Cookie Consent byPrivacyPolicies.comcomprends pas - Eugenol

comprends pas

Squash u44zd8 - Eugenol
steph

07/04/2006 à 02h01

Je revois une patiente à qui j'ai posé 2 CCM (16 et 17) 2 mois auparavant.
Tout est OK, sauf....cette récession que se profile sur la racine vestibulaire de 17.
Pourtant le brossage est bon, la gencive rose et ferme, j'ai fait attention à injecter l'anesthésique lentement, pas trop fort, le fil (imbibé d'astringedent) inséré aussi doucement que possible, des provisoires ajustées aux limites et une occlusion réglée en statique.
Alors pourquoi cette récession?
Et pourquoi elle se produit toujours à l'endroit le plus déclive de la gencive?
Je sais que toute technique d'évasement entraîne une légère récession mais là, 1/2mm.
Je ne vois que l'hémostatique en cause mais se serait généralisé.
Je force trop sur le fil?
Alors pourquoi un seul petit endroit se rétracte.
J'en appelle à l'expérience des cliniciens accomplis qui n'ont plus ces problèmes.


dentifrix

08/04/2006 à 12h51

serait liée aux bombé cervical de la couronne?
BRosse a dent a dur ?


carole

08/04/2006 à 14h16

steph...fais des photos ;)

au fait, as-tu essayé l' expasyl?? c' est bien...en ce moment, je fais anesth, fraise à sulcus, laser, puis expasyl..le résultat est très intéressant....


Squash u44zd8 - Eugenol
steph

08/04/2006 à 15h58

J'ai essayé l'expasyl et je suis pas convaincu.
Très bien pour l'hémostase pour l'évasement sulculaire ne m convient pas.
Je passais 2x le produit pour améliorer la lisibilité de l'émergence radiculaire.
Mais je me souviens aussi que l'extrusion de la seringue était difficile, je suis peut-être pas doué pour l'utiliser.
Carole, t'as vu mes photos....mais j'essaierais.


Icon poker h4nm2d - Eugenol
jeff

08/04/2006 à 20h40

ma technique actuelle, c'est de mettre l'expasyl, puis de remettre la provisoire par dessus pendant 2 mn : bon résultat.


Squash u44zd8 - Eugenol
steph

09/04/2006 à 03h58

C'est ce que j'avais envisagé.
Faire une provisoire légèrement surdimensionnée pour écarter la gencive.
Laisser en place 48h et prendre l'empreinte, il paraît que ça donne de bons résultats ; faut que le patient puisse revenir à 2j d'intervalle.


Dent masqu e petite f0pbaj - Eugenol
dudule

09/04/2006 à 11h02

Cela me rappelle les cours du Dr BABEL à Nancy au CES prothèse...
As tu parfaitement respecter lors de ta taille les zones interproximales car sinon le résultat très rapide est de provoquer une récession du point le plus déclive.
Mais imaginant bien que tu le sais déjà, je me demande si comme souvent une carie proximale basse ne t'a pas forcé à descendre tes limites ?

Pour péréniser la prothèse conjointe, il conseillait sur les tailles de toujours légèrement enfoncé au niveau du point le plus déclive pour anticiper la récession obligatoire dans le temps.


Squash u44zd8 - Eugenol
steph

09/04/2006 à 14h10

Je me souviens surtout qu'il insistait sur la forme de contour au niveau des papilles pour éviter de les décapiter avec la fraise, mais pas d'enfoncer la préparation au point le plus déclive.
Je vais donc m'y mettre.
Je crois qu'il utilisait lui carrément du fil de suture en rétraction, mais pour ma part trop difficile à mettre en place.
Sans doute du à l'apprêt qui existe sur le fil pour le faire glisser dans les muqueuses.


Coeur n9py1g - Eugenol
patvat

10/04/2006 à 08h59

essaie le fil cuivre qui rappele la cannetille Roeko stay put N 1
je vais essayer le produit moussant avec les petits cottons cylindriques


damdam

10/04/2006 à 21h54

c'est pas mal le produit moussant mais pas les cotons!!! faut remettre la provisoire dessus si tu veux un bon résultat.... sinon c'esrt comme l'expasyl, bonne hémostae mais pas bonne lecture de la limite


024 vownvo - Eugenol
annie

10/04/2006 à 21h59

expasyl,j'ai un patient qui m'en veut à mort tellement il a trouvé le produit deg....


Ylfwcw979cz1jnx9gfqeaxndiuzk - Eugenol
Algi

11/04/2006 à 10h53

carole pourquoi te compliquer la vie?
1/taille
2/provisoire
3/laser face interne du sulcus pour l'élargir
4/empreinte

entre 3 et 4 possible laisser passer un délai X ou Y afin de laisser possibilité à la gencive de se mettre en place.

entre 1 et 2 possible laser aussi pour eviter réaliser provi sur gencive qui saigne trop et obtenir jolie gencive ensuite (ça "repousse" plus costaud et plus propre, c'est terrible!).

pour 4 pas interdit selon le cas de placer fil ou mousse expansive sous le provisoire (pour moi: fil de retraction bisico imbibé d'huile essentielle de menthe poivrée, ça vasoconstricte, c'est anesthesique local et ça désinfecte pi ça sent rudement bon....).

A bientot chez ben.

ps: tir dans gencive à faire si possible tangentiellement afin de ne pas bruler en profondeur. Ensuite cureter tout doux la partie brulée avec une gracey peu affutée pour peler la partie superficielle et retrouver une muqueuse rosée

ps2: gaffe...si kle provi se descelle opu tombe y'a gros risque d'avoir une néogencive envahissante au niveau des limites qui peut amener à devoir redégager au laser pour repôsitionner provi ou faire essais convenablement.

ps3: pas oublier laseriser moignon taillé pour eviter laisser bacteries et pour obtenir dentine classe II ou III plus dure et meilleur support de scellement ou de collage.


Ylfwcw979cz1jnx9gfqeaxndiuzk - Eugenol
Algi

11/04/2006 à 11h21

sinon pour steph.... une fois que t'auras analysé la situation et si possible trouvé la cause de ta recession, tu fais une petite incision en demi lune à 1 ou 2 mm sous le collet et tu laisse remonter ta languette de gencive pour recouvrir la lacune, facile et rapide.

ps: coup de laser souhaité pour stimuler cicatrisation et laisser une jolie membrane biologique

autre possibilité: directement au laser: faire saigner le bord marginal de la gencive et coaguler le sang qui remonte sur la dent par capillarité, le coagulum (si il n'est pas stupidement brossé) s'épithélialise dans les 48 heures et on recupere de la gencive sans tracas.

puisque le laser "ça sert à rien" ben je montre qu'effectivement ça sert à rien qu'à gagner du temps et se simplifier la vie...


Squash u44zd8 - Eugenol
steph

11/04/2006 à 13h35

Si t'as le cas je suis preneur de photos que tu pourrais réaliser.
Parce que ça me laisse perplexe.


carole

11/04/2006 à 23h28

merci bcp algi pour tous tes conseils...je vais en faire bon usage ;)


Ylfwcw979cz1jnx9gfqeaxndiuzk - Eugenol
Algi

13/04/2006 à 11h56

Bon je reprend... hier ma réponse est pas passée, wanadoo est vraiment une grosse bouse!

1/ méfi! avant de te lancer dans la regeneration de recessions par caillot coagulé entraine toi car si tu chauffes trop (et 7° d'élévation de t° suffisent) tu risque de nécroser et même si avec le laser ça repousse plutot bien t'es bonne pour une à 2 semaines de sueurs froides si au lieu de l'amelioration espérée t'as une recession encore plus prononcée à 4 jours ;0)

pour t'entrainer rien de tel que de faire et refaire des coagulations de caillot sulculaire aprés détartrage ou aprés tailles de moignons.

la manip:
1/faire saigner (donc anesth sans vaso ou injection à distance pour pas diminuer le flot sanguin). pour faire saigner tu peux passer un coupo de detartreur suivi d'un aéropolissage puis tu tires défocalisé ou a puissance reduite pour échauffer légérement, ça crée une vasodilatation et ça se met à saigner bien rouge (important la couleur, faut du sang arteriel tout frais).

Ensuite tu tires un peu plus puissant (gencive - possible) jusqu'à obtenir une consistancde gelée de groseille de ton caillot.

Une fois ce caillot obtenu tu rinces avec la seringue à eau, normalement le truc doit rester en place.

Tu spécifies bien alors au patient de ne pas brosser pendant 2 ou 3 jours et de laisser le bourrelet groseillé en place (le lui montrer avant de le lâcher dans la nature). Si tout se passe bien le truc est epithelialisé dans les 48 heures et ça roule.

important: toujours tirer tangentiellement au caillot et PAS en direction de la gencive, tu passes ta fibre comme un pinceau en tirant et en déplaçant la teralement.


Squash u44zd8 - Eugenol
steph

13/04/2006 à 18h28

Mais y a rien pour l'éviter cette récession?


Ylfwcw979cz1jnx9gfqeaxndiuzk - Eugenol
Algi

13/04/2006 à 18h58

surveiller, si ça se stabilise et que c'est pas inesthetique laisse comme ça.

si ça évolue défavorablement revois occlusion (cf isaie et ses confettis)et profil de la coiffe qui peut favoriser frottements à la mastication si par ex prop plate en vestibulaire.


Squash u44zd8 - Eugenol
steph

13/04/2006 à 19h33

Mais un problème occlusal peut-il me provoquer une récession sur 17 et pas 16?
J'y crois pas.
Je suis convaincu que le problème est d'ordre paro, comme le nom de cette rubrique.
Je voyais plutôt une proéminence de la racine MV, d'où un parodonte fin, fragile, susceptible aux récessions d'autant que l'os pouvait avoir une déhiscence à ce niveau.
Ou faut que je fasse systématiquement une greffe avant chaque couronne.


Ylfwcw979cz1jnx9gfqeaxndiuzk - Eugenol
Algi

13/04/2006 à 20h06

certainement un parodonte fin mais pourquoi cette recession apparait alors 2 mois aprés pose de la coiffe????

qu'esse tu risque à verifier si cette dent est pas en surcharge (et pense à verifier les lateralités et les mouvements antero-posterieurs)?

ensuite, si la recession se stabilise tu pourras toujours envisager de "remettre de la gencive"


Squash u44zd8 - Eugenol
steph

16/04/2006 à 22h40

Je remarque aussi, malgré une procédure identique, que ça n'arrive quasiment jamais sur les dents vivantes.


Squash u44zd8 - Eugenol
steph

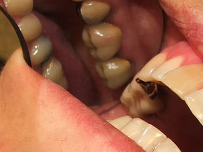
19/04/2006 à 01h43

C'est pas super net, mais on la voit sur 17, non?

Récession vwcusm - Eugenol

024 vownvo - Eugenol
annie

19/04/2006 à 01h59

steph Ecrivait:
-------------------------------------------------------
> C'est pas super net, mais on la voit sur 17, non?


je ne sais si j'ai bien vu,mais elle existe aussi sur les 12 et 13?,comme il n'y a pas de prothèse c'est moin évident


Squash u44zd8 - Eugenol
steph

19/04/2006 à 02h04

Sans doute un terrain susceptible, mais alors pourquoi que sur cet endroit?


Images eb1m5g - Eugenol
tonio

19/04/2006 à 02h06

un bec d'émail sur ton congé que tu n'as pas vu?


12