Cookie Consent byPrivacyPolicies.comimplant et tabac - Eugenol

implant et tabac

Stéphan

10/03/2006 à 11h58

Chers confrères bonjour,

Jeune poseur d'implants, sans vraiment de recul(2 ans), j'ai toujours entendu dire que le tabac et les implants ne font pas bon ménage.
Certes.
Mais vous, comment évaluez vous le risque à poser des implants chez des patients fumeurs ?

J'ai pour ma part déjà posé un implant (24) chez un fumeur léger (mais bonne hygiène, os haut et large), et il s'est très bien ostéointégré et ne me pose aucun problème. Mais sur un cas...

Cependant, là, j'ai un cas idéal en terme d'os, d'occlusion, de motivation, d'hygiène et d'état général, mais bon à 1,5 paquet par jour, j'ai renoncé. Mon patient est en stand by pendant 6 mois, en attendant une hypothétique mais possible arrêt du tabac. Si après 6 mois, il fume toujours autant, ce sera stellite ou bridge, bref, un travail qui me laisserait un petit gout de déception.
Mais bon, sur ce même patient, j'ai extrait trois dents, sans histoire, et eu deux alvéolites ou du moins deux cicatrisations pas belles, douloureuses et longues à se refermer, avec même parfois une petite nécrose au point d'injection. C'est dire si la vasoconstriction induite par le tabagisme n'est pas une vue de l'esprit.

Bref, j'aimerai bien que chacun des poseurs d'Eugénol me donne queques conseils, pour savoir quand poser et quand savoir y renoncer.
Je parle là bien sûr du patient qui fume son paquet par exemple, mais qui brosse très correctement, et présente un contexte osseux ou occlusal favorable à assez favorable. Le gros fumaillou plein de tarte, celui là, je n'en parle même pas !
Par ailleurs, un lien vers de la biblio sur le sujet me ferait bien plaisir (j'ai (mal sans doute) cherché, et je n'ai pas vraiment trouvé mon bonheur).

Amicalement,

Stéphan


Coeur n9py1g - Eugenol
patvat

10/03/2006 à 12h01

Deja traité moi je prefere pas de tabac / implantés


LdL

12/03/2006 à 13h58

Si je me souviens bien de ce que m'a raconté Marc Bert, le tabac n'est pas une contre indication absolue à l'implanto. Alors que l'alcoolisme en est une.
Certains membres actifs du forum m'ont d'ailleurs avoué qu'ils posaient chez les fumeurs sans problème. Perso, mes premiers cas vont probablement se faire chez des fumeurs.
Si on gicle toutes les contre-ind, même minimes, on va pas implanter beaucoup.


ODELAF

29/03/2006 à 12h14

Comme Stephan je n ai pas beaucoup de recul
et j'attends l'avis des gros poseurs

il est vrai que plus de la moitié des consultations "implanto " est faite par des fumeurs pas toujours repentis.

Pas toujours facile de proposer le stelitte à celui qui vient pour avoir des " dents fixes "


Amibien

29/03/2006 à 14h57

Que les fumeurs cessent de nous faire chier avec leurs demandes irréalistes et comprennent une fois pour toutes qu'en plus de nous polluer et de nous empoisonner ils se suicident...

En ce qui me concerne, si fumeur pas d'implants ou alors devis énoooooorrrrmmmme pour qu'ils se cassent (4.000 euros l'implant comme ça je peux les poser deux fois...), le dernier à qui j'ai proposé ce type de devis m'a demandé de lui renvoyer son scanner... ouf ! , et s'il avait accepté le devis alors l'argent aurait eu le don de balayer mes réticences, bin oui personne n'est parfait et tout le monde a un prix...

J'ai connu une fois un grave problème avec un fumeur qui avait arrêté pour reprendre une fois les implants posés, c'était du temps des disques, une vraie galère à vous dégouter des implants,une expérience inoubliable qui s'est soldée par une rupture de la relation patient-praticien mémorable, sans tribunal rassurez-vous, je pense qu'il tapait aussi dans la schnouf mais qu'importe, je crois que c'était vraiment le tabac qui avait fait foirer l'affaire, ainsi que l'hygiène désastreuse...

En ce qui me concerne, si tabac alors pas d'implants...


Avatar ow44t3 - Eugenol
Chicot

30/03/2006 à 19h59

Amibien Ecrivait:
-------------------------------------------------------
> Que les fumeurs cessent de nous faire chier avec
> leurs demandes irréalistes et comprennent une fois
> pour toutes qu'en plus de nous polluer et de nous
> empoisonner ils se suicident...
>

Un peu de tolérance Amibien, sinon je laisse mes clopes chez moi....


> En ce qui me concerne, si fumeur pas d'implants ou
> alors devis énoooooorrrrmmmme pour qu'ils se
> cassent (4.000 euros l'implant comme ça je peux
> les poser deux fois...), le dernier à qui j'ai
> proposé ce type de devis m'a demandé de lui
> renvoyer son scanner... ouf ! , et s'il avait
> accepté le devis alors l'argent aurait eu le don
> de balayer mes réticences, bin oui personne n'est
> parfait et tout le monde a un prix...
>

T'inquiéte, t'es pas le seul à faire comme ça


> je crois que c'était vraiment le tabac
> qui avait fait foirer l'affaire, ainsi que
> l'hygiène désastreuse...

Tabac+hygiène+snouff+alcool.......... T'es suicidaire des fois ?

> En ce qui me concerne, si tabac alors pas
> d'implants...

Hier j'ai eu une patiente fumeuse. Je lui demande combien, elle répond une cigarette par jour, et qu'elle n'arrive pas a s'arréter...
Bonne hygiène. Pour moi, elle est implantable sans risque réel.
Pour un sinus lift p'être pas.



Amibien

30/03/2006 à 22h17

Chicot Ecrivait:
-------------------------------------------------------
> Hier j'ai eu une patiente fumeuse. Je lui demande
> combien, elle répond une cigarette par jour, et
> qu'elle n'arrive pas a s'arréter...
> Bonne hygiène. Pour moi, elle est implantable sans
> risque réel.
> Pour un sinus lift p'être pas.
>
>
>


Si fumeur ou fumeuse, pas d'implant ! Propose lui plutôt la pipe...


ODELAF

31/03/2006 à 10h31

la pipe ca peut m interresser !


Avatar ow44t3 - Eugenol
Chicot

31/03/2006 à 15h22

ODELAF Ecrivait:
-------------------------------------------------------
> la pipe ca peut m interresser !


lol


odelaf

04/04/2006 à 15h43

pas compris CHICOT


Avatar ow44t3 - Eugenol
Chicot

04/04/2006 à 19h27

odelaf Ecrivait:
-------------------------------------------------------
> pas compris CHICOT


pas compris quoi ????


lol ??? ça veut dire MdR (mort de rire) ou signe d'hilarité


Blason dql7mj - Eugenol
growler

27/08/2006 à 12h23

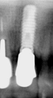
vu hier une patiente de 35 ans que j'ai implanté en janvier 98 pour remplacer la 21 perdue par accident, patiente fumeuse (un paquet par jour). état paro sub-sain (très légère gingivite, aucune poche) il faut dire que même si elle fume beaucoup, son brossage est irréprochable.
amha, dans son cas, facteur terrain très favorable + très bonne méthode de brossage ont fait que malgré l'usage intensif du tabac sur le long terme, aucune perte osseuse n'est constatée à ce jour.

ci dessous le lien vers la photo (extrait de la pano)..c'est dommage j'ai pas pris de photo de l'aspect gingival, mais il est sain.

je lui ai quand même conseillé de diminuer voire stopper le tabac.

@+

Implant21 wre2er - Eugenol

Blason dql7mj - Eugenol
growler

27/08/2006 à 12h52

une photo plus "précise"

Implant 21 suite xrzmdx - Eugenol

carole

28/08/2006 à 22h02

je leur fait la guerre pour arreter ou descendre en dessous de 6 ci/j ...avec hygiène top of course...


Avatar ow44t3 - Eugenol
Chicot

29/08/2006 à 15h27

carole Ecrivait:
-------------------------------------------------------
> je leur fait la guerre pour arreter ou descendre
> en dessous de 6 ci/j ...avec hygiène top of
> course...
>
>


idem pour moi même si F. RENOUARD à l'air de dire que le tabac n'est pas une vraiment une C.I.


lolaB

29/08/2006 à 15h27

le premier souci en matière de tabagisme n'est pas le risque de retard à la cicatrisation?


TD

29/08/2006 à 22h47

Bien sûr qu'il y a un risque de retard de la cicatrisation.
Perso je pose des implants chez les fumeurs. Jusqu'à maintenant je n'ai pas noté de problèmes. Idem pour les sinus lift.Peut-être que j'ai de la chance ou que les emmerdes viendront plus tard ?
Je pense qu'on peut poser des implants chez des fumeurs mais qu'il faut les prévenir qu'il y a un risque plus important chez eux d'échec et leur faire signer un consentement éclairé insistant sur cette notion.


TimtimStop

03/06/2023 à 08h35

Si on résume ca fait 4 pb majeur :
1.Mauvaise Cicatrisation
2. Possible Perte osseuse
3. Risque de nécrose
4. Dépenser son argent pour rien !


J'ai des info sur les implants et le tabac sur ce site pour arreter de fumer : http://plusjamais.club/combien-de-temps-ne-pas-fumer-apres-implant-dentaire