Cookie Consent byPrivacyPolicies.comVotre avis - Eugenol

Votre avis

ZORBECA

20/04/2006 à 15h02

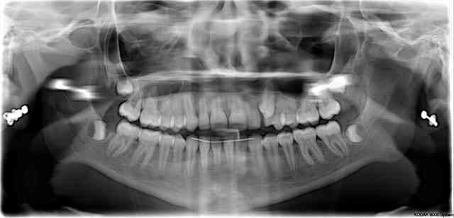
Jeune patiente de 13 ans, après un traitement de 4 années chez un exclusif ODF.

J - Eugenol

Logo vuaztn - Eugenol
mac

20/04/2006 à 15h48

dis lui de rendre les bouts de dents qui manquent.


S8ysxdzhdqgw00w4q6m07a5d47q2 - Eugenol
didier72

20/04/2006 à 16h12

et puis soigner la 35


Image19 iebot6 - Eugenol
athos

20/04/2006 à 16h48

connaitre l'état initial


ELN

20/04/2006 à 18h29

la 23 est en option sur l'arcade....


S8ysxdzhdqgw00w4q6m07a5d47q2 - Eugenol
didier72

20/04/2006 à 18h42

Ah oui, j'ai compris, c'est une pano d'Améli...(voir l'intitulé de la pièce jointe...)

mais ça correspond pas à son age civil...


catrose

20/04/2006 à 19h01

comme athos,il faudrait voir au depart:9 ans,interception

le traitement a pu etre arrete en raison des rhyzalises sup anterieures
j'aimerais bien eclaicir la region 23-27,une retro Zorbeca?


ZORBECA

20/04/2006 à 22h11

catrose Ecrivait:
-------------------------------------------------------
> comme athos,il faudrait voir au depart:9
> ans,interception
>
> le traitement a pu etre arrete en raison des
> rhyzalises sup anterieures
> j'aimerais bien eclaicir la region 23-27,une retro
> Zorbeca?


Les parents de la gamine veulent intenter un procès à l'ODF pour les rhysalises sup antèrieures, le CO a nommé un "expert" qui est aussi un collègue de la même ville et ami du praticien. Il ne veut pas se prononcer.

On m'a simplement demandé mon avis. Je n'ai pas les radios du début.

D'après ce que m'a dit la mère, on lui propose d'extraire la 23.Pour les rhysalises l'ODF ne veut pas entendre parler de faute, la famille souhaite qu'il fasse un dossier pour l'assurance pour "plus tard".

Avez-vous souvent des cas de rhysalises? J'en ai eu un autre cette semaine.

A+


val

20/04/2006 à 23h00

porter un diagnostic de rhyzalyse est un peu court au vu d'une seule pano finale.
1) comparer avec un état initial avant traitement prévaut (référentiel indispensable)
2)vérifier avant et après TT la vestibulo-version (torque)des dents qui laisse en arriere du plan de coupe une partie des apex et offre un faux positif de rhyzalyse
3)observer le rapport couronne/racine de toute les dents et l'harmonie d'ensemble de ce rapport (dents un peu courtes dans le cas présent à mon avis)
4)doute sur 22 (voir pour 12)
5) la position ectopique de 23 me fait penser à ces cas d'endomaxillie du prémaxillaire où on onserve une augmentation du surplomb avec proalvéolie incisive et fausse rhyzalyse


1 eugenol dmj5np - Eugenol
Dancha

20/04/2006 à 23h00

J'ai eu un cas qui ressemble à celui là il y a quelques années. Par chance, je n'avais pas intégré les incisives au dispositif ODF et j'avais, comme preuve, des photos (j'en fais systématiquement à chaque séance). Cela c'est arrêté là. Il y a donc eu rhysalyses sans orthodontie. Donc ne pas tirer sur le pianiste sans preuve irréfutable.
Il faudrait que tu aies plus d'éléments.


ZORBECA

20/04/2006 à 23h20

Merci à tous pour vos réponses, je ne veux pas trop m'impliquer dans ce cas, et faire d'autres radios, pour l'instant. j'ai demandé les radios du début.

Les parents sont contrariés.

Qui leur a parlé de rhysalyse ?

Pour la gamine c'est plutôt la 23 qui la dérange (mais sans plus, 13 ans).

Votre pronostic pour le bloc incisif supérieur! Le souci des parents.

Je ne tire pas sur le pianiste, loin s'en faut.

Merci et A+


limlim

21/04/2006 à 09h37

Regarde le cas que carole a presente, et tu sauras ce qui peut arriver en cas de rhisalyse.


http://www.eugenol.com/eugenol/file.php?2,file=5091


catrose

21/04/2006 à 11h28


val,
c'est vrai que tout le haut est un peu court,mais l'arrondi des apex incisifs signe souvent la rhizalyse(orthographe officielle)
il faudrait des radios periapicales pour etre sur

Zorbeca,demande aussi la pano intermediaire(apres les 6-9 premiers mois)et le dossier sera plus complet
que l'ODF ne se mette pas en cause n'est pas etonnant,mais c'est base aussi sur le flou existant autour de l'origine des resorptions:
Anatomie de l'apex,predisposition genetique,systemique,problemes hormonaux,traumas anterieurs
un seul consensus sur la responsabilite orthodontique dans les cas de forces et duree trop importantes appliquees pendant le traitement
reste donc a detailler les phases de traitement

un element de pronostic? entendu dernierement en conf sur le sujet:le raccourcissement de 6mm d'une racine entraine moins de mobilite qu'une diminution de 3mm d'os alveolaire


Amibien

21/04/2006 à 11h45

Catrose est d'une logique implacable !

Elle doit être comme Carole...


ZORBECA

21/04/2006 à 20h48

Amibien Ecrivait:
-------------------------------------------------------
> Catrose est d'une logique implacable !
>
> Elle doit être comme Carole...


Il est vrai qu'elles sont blondes!!!

Merci Catrose


Amibien

22/04/2006 à 08h47

ZORBECA Ecrivait:
-------------------------------------------------------
> Amibien Ecrivait:
> --------------------------------------------------
> -----
> > Catrose est d'une logique implacable !
> >
> > Elle doit être comme Carole...
>
>
> Il est vrai qu'elles sont blondes!!!
>
> Merci Catrose




wwwouuuuaaaaa, encore une blonde !!! j'aurais mieux fait de fermer ma gueule... elle comprendra... sorry Catrose !


bjc

22/04/2006 à 12h47

Cher ZORBECA,

Cela me rappelle un cas, ou l’expert nommé, comme la jeune patiente était venue en famille, a eu l’idée de demander des radios de la sœur. Et, oh surprise, la jeune sœur qui n’avait jamais eu de traitement O.D.F. présentait aussi des rhizalyses.

Ce n’est qu’une idée.


@+ Bjc.


ZORBECA

22/04/2006 à 14h23

bjc Ecrivait:
-------------------------------------------------------
> Cher ZORBECA,
>
> Cela me rappelle un cas, ou l’expert nommé, comme
> la jeune patiente était venue en famille, a eu
> l’idée de demander des radios de la sœur. Et, oh
> surprise, la jeune sœur qui n’avait jamais eu de
> traitement O.D.F. présentait aussi des rhizalyses.
>
>
> Ce n’est qu’une idée.
>
>
> @+ Bjc.
>
>
Merci, je vois, pour la première fois, le petit frère jeudi prochain.

A+


Cuisinier2 vnbbxx - Eugenol
jeff2

26/04/2006 à 12h32

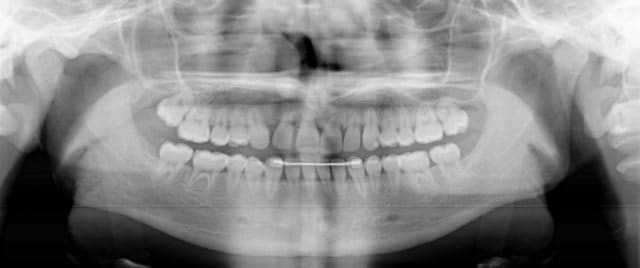
Et là, peut on parler de rhisalyse? Patient avec une superbe occlusion, afmp trés petits et éhgaux et je pense que ca le sauve pour l'instant

Pano23ans oyvjft - Eugenol

smile

26/04/2006 à 19h59

T'es sûr que c'est la Rx "après traitement" ?????

Scandaleux.


val

26/04/2006 à 22h57

smile Ecrivait:
-------------------------------------------------------
> T'es sûr que c'est la Rx "après traitement" ?????
>
> Scandaleux.


---> je crois qu'un peu plus de modération conviendrai car à part un pb sur 12 et 11 avec poche paro, le reste me semble normal. Une rhizalyse ne constitue pas un atermoiement tel qu'on peut le lire sur le forum.
Ce qui me parait bien plus "scandaleux" ce sont les soins merdouilleux de la "pano carolyne" de Lapadoué qui pour le moins engagent la qualité de TT . Me trompe-je ?



smile

27/04/2006 à 22h54

et l'alignement de la 23 ? ( sans parler des axes 24-25 )........


panicard3

21/06/2006 à 00h04

lapadoué Ecrivait:
-------------------------------------------------------
> Non,Val, tu ne te trompes pas; cette patiente n'a
> pas eu de chance ni en soins dits conservateurs ni
> en odf et la pauvre tombe sur moi maintenant!!!
> Trève de plaisanterie,que faut-il faire? dénoncer?


bonsoir
meme problème de rhyzalyse que lapadoué sur patiente de 14 ans qui a fait un an de trt ortho dont le père m'amène la pano POUR AVIS CONCERNANT LES DENTS DE SAGESSE:
rhyzalyses+++ sur PM1 et PM2.
Que faire? en parler au père? a l'ortho que je ne connais pas? "faire celui qui n'a rien vu"?(bien que je ne sois pas favorable à cette dernière proposition)



limlim

21/06/2006 à 12h55

Tu telephones a l'ortho , tu lui fais part de tes interrogations et tu lui demandes qu'il en parle avec son patient. Toi tu a fait ton boulot, l'ortho il peut assumer en douceur et le patient il est content car il sent que tu t'occupes de lui.Et quand tu as un probleme a ton tour tu es tout content que l'on te traite de la meme maniere.

Tu peux aussi foutre la merde et la on passe tous pour des voleurs et on se fera encore plus denigrer et on aura de plus en plus de proces, a chaque fois que tu aides un confrere c'est toi que tu aides.


panicard3

24/06/2006 à 19h56

j'ai téléphoné à l'ortho comme tu me l'as conseillé.ça s'est bien passé et maintenant c'est lui qui gére le pb


12