Cookie Consent byPrivacyPolicies.coma traiter ou a extraire - Eugenol

a traiter ou a extraire

hmg

03/03/2006 à 22h14

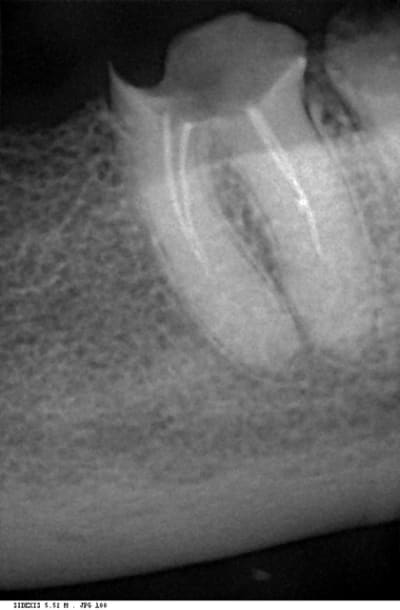
Est ce que cette molaire (36) est a extraire ou pas (ça m'est arrivé d'avoir une LIR a la suite d'une telle fragilisation du plancher )
Si elle est a traiter est ce qu'il faut une RTE même si la dent est asymptomatique (traitée depuis 5 ans)

Nedra owesvh - Eugenol

024 vownvo - Eugenol
annie

03/03/2006 à 22h52

ben j'essayerai de traiter d'abord et extraire éventuellement après(le contraire est plus difficile)
les racines ont l'air solides,l'examen clinique du plancher devrait te guider dans ton choix,au pire faire une hemisection
moi je tenterai,si les canaux sont exposés,logiquement il faudrait les retraiter,faut voir avec ton patient et le prévenir que ce n'est pas gagné d'avance
voila mon avis,au suivant,


S8ysxdzhdqgw00w4q6m07a5d47q2 - Eugenol
didier72

03/03/2006 à 23h07

LIR = ???


024 vownvo - Eugenol
annie

03/03/2006 à 23h10

didier72 Ecrivait:
-------------------------------------------------------
> LIR = ???

oui j'oubliais,même question


trimarc

03/03/2006 à 23h12

moi je fais tout péter

un bon patient est un patient content (tranquille, sans voir son dentiste tous les mois)
généralement, les patients ne veulent pas des solutions scabreuses: ils ne sont pas reconnaissant des efforts fournis.
pour moi, une bonne solution est une solution efficace, stable dans le temps.

je ne pense pas que ta dent va supporter une charge occlusale importante. en plus la dent voisine n'a pas l'air tip-top.

en résumé: j'extrais et j'implante et tout le monde est content

au suivant


trimarc

03/03/2006 à 23h13

LIR: lésion inter radiculaire

je pense, mais je n'ai pas la science infuse


024 vownvo - Eugenol
annie

03/03/2006 à 23h19

justement,pourquoi pas hemisection,ic +cr?sur la dent voisine également?


hmg

03/03/2006 à 23h25

j'ai oublié de dire que la 37 est a extraire.Donc il ne reste que la 36.
LIR=lésion inter-radiculaire.


hmg

03/03/2006 à 23h26

ah j'oubliais : au suivant


trimarc

03/03/2006 à 23h30

et quelle durée de vie de tes 2 couronnes :ou plutôt de tes 2 prémolaires, à cause de l'hémisection?

contairement aux idées recues, une molaire doit être remplacée par une molaire et non une prémolaire comme la majorité des praticiens en implanto.

la mastication est la priorité: et donc la fonction. une bouche saine est une bouche qui fonctionne bien (qui mastique bien)
avec une hémisection, tu vas diminuer le pouvoir masticatoire

il faut faire quelque chose d'efficace.


trimarc

03/03/2006 à 23h33

plus de 37, plus de problème

2 gros implants


j'ai gagné, enfin j'espère!


ben

03/03/2006 à 23h43

J'ai lu y'a pas longtemps un technocrate qui disait qu'un implant était là pour remplacer une dent absente et non pas une dent à extraire.....


trimarc

03/03/2006 à 23h51

ben Ecrivait:
-------------------------------------------------------
> un technocrate


aucun commentaire


Img 1744 z0evts - Eugenol
dumaille

04/03/2006 à 00h36

je suis assez d'accord avec trimarc lorsqu'il dit que les patients sont rarement reconnaissant des efforts fournis et que moins ils nous voient et mieux ils se portent.
donc pour moi c aussi la solution implantaire qui s'impose, bien plus fiable que de la prothese sur dent.


024 vownvo - Eugenol
annie

04/03/2006 à 01h44

dumaille Ecrivait:
-------------------------------------------------------
> je suis assez d'accord avec trimarc lorsqu'il dit
> que les patients sont rarement reconnaissant des
> efforts fournis et que moins ils nous voient et
> mieux ils se portent.
> donc pour moi c aussi la solution implantaire qui
> s'impose, bien plus fiable que de la prothese sur
> dent.

Quand tu fais des implants tu ne revois plus tes patients? je croyais qu'il fallait un suivi régulier,je ne sais pas pour la prothèse implantaire,sa durée etc,ce que je sais c'est que je n'ai fait aucune prothèse qui n'ait duré un minimum de 10 ans,est ce que c'est court ou long par rapport aux implants,qui pourront toujours prendre le relai quand la prothèse fixe sur dent naturelle ne sera plus possible


Stéphane

04/03/2006 à 10h53

ben Ecrivait:
-------------------------------------------------------
> J'ai lu y'a pas longtemps un technocrate qui
> disait qu'un implant était là pour remplacer une
> dent absente et non pas une dent à extraire.....

Dommage que ce soit un technocrate qui ait dit cela, car pour une fois que j'étais d'accord avec vous... ce mot est venu tout gâcher !


ben

04/03/2006 à 12h54

Je pense que vous m'avez mal compris: ça n'est pas de moi.


Théo

04/03/2006 à 13h29

Mais non Ben, on t'a bien compris et le technocrate en question c'est Machtou je crois. De telles phrases ne peuvent venir de toi, tout le monde le sait ici...


Théo

04/03/2006 à 13h34

"en résumé: j'extrais et j'implante et tout le monde est content"
Tu as raison Trimarc, avec les implants il n'y a jamais de problèmes... Tu n'imagines le nombre d'implants qui sont retirés chaque jour


ben

04/03/2006 à 13h42

Moi non plus je n'imagine.


Stéphane

04/03/2006 à 13h45

ben Ecrivait:
-------------------------------------------------------
> Je pense que vous m'avez mal compris: ça n'est pas
> de moi.

Ca me rassure, parce que comme je suis d'accord avec ce qu'a dit ce technocrate et que vous ne semblez pas y adhérer, une fois de plus nous ne sommes pas d'accord.


Stéphane

04/03/2006 à 13h51

Théo Ecrivait:
-------------------------------------------------------
> "en résumé: j'extrais et j'implante et tout le
> monde est content"
> Tu as raison Trimarc, avec les implants il n'y a
> jamais de problèmes... Tu n'imagines le nombre
> d'implants qui sont retirés chaque jour

Est ce que le nombre d'implants déposés chaque jour est supérieur au nombre de dents extraites pour cause d'échec endodontique ?
L'implantologie donne de bons résultats, mais un implant reste un implant avec ses inconvénients et ses avantages.
Sous prétexte de repousser les limites de l'endodontie, nous ne pouvons pas renier les avantges de l"implantologie.

Dans le cas présent, personnellement je pense qu'elle est conservable. C'est l'épaisseur résiduelle du plancher appréciable en clinique en complément de la radio qui permet de poser l'indication de conservation ou d'extraction.
Si elle doit etre conservée, bien entendu le retraitement endodontique est indispensable.


Grueavatar nptrc9 - Eugenol
Le Choixpeau magique

04/03/2006 à 14h34

Théo Ecrivait:
-------------------------------------------------------
> Mais non Ben, on t'a bien compris et le
> technocrate en question c'est Machtou je crois. De
> telles phrases ne peuvent venir de toi, tout le
> monde le sait ici...
>

La phrase exacte est "l'alternative au traitement endo, ce n'est pas l'implant, c'est l'extraction"

Maintenant, ici, avec un plancher aussi bas par rapport à l'os et aussi proche de la furcation, une fois les tissus cariés "excavés" et l'élongation coronaire réalisée, on sera devant une situation un peu (beaucoup) scabreuse, non ?


trimarc

04/03/2006 à 14h39

pourquoi un implant?
je m'explique
outre le problème occlusal déjà développer, il manque la 37
et alors, pour la 27, on fait quoi?
*une extension distale de la 36 pour éviter l'égression: pas très sérieux!
*une PPA: pour une dent!
*rien: encore pire!
*un implant: super!....alors pourquoi pas 2 et moins problèmes!

je suis d'accord, l'implantologie n'a pas 100% de réussite, mais 95-97%, c'est pas mal quand même.

stéphane a raison, on peut la garder et la couronner, mais je pense quand même, que dans ce cas (si 27 présente), 2 implants sont vraiment indiqués.


024 vownvo - Eugenol
annie

04/03/2006 à 15h08

il serait interessant d'avoir la radio de la 37,car effectivement si on ne garde que cette 36, (je ne reviens pas sur ce que j'ai dit que l'on pouvait essayer de la garder si l'examen clinique le permettait,)fragilisée alors que 35 absente et 37 devant être extraite,les surchages occlusales peuvent lui être fatale
deux choses,si 35,36,37 et plus car on ,n'a pas vu tout le maxillaire,la pap,serait au moins pour 3 dents et pas pour une
il n'a pas été posé le facteur financier pour les implants
les implants oui,quand on ne peut plus garder les dents naturelles,mais je suis d'accord pas extraire pour implanter,chaque chose en son temps
dans ce cas peut être un implant sur 35,?