Cookie Consent byPrivacyPolicies.coma traiter ou a extraire - Eugenol

a traiter ou a extraire

faouz

04/03/2006 à 15h10

hmg,
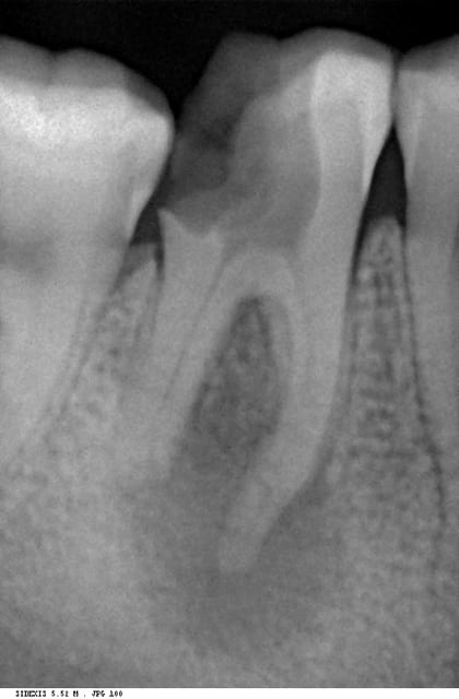
cette dent, je ne la conserverai pas. Pour la simple et bonne raison que pr la conserver il faut la couronner et pour la couronner, à priori, tu dois réaliser une élongation coronaire...et là tu vas te retrouver au niveau de la furcation...et là, je vois déjà la LIR se frottet les mains et se profiler sournoisement!...;)..
Il manque le sondage paro et l'analyse du plancher


Pa050055 igyagy - Eugenol
MARK

04/03/2006 à 15h14

Le plus souvent, dans ce cas de figure, j'ai porcédé à l'hémisection , et si nécessaire, comme ici je pense, à une résection alvéoliaire.

Mais ici, l'image de la prémolaire laisse à penser que le patient a besoin d'être sacrément motivé à la maintenance. Sans cela, il n'y a pas plus de raison d'opter pour cette solution que
pour l'implant... non?

Pour ce qui est des reconstitutions dans un cas pareil, j'ai remplacé les IC par des reconstitutions fibrées en raison de quelques cas malheureux de fracture radiculaire, et pas forcément avec des tenons longs.

C'est bien sûr chiant à tous les points de vue technique (chir+RET+collage+limites de préparations), mais quand on ne fait pas d'implanto et que les patients ne sont motivés ni pour l'adressage, ni pour le coût, il le devient pour la maintenance de ce genre d'édifice délicat...


trimarc

04/03/2006 à 15h24

MARK, un patient qui n'est pas motivé pour le coût ou pour se faire soigner par un confrère, je doute qu'il le soit pour la maintenance

Annie, tu as raison, on ne connait pas la bouche, donc en définitive, on discute dans le vide


Pa050055 igyagy - Eugenol
MARK

04/03/2006 à 16h06

trimarc Ecrivait:
-------------------------------------------------------
> MARK, un patient qui n'est pas motivé pour le coût
> ou pour se faire soigner par un confrère, je doute
> qu'il le soit pour la maintenance
>

Et allez! encore un condamné qui n'aura pas eu le temps d'être jugé! :)))

Autant le refiler direct à l'Assistance Publique...

Oui trimarc, pardon , j'exagère, tu pourrais prendre cela pour de la provoc ;)

Je sous-entendais qu'un patient peu motivé sur certains aspects, par choix, préférence, compensation de certaines de ses limites, en conséquence pourrait être finalement motivé à d'autres solutions, engageant toutefois sa responsabilité et finalement plus à sa portée.

Par ailleurs les conséquences d'un échec, de son seul fait, seraient moindres et laisseraient encore la porte ouverte à sa prise de conscience des conséquences de celui-ci.


hmg

04/03/2006 à 16h15

trimarc Ecrivait:
-------------------------------------------------------
> Annie, tu as raison, on ne connait pas la bouche,
> donc en définitive, on discute dans le vide

peu de molaires présentes = dvo effondrée
dents présentes 44-->34 + 36
au max sup de PM à PM avec une ou deux molaires je ne sais ou
la solution implantaire n'est pas envisageable
je vais tenter l'hémisection (aprés RTE) et bridge de 34 -35-36
Stellite à éliminer (jeune patiente et vieille fille de surplus !!)
Condition pécunière +/-



Stéphane

04/03/2006 à 16h24

faouz Ecrivait:
-------------------------------------------------------
> hmg,
> cette dent, je ne la conserverai pas. Pour la
> simple et bonne raison que pr la conserver il faut
> la couronner et pour la couronner, à priori, tu
> dois réaliser une élongation coronaire...et là tu
> vas te retrouver au niveau de la furcation...et
> là, je vois déjà la LIR se frottet les mains et se
> profiler sournoisement!...;)..
> Il manque le sondage paro et l'analyse du plancher


Sans examen clinique compléemntaire, vous ne pouvez pas dire que vous ne la conserveriez pas. En plus cette radio ne semble pas avoir été prise avec un angulateur.


faouz

04/03/2006 à 18h40

le sondage paro et l'analyse du plancher, ça signifie examen clinique complémentaire...


hmg

04/03/2006 à 19h19

c'est quoi l'analyse du plancher ?


faouz

04/03/2006 à 19h48

le plancher est il suffisamment épais, non carié, ce n'est pas du papier à cigarette etc,etc...?
idem pour les parois.


hmg

04/03/2006 à 19h59

comment évaluer son épaisseur (j'ai vu une couleur sombre entre les deux racines vestibulaires on dirait une couche trés fine de dentine )
Comment savoir si le curetage est bon ou pas (avec des solutions spécifiques ??)


trimarc

04/03/2006 à 20h29

hmg Ecrivait:

> je vais tenter l'hémisection (aprés RTE) et bridge
> de 34 -35-36


désolé, je ne comprends pas le traitement envisagé: il n'y a pas de plan de traitement....

tu veux garder la 36, faire une hémisection et ensuite un bridge: pourquoi

et de l'autre côté....

pense à la globalité et si la patiente refuse, ne fait rien...
pour moi ton traitement est le pire de tous et tu vas gaspiller l'argent de la patiente: il faut faire les 2 côtés, sinon ton joli bridge réalisé avec amour va tomber.

ps: on a 2 pieds et on marche sur les 2. essaye de faire du cloche-pied toute la journée, et on en reparle ensuite (la bouche s'est pareil, on doit manger des 2 côtés)


faouz

04/03/2006 à 20h36

hmg, il n'y a pas besoin de solution spécifique. C'est comme pr 1 carie. Tu sais reconnaitre le dentine saine.
Ensuite, tu fais 1 sondage paro :
- atteinte furcatoire ou pas ?
- Si pas d'atteinte, et nécessité d'1 élongation coronaire, tu prends ta radio (avec un angulateur, comme ça tu n'as pas de projection), tu enlèves 2 mm d'os environ et tu regardes à quel niveau tu te retrouves...


Stéphane

04/03/2006 à 21h05

faouz Ecrivait:
-------------------------------------------------------
> le sondage paro et l'analyse du plancher, ça
> signifie examen clinique complémentaire...

Tout à fait, accompagné d'une radiographie avec angulateur (comme vous l'avez confirmé plus tard). Donc vous ne pouvez pas dire que cette dent n'est pas conervable.

Ceci n'a rien de provocateur, mais permet d'insister sur le fait que la seule radiographie ne permet pas de décider quoique ce soit sur ce type de dent ; surtout quand elle n'est pas faite dans les conditions optimales.


Images eb1m5g - Eugenol
tonio

04/03/2006 à 21h28

je suis d'accord avec le point de vue de trimarc sur le cadre global du traitement.

Reste à savoir ce qu'il y a de l'autre côté avant de se créper le chignon pour savoir si on conserve ou pas cette 36.

D'ac avec stéphane pour dire que la RTE est impérative même si la dent est asymptomatique. Avec la RC, on fait quasi systématiquement mieux.
Et si tu t'apprétes à faire dépenser 1500€ à ta patiente pour un brige, mieux vaut assurer ses arrières...

D'ac avec fouz, il nous manque des éléments diagnostics pour se forger un avis plus certain.


faouz

04/03/2006 à 22h40

Stéphane,
La radiographie étant un examen complémentaire, elle se fait donc farcément après l'examen clinque. Evidemment qu'on ne peut pas se baser Uniquement sur une radio...On n'a pas inventé la poudre en disant cela...On ne va donc pas s'étendre sur le sujet pendant 110 ans...j' essaie juste de faire avancer le schwimblic.
Je ne sais pas prendre de radio sans angulateur de toutes les façons.

N'y vois aucune provoc de ma part...
NB : heureusement que notre Tonio est là pour nous accorder!


ben

04/03/2006 à 22h46

Fais gaffe, y'a THEO qui va débarquer.


Stéphane

04/03/2006 à 22h58

faouz Ecrivait:
-------------------------------------------------------
> Stéphane,
> La radiographie étant un examen complémentaire,
> elle se fait donc farcément après l'examen
> clinque. Evidemment qu'on ne peut pas se baser
> Uniquement sur une radio...On n'a pas inventé la
> poudre en disant cela...On ne va donc pas
> s'étendre sur le sujet pendant 110 ans...j' essaie
> juste de faire avancer le schwimblic.
> Je ne sais pas prendre de radio sans angulateur de
> toutes les façons.
>
> N'y vois aucune provoc de ma part...
> NB : heureusement que notre Tonio est là pour nous
> accorder!
>

Merci Tonio, que ferait on sans lui ?


hmg

04/03/2006 à 23h30

j'ai reçu un angulateur récemment et je n'ai pas eu le courage de commencer a l'utiliser !!!
Lundi je vous posterais une radio d'un autre cas que j'ai eu aujourd'hui..(grosse pêche + double courbure radiculaire )
PS: je suis en Tunisie donc les prix des TTT ne sont pas les mêmes...


Grueavatar nptrc9 - Eugenol
Le Choixpeau magique

05/03/2006 à 00h31

Stéphane Ecrivait:
-------------------------------------------------------
> Ceci n'a rien de provocateur, mais permet
> d'insister sur le fait que la seule radiographie
> ne permet pas de décider quoique ce soit sur ce
> type de dent ; surtout quand elle n'est pas faite
> dans les conditions optimales.

Sur la radio on voit qu'il n'y a quasiment plus de plancher: si je veux bien admettre qu'une mauvaise angulation puisse faire croire qu'il y a plus de plancher qu'en réalité, je vois mal comment le contraire serait possible.


Pa050055 igyagy - Eugenol
MARK

05/03/2006 à 12h14

ben Ecrivait:
-------------------------------------------------------
> Fais gaffe, y'a THEO qui va débarquer.


Fais gaffe, ben, il est peut-être en cure de débenisation, tu vas encore nous le réveiller!


ZORBECA

05/03/2006 à 16h19

hmg Ecrivait:
-------------------------------------------------------

> PS: je suis en Tunisie donc les prix des TTT ne
> sont pas les mêmes...


Si tu as des soucis, je connais une jeune, talentueuse et jolie consoeur qui exerce non loin de chez toi, en plus elle pose des implants.

PS: Son coeur est pris.

A+


trimarc

05/03/2006 à 19h59

ZORBECA Ecrivait:
je connais une jeune,
> talentueuse et jolie consoeur qui exerce non loin
> de chez toi en plus elle son coeur est pris.
>
> A+

quel tombeur ce Zorbeca (et sans Viagra j'espère)



hmg

06/03/2006 à 14h38

deuxieme cas


hmg

06/03/2006 à 14h40

2eme cas

R mjqnwq - Eugenol

trimarc

06/03/2006 à 21h51

je conserve sans aucun doute

au suivant