Cookie Consent byPrivacyPolicies.compulpite sous bridge... les radios!!! - Eugenol

pulpite sous bridge... les radios!!!

faouz

15/04/2006 à 10h42

Tonio,
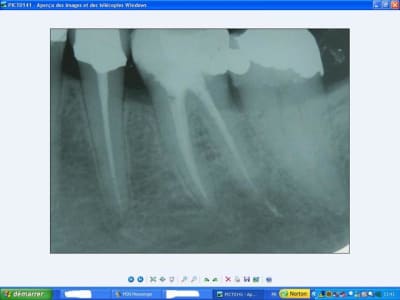
c'est pas un canal en C ? (incidence excentrée...:((.. dommage!). Je ne perds pas espoir


Images eb1m5g - Eugenol
tonio

15/04/2006 à 12h52

faouz Ecrivait:
-------------------------------------------------------
> Tonio,
> c'est pas un canal en C ? (incidence
> excentrée...:((.. dommage!). Je ne perds pas
> espoir


ben justement j'ai pensé à toi pour cette dent. J'avoue avoir été surpris de ne trouver qu'un seul gros canal, je pensais même avoir perforé le plancher lors de la trépanation... ouf!

j'ai donc cherché un canal en C mais après avoir bien sondé dans tous les sens + les loupes comme aide visuelle. Point de canal en C à l'horizon, désolé...

Mais franchement, j'ai fait au mieux vu le contexte...


faouz

15/04/2006 à 13h27

Alors double bravo mon Tonio!
Heu non,...1/2 bravo car il manque l'incid...;)..


Images eb1m5g - Eugenol
tonio

15/04/2006 à 13h50

tiens ma belle alors pour me faire pardonner.

T'es vache avec les p'tits jeunes, purée! ;)

36préop ism6hn - Eugenol
36postop tmfern - Eugenol
26préop jeoz4o - Eugenol
26postop sqas0w - Eugenol

Image19 iebot6 - Eugenol
athos

15/04/2006 à 14h01

bin c'est beau

sinon, petite reflexion pour le bridge, il semble quand meme avoir été fait rapidement apres l'extraction de la 6 non? l'alvéole semble peu comblée, pour l'inter les rapports avec la muqueuse ça a été au pif?


Images eb1m5g - Eugenol
tonio

15/04/2006 à 14h30

je ne sais pas quand la 46 a été extraite. C'est vrai qu'à la radio cela semble un peu frais. Le rapport de l'inter ave la gencive semble tout à fait convenable en bouche.
Après, il aurait peut être fallu attendre encore un peu. Mais je ne récupère le cas qu'en cours de route, alors difficile de se faire un jugement.


faouz

15/04/2006 à 15h48

Jooliiiiii Tonio,
je commencais à me demander si tu savais prendre une radio exc...;)

Athos,
Une telle image osseuse post extractionnelle ne signifie pas forcément que l'extraction est fraiche. Ca dépend du type osseux et des corticales.


Images eb1m5g - Eugenol
tonio

15/04/2006 à 15h57

faouz Ecrivait:
-------------------------------------------------------
> Jooliiiiii Tonio,
> je commencais à me demander si tu savais prendre
> une radio exc...;)
>


ben voilà t'as la preuve maintenant! ;)



Images eb1m5g - Eugenol
tonio

15/04/2006 à 16h04

faouz Ecrivait:
-------------------------------------------------------
> Jooliiiiii Tonio,


Merci. ça ne te donne toujours pas envie de mettre tes hero shaper à la poubelle contre des protapers??? ;)


024 vownvo - Eugenol
annie

15/04/2006 à 23h33

athos Ecrivait:
-------------------------------------------------------
> bin c'est beau
>
> sinon, petite reflexion pour le bridge, il semble
> quand meme avoir été fait rapidement apres
> l'extraction de la 6 non? l'alvéole semble peu
> comblée, pour l'inter les rapports avec la
> muqueuse ça a été au pif?

je trouve bizarre la différence entre la première radio,ou tout semble bien aller et les deux autres,ou il y a un problème apparent de cicatrisation,alors qu'elles sont postérieures à la première


S8ysxdzhdqgw00w4q6m07a5d47q2 - Eugenol
didier72

15/04/2006 à 23h45

problème de contraste de la radio je pense?...


faouz

16/04/2006 à 00h00

> Merci. ça ne te donne toujours pas envie de mettre
> tes hero shaper à la poubelle contre des
> protapers??? ;)

Ca me donne envie d'essayer le Proshaper ou le Herotaper...Pfff, de toute façon, c'est opérateur dépendant quelque soit le système!
On a le protaper à la Fac, donc je l'utilise aussi bien malgré moi...et entre les mains des étudiants ça pète...comme quoi c'est bien opérateur dépendant.
Tonio, faut pas me brancher sur ce sujet, tu le sais...


DrK

18/04/2006 à 13h22

Bonjour,

Concernant le RelayX :

"...C'est un ciment de scellement extraordinaire, si vous l'essayez, vous auerz du mal à vous en passer, mais il faut que soyez plus que sûr de votre travail, sinon ce n'est pas la prothèse que vous allez désceller, mais c'est la dent de son alvéole...." disait le vendeur...
Qu'est ce que vous en pensez, y a t il qq un d'entre vous qui a reussi à désceller sans problème une prothèse scellée avec ce genre de ciment?


024 vownvo - Eugenol
annie

19/04/2006 à 03h16

moi je suis fidèle,à l'oxyphosphate,aucun descellement,mais facile à desceller, que demande le peuple!


12