Cookie Consent byPrivacyPolicies.cominstrument transfixiant... - Eugenol

instrument transfixiant...

faouz

01/04/2006 à 22h42

Simple curiosité, petit sondage pour savoir qui fait quoi avec les instruments transfixant l'apex?

Est ce que vs cherchez à les enlever à tout prix, comme Marie?..Ou les laissez en place en cherchant à étanchéifier?..ou les envoyer ds le périapex, en essayant de les extirper avec les US??...galère


Images eb1m5g - Eugenol
tonio

02/04/2006 à 03h21

DC 10...


faouz

02/04/2006 à 11h32

tonio Ecrivait:
-------------------------------------------------------
> DC 10...

Ok Tonio, j'ai oublié de préciser "hormis le DC10"..;))...



Dr - Eugenol
JeRis

02/04/2006 à 13h18

... DC15 ... curetage de kyste ;-)


faouz

02/04/2006 à 14h35

DC10, DC15....ça progresse...On va bientôt arriver au SC25, et parler d'endo quoi!!...


Img 1392 s73srk - Eugenol
Guttaman

02/04/2006 à 14h45

sc 10 ! ;-)

21 preop toajac - Eugenol
21 preop jzjhne - Eugenol
21 preop ipjgeu - Eugenol
21 preop elzmci - Eugenol

sacha&elo

02/04/2006 à 14h49

J'avoue être un peu perdu dans le forum, quelques explications sont elles possibles? :-)


Img 1392 s73srk - Eugenol
Guttaman

02/04/2006 à 14h51

zut ! marche po !


Img 1392 s73srk - Eugenol
Guttaman

02/04/2006 à 14h52

Arghh...


Modif : j'pige pas... :-(


sacha&elo

02/04/2006 à 14h56

Guttaman Ecrivait:
-------------------------------------------------------
> Arghh...
>
>
> Modif : j'pige pas... :-(


Mais euh je veux la voir moi la photo....


Img 1392 s73srk - Eugenol
Guttaman

02/04/2006 à 14h56

...


faouz

02/04/2006 à 15h13

Guttaman, qu'est ce qui se passe? C'est mon ordi ou le tien?...Ne nous fait pas languir comme ça!!


faouz

02/04/2006 à 15h16

sacha&elo Ecrivait:
-------------------------------------------------------
> J'avoue être un peu perdu dans le forum, quelques
> explications sont elles possibles? :-)


Sachatelo,
un instrument transfixant l'apex est un instrument qui a transfixié l'apex.
C'est plus clair ?..;))...(ça me rappelle qq anciens prof..)


Img 1392 s73srk - Eugenol
Guttaman

02/04/2006 à 15h24

ben c'est le mien, j'arrive pas à envoyer cette p*** d'image...et je comprend pas pourquoi...je réessaye...

21 postop pomtkz - Eugenol

faouz

02/04/2006 à 15h32

YEEEESSSSS!!! ça marche!
joli travail.
Alors t'as fait quoi pr retirer ce lentulo?:
tentative de ttt orthograde? Microendochir d'emblée? ou peut être les 2?
La rvg postop est J+combien....

NB : au fait Guttaman, j'espère que tu vas bien, ça fait bien longtemps...


Img 1392 s73srk - Eugenol
Guttaman

02/04/2006 à 15h38

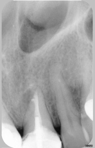
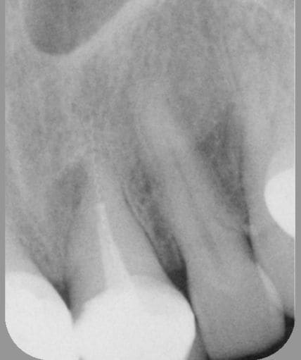
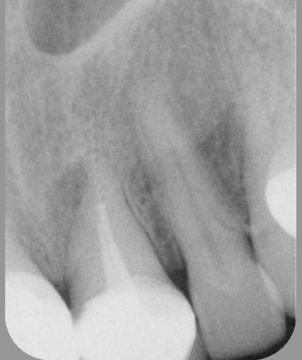
La radio post op a été effectué environ 50 minutes après la préop.
Pas de chir apicale, juste un retrait par voie orthograde dans ce cas, après avoir bien vibrer le lentulo et être passé à coté avec une lime K15, je l'ai retiré en le saisissant le plus bas possible avec une pince de Steiglitz.
L'obturation est au Thermafil.

Et oui, je vais bien... :-)


faouz

02/04/2006 à 15h50

Bravo!
2 questions :
1)est ce que ça t'es déjà arrivé, en cas de lésion périapicale (l'apex est dc résorbé), de repousser l'instrument ds le périapex (avec les US, par ex)?
2)je me demande si on a tjs intéret à les sortir à tt prix? Si pas de lésion, ne vaut il pas mieux étanchéifier le mieux possible? Quel est le rapport bénéfice/risque? Ou alors c'est encore de le fierté...je dois l'enlever, je dois l'enlever, je dois l'enlever, je dois l'enlever..


Audi tt 2007 jzsdts - Eugenol
sbire

02/04/2006 à 15h51

pince de Steiglitz?

je connais pas, tu me postes la photo si ca passe...merci

joli cas


Img 1392 s73srk - Eugenol
Guttaman

02/04/2006 à 16h04

faouz Ecrivait:
-------------------------------------------------------
> Bravo!
> 2 questions :
> 1)est ce que ça t'es déjà arrivé, en cas de lésion
> périapicale (l'apex est dc résorbé), de repousser
> l'instrument ds le périapex (avec les US, par
> ex)?

Non...pas encore...(je croise les doigts)...

> 2)je me demande si on a tjs intéret à les sortir à
> tt prix? Si pas de lésion, ne vaut il pas mieux
> étanchéifier le mieux possible? Quel est le
> rapport bénéfice/risque? Ou alors c'est encore de
> le fierté...je dois l'enlever, je dois l'enlever,
> je dois l'enlever, je dois l'enlever..

Bien sûr qu'il y a un peu de fierté, mais dans ce cas précis, je ne pense que cela était indispensable, car la lésion était plutôt latéroradiculaire et sans rapport avec l'instrument en question. Mais avant de se dire "je le laisse en place", il faut quand même essayer de le retirer (en tenant compte du rapport bénéfice/risque bien sûr). Et puis, c'est assez jouissif de retirer un fragment de 10 mm de long dépassant de 4 bons mm dans le périapex !
De toute façon, il faut aussi un minimum de réussite.



faouz

02/04/2006 à 16h04

sbire Ecrivait:
> pince de Steiglitz? je connais pas,

C'est une pince angulée avec des mors qui s'affinent vers l'extrêmité.
Ca reste quand même assez gros. Rend service si l'instrument remonte assez haut ds la racine, auniveau coronaire..
T'es d'accord avec moi, Guttaman?


Img 1392 s73srk - Eugenol
Guttaman

02/04/2006 à 16h07

Oui, c'est bien ça. On peut quand même la modifier en meulant avec une pièce à main et une fraise adéquate les mors afin de l'amincir sur leur partie externe afin de la rendre encore moins encombrante.

11 248 1  pgedpt - Eugenol

faouz

02/04/2006 à 16h12

Guttaman Ecrivait:
-------------------------------------------------------
> Oui, c'est bien ça. On peut quand même la modifier
> en meulant avec une pièce à main et une fraise
> adéquate les mors afin de l'amincir sur leur
> partie externe afin de la rendre encore moins
> encombrante.


Excellente idée!! Je viens de gagner ma journée. J'en ai une qui traine au fond de mon tiroir. J'essaie dès demain! Merci Guttaman


Audi tt 2007 jzsdts - Eugenol
sbire

02/04/2006 à 21h56

merci, en fait, j'en ai une aussi qui traine...