Cookie Consent byPrivacyPolicies.comDomaine de l'occluso. - Eugenol

Domaine de l'occluso.

cfben

27/11/2004 à 17h15

en ce qui concerne annick F je vous conseille de vous rendre ds un centre d'evaluation et de traitement de la douleur il en existe dans presque ts les departements ou au moins par region mais malheureusement il n'y a pas de dentiste dans chacun de ces centres.


monic

29/11/2004 à 09h47

bjr cfben

Le centre anti-douleur ne réglera RIEN, voyons !
Personne ne lui refera son bridge...

Le diagnostic de fibromyalgie est bien pratique...Mon dieu dans quel monde de fous et d'irresponsables sommes-nous ?

bonne journée a tous.
monic


Hind

29/01/2005 à 23h51

Roge a écrit:
-------------------------------------------------------
> Bonjour,
>
> Je pratique l'occluso. depuis + de 10 ans environ,
> et je pense en avoir une certaine experience. Pour
> un non initié, l'occluso est rebutante, mal
> presenté et vu de façon tres complexe. C'etait
> aussi mon avis à mes debuts.
>
> Après ces qq.années de recul je pense pouvoir
> definir et dire que l'occluso
> englobe toute notre pratique quotidienne et
> recouvre toutes les specialités
> pratiquées en bouche : endo, prothese, paro,
> ortho, implant, ATM etc...
>
> L'occluso concerne LA FONCTION DENTAIRE, c a d la
> fonction ou le dysfonctionement de l'ensemble des
> dents en bouche. Et la fonction occlusale est
> aussi importante que la fonction respiratoire,
> digestive etc...
>
> Une notion qui est tres peu connu est que
> l'occlusion dentaire est le regulateur de tout le
> systeme osteo articulaire et aussi au niveau
> energetique du systeme des meridiens
> d'accupuncture. De ce fait toute malocclusion peut
> etre la cause d'une douleur osteo articulaire ou
> musculaire à distance. En autre les cervicalgies
> chroniques recidivantes.
>
> Par l'occluso nous avons un pt de vue global sur
> de la dentisterie et prenons conscience qu'auncun
> acte en bouche n'est anodin, car possiblité
> de repercussion negative à distance.
>
> En conclusion, l'occlusodontogie est l'ART de
> soigner nos patients dans sa GLOBALITE.
>
> Roge




vu ton expérience peux tu m'aider á resoudre mon probléme?
je suis une etudiante en medecine dentaire et je n'arrive pas a comperendre quelles sont les surfaces dentaires à meuler lorsqu'on veux corriger l'occlusion apres un traitement dentaire ou en cas de presence de prématurités





isaïe

30/01/2005 à 09h52

1) enlever sa fraise de la turbine
2) s'asseoir et se demander:
-pourquoi faut-il corriger?
-qu'est-ce donc qu' une prématurité?
-quel sera le bénéfice pour le patient en la supprimant ?
-qu'est-ce que je veux obtenir au bout de mon traitement occlusal, quel est mon objectif thérapeutique?
-est-ce que j' accepterais ce traitement pour moi-même?
3)admettre de ne rien faire si on ne sait pas répondre logiquement à ces questions
4)formuler le tout pour que le patient comprenne, sans utiliser les grands yeux, sans le menacer de choses dont on n'est pas certain, sans utiliser l'argument d'autorité, moi je sais, toi pas.
"Ce qui se conçoit bien s'énonce clairement Et les mots pour le dire arrivent aisément
Et ta turbine en main reprendra facilement"


Rogé

30/01/2005 à 20h01

Pour Hind

Desolé de ne pouvoir t aider.
L ocluso peut etre simple en demonstration clinique mais elle est trop complexe pour l expliquer par ecrit.
Bon courage....


trismus

30/01/2005 à 20h46

Alors toi Rogé t'es le plus fort,
T'as tout compris,
l'occluso c'est simple.
Seulement voilà, tu ne peux pas l'expliquer par écrit parceque c'est trop complexe...
Tu devrais organiser des séminaires....à moins que cela ne soit déjà le cas...


ben

30/01/2005 à 21h56

"Ce qui se comprend bien s'énonce clairement et les mots pour le dire viennent aisément"


Rogé

01/02/2005 à 10h07

Pour Trismus....
Non, je ne fais pas de seminaire....et meme si je le proposerai......meme gratis......il y aurait meme pas 2 pelés et 3 tondus.....:((

Ci joint un cas d ocluso. atypique.
Cas d un patient de 38 ans, soufrant de lombalgie chronique, recidivante depuis 23 ans environ.

Cas simple ou complexe ??????

Cas ocluso atypique 1 sr8dx2 - Eugenol
Cas ocluso atypique 2 p8w269 - Eugenol

isaïe

01/02/2005 à 11h07

Tu dis bien, atypique heureusement, mais impressionnant.
Quel est le motif de la consultation? Le problème de dos? Une demande esthétique?
Qui serait d'accord de couronner tout ça?
Qui l'expédie en chir.?
Quelle a été la suite?


Ylfwcw979cz1jnx9gfqeaxndiuzk - Eugenol
Algi

01/02/2005 à 13h16

Trismus + Algi + Rogé.... ça fait déjà 3 mais c'est qui le tondu?


Rogé

02/02/2005 à 15h42


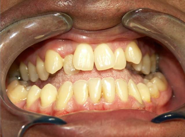
Patient vu fibn avril 2004...motif de la consultation....... simples caries.
A l examen....surtout au bruit....craquement et deviartion de l ATM.
A l interrogation, le patient confirme qu il souffre de lombalgie depuis l age de 15 ans. C est une douleur chronique, recidivante et rebelle à tout tratement connu.

C est un des cas le + simple et le + rapide que
j ai eu à traiter, tant pour le mal de dos que pour l ATM.

Comme vous le voyez sur la photo, les seuls contact dentaire en IM st sur les dents 17- 47 et 27-37.
Ces 2 contact etaint en prematurité. Donc meulages.
2 seances ont suffit pour faire disparaitre les douleurs.

Patient revu ce lundi 31/1/05. Pas de recidive de lombalgie , ni de craquement ATM.

Evidement je ne touche pas à son oclusion atypique.


isaïe

02/02/2005 à 16h06

Comment as-tu déterminé que ces contacts étaient des prématurités?
Quels sont ses points de contact actuels?
As-tu pris en compte sa symétrie?
Le problème avec ce genre d'articulé, c'est qu'il n'y a que des appuis, donc si on touche, on modifie très vite la DVO (mais pourquoi pas?). A choisir, tu as entièrement raison, surtout qu'on connaît le résultat positif a posteriori: pour nous c'est facile évidemment.
A propos du conseil de l'ordre et des données acquises de la science, je propose de demander à ton patient ce qu'il en pense...


Ylfwcw979cz1jnx9gfqeaxndiuzk - Eugenol
Algi

02/02/2005 à 16h06

Rogé? Elle est où ta photo? J'ai raté un truc ou quoi?

Je vois demain.. à + trés cher ami.


Rogé

03/02/2005 à 06h44

Voir 5 post + haut....photos jointes.
A+++


Ylfwcw979cz1jnx9gfqeaxndiuzk - Eugenol
Algi

03/02/2005 à 13h40

La photo "bouche ouverte" est en occlusion mais j'ai du mal à voir des choses... derriere c'est comment? Il semblerait que y'a articulé croisé molaires, non?

Donc lui il est en suppraclusion molaires (dents du bas en dedans, "gordini", comme les roues des R8 d'antan) mais béance anterieure..... pas simple si on veut faire autre chose que neutraliser les prématurités!!!! C'est un mec certainement stressé et anxieux, tendance à être interiorisé ou renfermé (suppra)mais en même temps qui se fout un peu de tout (béance) ou je me plante completement????

Je préconiserai SB pour essayer redresser tout ça en jouant sur la posture de la langue et des lévres. Ceci dit vu la béance le patient s'en fout peut-être (j'ai remarqué que les béances sont en général des gens plutot cool ou du moins pas trés concernés par le présent....) et se contentera des meulages et du mieux ainsi obtenu....


Rogé

05/02/2005 à 11h10

pour Isaie:
1/Comment as-tu déterminé que ces contacts étaient des prématurités?
2/Quels sont ses points de contact actuels?
3/A propos du conseil de l'ordre et des données acquises de la science, je propose de demander à ton patient ce qu'il en pense

Reponses:

1/ Par test kinesiologie en testing mental

2/ Les memes dents qu avant. En fait, j ai seulement diminuer sa DVO.

3/Il ne s'est meme pas posé la question puisque etant venu pour des soins, c est un bonus que je lui ai fait.













occlusion

05/02/2005 à 11h27

Point 4 = çà dépend de la religion occlusale du praticien...
En général, les praticiens sont tous occluso-conscients, mais ils ne savent pas par quel bout commencer...
;-)


Cmoi

05/02/2005 à 19h39

En général, les praticiens sont tous occluso-conscients, mais ils ne savent pas par quel bout commencer...

C'est malheureusement souvent le cas...

A quand une rencontre entre praticiens occluso-conscients......:))


ben

06/02/2005 à 14h11

Ben voyons, de la même façon qu'ils sont tous endo conscients n'est ce pas.


occlusion

09/02/2005 à 11h14

Il existe nettement moins de contradictions entre endodontistes qu'entre occlusodontistes...

Cmoi a écrit:
-------------
> A quand une rencontre entre praticiens
> occluso-conscients......:))
>

Il suffit de demander aux Sociétés scientifiques d'organiser une rencontre d'une journée de débats à bâtons rompus entre occlusos de tous bords, Enseignants universitaires ou non, plutôt que d'inviter un Chef de file d'une seule religion pendant deux jours, voire une semaine.


isaïe

10/02/2005 à 20h59

Bonne idée.


Cmoi

12/02/2005 à 05h47

Je suggere + une rencontre-échange entre les fideles de ce forum.
Est ce une bonne idée???


Grog6

17/02/2005 à 01h36

JE veux bien etre le 2e tondu ;-)

Ca fait plus de 2h que je lis les differents sujets du forum Occluso et je suis fasciné par tous vos dires/remedes ...


Ylfwcw979cz1jnx9gfqeaxndiuzk - Eugenol
Algi

17/02/2005 à 11h54

J'ai déjà proposé ça y'a plus d'un an.... on l'a fait en paro (cf le luxembourg et capbreton). A Capbreton je parlerai peut être de sujets "hors paro medicale" comme la kinesio ou les SB..... quoi que pour moi y'a pas de hors sujet mais juste la globalité des patients à prendre en consideration vu que j'ai remarqué que les patienst équilibrés occlusalement ont en général AUSSI une paro correcte et vont aussi, curieusement, globalement bien... étonnant non?

Alors, on se le fait quand???? Et où?


occlusion

19/02/2005 à 16h30

Grog6 a écrit:
---------------
> JE veux bien etre le 2e tondu ;-)
> Ca fait plus de 2h que je lis les differents
> sujets du forum Occluso et je suis fasciné par
> tous vos dires/remedes ...
>
C comme çà ke l'on finit par dire/écrire scientifiquement que l'occluso, ce n'est que du domaine du psy et des pharmacies !
Et y a 1 Suisse ki répond : "Fô pas, fô pas : c pas bon pour l'occluso, çà !"
:-)))