Tous les forums
Quel Panoramique numèrique choisir ?
20/09/2005 à 18h12
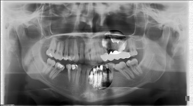
je viens d'acquérir une pano OP100D de General Electric (marque Instrumentarium) c'est ce qu'il se fait de mieux a mon sens aujourdh'ui
je joints une radio d'un patient que je viens de faire (possibilité de faire des zones de renforcement ou on veut voir mieux) A VOIR
20/09/2005 à 22h27
doczim07 Ecrivait:
--------------------------------------------------possibilité de faire des zones de
> renforcement ou on veut voir mieux
Avec ma pano Trophy/kodak je peux, aussi, le faire
21/09/2005 à 09h01
dis donc elle est pas mal ta pano, moi je suis équipé d'une owandy easy les panos sont nuls persone ne repond ni julie,ni mon revendeur (synergy)ils n'arrivent pas à parametrer correctement .
la derniere fois un technicien de julie à passé 4 heures pour regler mais aucun résultat les panos ne sont meme pas exploitables.
jefouttrais la merde au stand de julie à l'ADF, j'emmenerai tous les panos imprimées et vais les exposées au stand.
je suis en train de preparer un dossier de contentieux et nous irons au tribunals'il le faut pour annuler la vente pour vice caché.
j'ai ecrit une lettre RAR à mon revendeur mr TROLEZ de synergy, il est meme pas allé chercher la lettre qui m'est revenu
que ferais tu????
21/09/2005 à 19h35
ZORBZCA ne fait certainement pas d'aussi bons clichés que doczim avec trophy !
21/09/2005 à 20h01
jojo54 Ecrivait:
-------------------------------------------------------
> ZORBZCA ne fait certainement pas d'aussi bons
> clichés que doczim avec trophy !
Tu as certainement raison, mais je suis satisfait du résultat, nous sommes plusieurs à avoir une trophy et nous cherchons à nous améliorer:
Manque de netteté au niveau des incisives.
Je précise que je n'ai pas d'intérêts chez Kodak/trophy, ce qui ne semble pas être le cas de certains pour d'autres marques.