Cookie Consent byPrivacyPolicies.comtatouage ginigival - Eugenol

tatouage ginigival

curieu

18/05/2004 à 09h45

tatouage gingival ?

cause ?

traitement ?

qui peut me renseigner ?

merci


alhoun

18/05/2004 à 11h14

le plus souvent amalgame ou produit de corrosion. exérèse de la zone et greffe libre, attention à l'effet rustine, sinon désépaissir au max sous épithélium et conjonctif enfoui, mais il restera toujours des traces.
courage.


Algi

18/05/2004 à 18h28

Y'aurait des possibilités avec laser pour décolorer (comme pour lupus ou vrais tatouages) mais je connais ni le protocole ni le laser à utiliser....sorry, poser question à dermatos peut être?


Dentisfuturis

07/08/2004 à 20h14

http://www.dreamdirectdesign.com/dentisfuturis/modules/news/article.php?storyid=423

c'est expliqué dans cette étude, le tatouage est du au phénomène de bimétallisme.


isaïe

08/08/2004 à 16h15

Quel est l'aspect du "tatouage"? Il y a aussi des pigmentations raciales, des problèmes de sécrétions des corticoïdes, etc... qui donnent des colorations gingivales parfois étonnantes. Faut-il absolument toujours l'éliminer?
Il est amusant de constater qu'un amalgame est souvent jugé inesthétique et qu'un "spot" chromé à 1,5 cm plus haut (dans la narine) est du plus bel effet (enfin, tout est relatif).
Qu'est ce qu'un point bleuté sur une gencive à côté d'un aigle de 40 cm de côté dans le dos, de la même couleur?
Dernièrement une jeune fille magnifique en larmes devant ma seringue, "je ne supporte pas les piqûres", environ 5 piercing dans un seul sourcil!


lai

06/10/2004 à 11h52

J'aurai aimé joindre à ma réponse 2 diapos (tatouage + pigmentations raciales)
Comment faire? Je ne vois aucun outils et le principe de copier - coller ne donne aucun résultat
Merci





17082007 synnio - Eugenol
kalif

06/10/2004 à 14h45

tape ton message ; au lieu d'envoyer ,clique sur joindre et selectionne tes photos


lai

06/10/2004 à 17h48

Navré, j'ai beau cherché, je ne trouve pas le bouton ou le champs "joindre".

En bas du cadre réservé pour y taper son message, il existe 2 champs "Prévisualiser" et "Envoyer".
Où se cache donc l'outil "joindre"

@+


17082007 synnio - Eugenol
kalif

06/10/2004 à 19h00

3éme bouton à gauche de prévisualiser


Blue eye thumb medium dx1i0w - Eugenol
bill

06/10/2004 à 20h53

Tu dois être enregistré sur le site je pense avant d'envoyer.
Ca y est je fais le boulot du modérateur maintenant... ;-))
Cordialement.


lai

08/10/2004 à 12h33

Bill merci pour le tuyau : enregistrement nécessaire pour "joindre".

Voici donc 2 diapos :

1-Tatouage après pose d'une couronne Nicr
Le tatouage est dû au passage de l'ion Fe dans la gencive.

A mon humble avis, le tatouage gingival n'étant pas systématique après la pose d'une couronne métallique en Ni-cr, le terrain est patient n'est pas à négliger.

Dans ce cas clinique aucun traitement n'a été effectué malgré les doléances du patient.

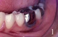
2-Pigmentation raciale
Essentiellement due à la mélanine

Tatouage 1 pwbxa7 - Eugenol
Gencive noire naturelle 1 nvnoti - Eugenol

Avatar transparent iqadnc - Eugenol
adhoc

09/10/2004 à 00h31

Merci pour tes photos instructives et de bonne qualite, lai.


Blue eye thumb medium dx1i0w - Eugenol
bill

09/10/2004 à 01h39

Une petite question si tu permets : quelle est la nature de la reconstitution sous la couronne nicr?
Cordialement.


lai

09/10/2004 à 10h13

Nature de la reconstitution sous la couronne : amalgame d'Ag ;
Ciment de scellement : oxyphosphate de Zn

Autres renseignements :
- Cas clinique présenté : au moins 15 ans (donc dia ancien);
- pratique clinique :
*prothèse conjointe presque essentiellement Ni-Cr ou Ni-cr-céramique ;
* autrefois restauration coronaire amalgame d'Ag pour l'essentiel (groupe molaires et PM), depuis remboursement inlay-core, reconstitution coronaire inlay-core (+++) en Ni-Cr ou amalgame d'Ag ;
* j'ignorai le nom commercial du métal Ni-Cr et sa composition sauf depuis
traçabilité "obligatoire".
- Durée d'exercice actuelle : 20 ans.

Avis perso :
Le tatouage gingival après la pose d'une couronne en Ni-cr reste marginal. En 20 ans d'exercice j'ai très peu observé ce phénomène, donc iconographie photographique pauvre. Mais quand celui-ci apparaît je reconnais que c'est assez destabilisant car il faut répondre aux doléances du patient, lui donner les explications, lui rassurer, lui proposer éventuellement un traitement en fonction des données actuelles de la science et l'informer des résultats qui à mon sens restent très incertain...et puis... il y a ce fameux rapport coût/bénéfice!

Pour L'anecdote :
Lorsque j'ai présenté mon cas clinique à un conférencier (stomato), l'idée première retenue = risque cancer. Aucune explication concernant le tatouage proprement dit.Traitement proposé par le conférencier : desceller la couronne et refaire une céramo-métal. J'étais perplexe.
Mon patient a gardé sa couronne Ni-Cr, le liséré gingival tatoué n'a jamais évolué.

Depuis notre profession a beaucoup évolué n'est-ce-pas?

Cordialement et @+


Blue eye thumb medium dx1i0w - Eugenol
bill

10/10/2004 à 17h23

Ne penses-tu pas que la cause serait plutôt l'amalgame (phénomène de corrosion, bi-métallisme avec le nicr) ?
On observe parfois ce genre de tatouage au niveau d'amg sous-gingival ancien.
Mais je suis sûr qu'il y a sur ce forum qq'un qui pourra apporter une réponse plus "scientifique".
Cordialement.


excedzel

21/10/2004 à 05h09

si vous voulez je joint radio on l'on peut soupçonner un tatouage a l'amalgame (c'est veridique):étonné?

Dscn1246 tc9gkv - Eugenol