?


val

12/02/2006 à 20h38

collage indirect bien sûr mais avec une technique de thermoformage particulière


val

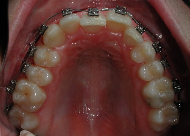
17/03/2006 à 22h47

suite...
arc .018 Niti maxillaire
empreinte mandibulaire pour collage indirect 7 à 7

Capturer 3 tglluv - Eugenol
Capturer 3 ypqivb - Eugenol

val

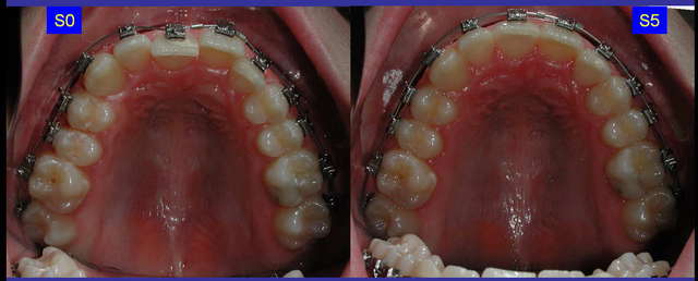
17/03/2006 à 22h48

vue occlusale

Capturer 2 2 ftamlv - Eugenol

carie bout

18/03/2006 à 12h41

superbe;
val il me semble que sur "capturer 3", la 25 soit absente. Est ce le meme cas?


carie bout

18/03/2006 à 12h48

autant pour moi, le samedi....
c'est la 23 qui est absente.
agenesie, extraction, ankylose


val

18/03/2006 à 14h38

23 a été extraite par le précédent praticien car elle était ectopique et que 24 allait prendre la place.
Le problème est que cette extraction, discutable pour le moins, n'a pas été suivie par l'extraction symetrique d'une PM <.
on se retrouve avec une asymétrie des milieux, une supra, de la CL II....avec 5 semestres déjà effectués !!!
Une reprise de TT s'impose, avec avulsion compensatoire de 45.
Se souvenir qu'une avulsion de canine non compensée est le début des emmerdes.