Cookie Consent byPrivacyPolicies.comMontagnes russes ! - Eugenol

Montagnes russes !

val

17/03/2006 à 23h11

un point haut, un point bas : où se trouve le juste milieu ?

Capturer 2 o9ev3i - Eugenol

bjc

18/03/2006 à 00h46

Bonsoir,

Belle question Val, je dirais mème plus, très, très belle question!

J'offre volontier le champagne (pas virtuel) à celui qui trouve la réponse. Je suppose que tu la connais.

@+ Bjc.



blanco

18/03/2006 à 00h54

CLii canine !!
pourquoi pas ext pm sup


val

18/03/2006 à 00h59

blanco Ecrivait:
-------------------------------------------------------
> CLii canine !!
> pourquoi pas ext pm sup


--> cela viendra, ne nous hâtons point !


bjc

18/03/2006 à 07h14

On n'est pas en Cl II, mais en Cl 1,5

@+ Bjc.


blanco

18/03/2006 à 10h13

on parle de la position canine dont la pointe n'est pas en position avec la papille 1èpm inf et canine inf et en avant est une CLII canine
soit les 1.5 on ne peut etre exacte de mesure que sur model
on aura peut etre ce decallage canin qui va s'accentuer si jamais l'espace existant entre 2 pm inf et 1 mollaire ne sera conssomme apres redressement de cette derniere


1 eugenol dmj5np - Eugenol
Dancha

18/03/2006 à 11h26

Où sont 35 et 45 ?
S'il y a agénésie,on ne peut terminer à la fois en C1 canines et molaires, sauf en adaptant l'arcade supérieure (extr. de prémol.) ou en recréant leur espace en vue d'un remplacement prothétique. Choix thérapeutique en fonction du profil et d'un éventuel encombrement postérieur.


val

18/03/2006 à 14h46

Dancha Ecrivait:
-------------------------------------------------------
> Où sont 35 et 45 ?
>

incluses,
forte DDM > et <,
biprocheïlie,
Hyperdivergent ++++
décision d'avulsion des 35.45 d'abord
mb < et >, avulsion de 15.25 après nivellement, alignement



024 vownvo - Eugenol
annie

18/03/2006 à 16h38

moi je 'y connais rien,mais je donne quand même mon avis, je trouve la hauteur de la 36 beaucoup trop haute par rapport à la 26,ce n'est peut-être pas le bon + ou - mais c'en est un


bjc

18/03/2006 à 18h04

Bonjour Val,

Si j'ai compris ta question: c'est comment et selon quels critères et points de réferences, choisir le plan d'occlusion?

Dis moi si je me trompe.

@+ Bjc.


024 vownvo - Eugenol
annie

18/03/2006 à 18h34

si on ne comprends pas la question comment trouver la réponse,sinon que le plan de Camper est complétement à l'envers


val

18/03/2006 à 21h12

bjc Ecrivait:
------------------------------------------------------->
> Si j'ai compris ta question: c'est comment et
> selon quels critères et points de réferences,
> choisir le plan d'occlusion?
>
> Dis moi si je me trompe.
>


--> exact,bjc, l'ampleur de la dénivellée entre les secteurs antèrieurs et postérieurs me faisait penser à un problème basal et alvéolaire quasi irréversible. Je m'interrogeais sur la zone de réfèrence.
Je me demandais et me demande encore quel sera le plan d'occlusion final.Il se dessine peu à peu.
Le cas évolue beaucoup plus favorablement que j'espérais.
J'avais fondé espoir dans le potentiel qu'offre le collage TOTAL des dents car seul ce dernier permet les décompensations dento alvéolaires d'ensemble.
Le résultat me fait persister dans cette voie.




bjc

18/03/2006 à 21h19

Amis du soir, bonsoir;

Donc comment choisir le plan d'occlusion?
Mon champagne va madériser!

@+ Bjc.





024 vownvo - Eugenol
annie

18/03/2006 à 21h27

surelévation du bloc molaires maxillaires,blocage molaires mandibulaires de manière à atteindre un parallélisme entre les deux arcs


bjc

18/03/2006 à 21h54

Annie,

Pourquoi pas, mais dans quel but?

@+ Bjc.


024 vownvo - Eugenol
annie

18/03/2006 à 22h53

trois messages éffacés,je ferai court
1/une question
mésialisation des incisives et canine inférieure et redressement de la 36,manière dancha,ne serait pas suffisant pour garder la place de la 35? et je suppose pareil de l'autre coté mais si je retourne voir la photo,ça va encore disparaitre
2/ dans quel but? pour l'axe parallèle au plan de camper et pour obtenir une meilleure harmonie dento-alvéolaire
rétablir une occlusion inter cuspidienne normale
faut pas me demander de dire plus de bétises,ça ira comme cela


bjc

19/03/2006 à 00h20

Bonsoir,

"manière dancha" Comme c'est mignon!

Voici un cas ou je me dis que je préfère prendre le risque de coller un Bk. de travers plutot qu'une vis.

Chacun ses gouts.

@+ Bjc.

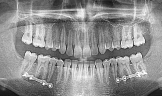
Dscf3108 lhqiut - Eugenol

bjc

19/03/2006 à 00h21

Suite

Dscf3148 kplilv - Eugenol
Dscf3149 d2xbdl - Eugenol

blanco

19/03/2006 à 09h57

bonjour
je pense que dans tous traitement orthodontique on cherche a retablire lr cote esthetique et fonctionnele ou on essais d'etablir une CLI canine et mollaire tout en se basant a axer les inc mandibulleire dans l'axe de la symphyse si le profile le permet


bjc

19/03/2006 à 15h37

C'est bien beau tout ça, mais si le résultat du travail du système passif ne convient pas à Val, ce qui n'est pas certain.

Pourquoi?
Et comment va-t-il le corriger?
A quel moment va-t-il décider d'intervenir?

Et s'il décide qu'il n'y pas raison d'intervenir, pourquoi?

@+ Bjc.

P.S.: C'est ensuite qu'on utilisera les recettes de cuisine.



1 eugenol dmj5np - Eugenol
Dancha

19/03/2006 à 18h08

bjc Ecrivait:
-------------------------------------------------------
> Bonsoir,
>
> "manière dancha" Comme c'est mignon!
>
> Voici un cas ou je me dis que je préfère prendre
> le risque de coller un Bk. de travers plutot
> qu'une vis.
>
> Chacun ses gouts.
>
> @+ Bjc.
>
>

Il semble bien que la radio (et les coupes scan) que tu présentes appartiennent à un cas de traumatologie ou de chirurgie orthognathique. Ce ne sont certes pas des ancrages orthodontiques. Ne mélangeons pas tout, svp ! (à moins que ce ne soit de la provocation ou de la mauvaise foi, cher Bjc, mais je n'ose quand même pas penser cela de ta part).


bjc

19/03/2006 à 18h34

Bonjour Dancha,

Je t'aime bien Dancha; ce n'est pas de la provocation, mais de l'information.
Il faut que tu arretes de penser que si on a une autre manière de penser, un autre avis, ce n'est pas parcequ'on t'en veux, c'est pas contre toi.

Puisque j'ai eu la chance ( moi et non pas le patient) d'etre confronté à cette situation, je l'ai pris pour éxemple, pour montrer que ces techniques ne sont pas éxemptes de risques. Tout comme l'anesthésie intra-osseuse.

C'est un cas extrème, certes, mais ce sont les plus parlants.

@+ Bjc.

P.S.: je pense a tes anneaux chirurgicaux




1 eugenol dmj5np - Eugenol
Dancha

20/03/2006 à 12h01

bjc Ecrivait:
-------------------------------------------------------
>...
> C'est un cas extrème, certes, mais ce sont les
> plus parlants.

Cas extrême ? J’ai mieux que cela (fig. jointes).

Ami d’Eugénol qui lis ces lignes, rassure-toi ! Ce sont des cas de chirurgie maxillo-faciale qui n’ont rien à voir avec les cas d’ancrages osseux orthodontiques, ni avec la discussion en cours. Notre bon Bjc a introduit cet aparté car il aime bien les facéties.

P.S. : je t'aime bien aussi, Bjc !

Chir 1 egronu - Eugenol
Chir 2 tt2k5w - Eugenol
Chir 3 kbx4qh - Eugenol
Chir 4 gsxbro - Eugenol

bjc

20/03/2006 à 13h58

Cher Dancha,

Tu as raison, toutes les actes chirugicaux ne sont pas des échecs. Heureusement!

Bon, revenons au cas de Val.

C'est bien beau tout ça, mais si le résultat du travail du système passif ne convient pas à Val, ce qui n'est pas certain.

Pourquoi?
Et comment va-t-il le corriger?
A quel moment va-t-il décider d'intervenir?

Et s'il décide qu'il n'y pas raison d'intervenir, pourquoi?

Ces questions sont valables avant d'entreprendre de modifier quoi que ce soit, mème par un acte chirgical, je dirais mème surtout!

@+ Bjc.



quidam

20/03/2006 à 16h02

En fonction de la ligne du sourire ?


12