Cookie Consent byPrivacyPolicies.comdark vador le retour - Eugenol

dark vador le retour

Audi tt 2007 jzsdts - Eugenol
sbire

29/04/2006 à 15h40

ostia?


Ivetol gth5hw - Eugenol
ivetol

29/04/2006 à 16h52

sbire Ecrivait:
-------------------------------------------------------
> ostia?

Ostii ?



Audi tt 2007 jzsdts - Eugenol
sbire

29/04/2006 à 17h07

ouistiti?


Grueavatar nptrc9 - Eugenol
Le Choixpeau magique

29/04/2006 à 17h29

sbire Ecrivait:
-------------------------------------------------------
> ostia?

Non non, en français les noms en um forment leur pluriel en ums.


Audi tt 2007 jzsdts - Eugenol
sbire

29/04/2006 à 17h49

ben oui

http://fr.wiktionary.org/wiki/ostium


al

29/04/2006 à 17h54

ivetol Ecrivait:
-------------------------------------------------------
> Je n'ai pas compris en revanche
> si tu tirais aussi dans de la gutta déposée à
> l'apex.

oui, justement pour réchauffer jusqu'au dernier millimètre, et pouvoir le condenser aussi.
depuis que je fais comme ça, je me rends compte que j'arrive à descendre mon fouloir jaune jusqu'à ce dernier millimètre.

> Est-ce que tu instrumentes jusqu'à l'apex, ou tu
> t'arrêtes à 1 mm ?

j'instrumente normalement, jusqu'à l'apex donné par le localisateur.

> Costesseque explique bien que le séchage doit être
> parfait avant l'obturation et que ce séchage ne
> peut être obtenu qu'au laser.

s'il le dit.

> En revanche, je
> n'aime pas sa technique utilisant la pâte
> (cortisomol ?) projetée au laser. Il semble que ce
> soit plus difficile de gérer les dépassements
> intempestifs, et il y a le problème de
> l'étanchéité dans le temps de la pâte versus gutta
> chaude scellée (qui est la technique consensuelle
> validée par les endos ) .

c'est exactement mon sentiment. et qui a été renforcé par les (trop) rares cas d'endos laser/pâte présentés ici.

en tout cas, ravi que tu partages mon avis, et réciproquement. toutes choses égales par ailleurs, bien évidemment.


Ivetol gth5hw - Eugenol
ivetol

30/04/2006 à 15h42

sbire Ecrivait:
-------------------------------------------------------
> ben oui
>
> http://fr.wiktionary.org/wiki/ostium


Genial ce site... A mettre dans les favoris !


carole

01/05/2006 à 23h50

salut les jedi ;)
avez-vous , comme moi, moins de sensib post op ap les endo assistées laser?


024 vownvo - Eugenol
annie

02/05/2006 à 00h49

carole Ecrivait:
-------------------------------------------------------
> salut les jedi ;)
> avez-vous , comme moi, moins de sensib post op ap
> les endo assistées laser?

j'aimerais bien te répondre,mais je n'ai pas de laser,par contre je n'ai pas de sensibilité post opératoire après endo,donc moins que rien,il doit bien y avoir qd même d'autres avantages, enfin j'espère


carole

03/05/2006 à 21h39

annie Ecrivait:
-------------------------------------------------------
> carole Ecrivait:
> --------------------------------------------------
> -----
> > salut les jedi ;)
> > avez-vous , comme moi, moins de sensib post op
> ap
> > les endo assistées laser?
>
> j'aimerais bien te répondre,mais je n'ai pas de
> laser,par contre je n'ai pas de sensibilité post
> opératoire après endo,donc moins que rien,il doit
> bien y avoir qd même d'autres avantages, enfin
> j'espère
>


jamais de sensib en étant bien au bout??? JAMAIS? ben, pourquoi j' en avais de tps en tps?


024 vownvo - Eugenol
annie

03/05/2006 à 22h52

oui mais toi t'es trop jeune pour sentir l'apex,juste , juste,ou alors mes patients me cachent la vérité,ils souffrent en silence,des stoiques,ils ont des scrupules à m'accabler,je sais pas,faudrait leur demander!


carole

04/05/2006 à 21h24

pitet, mais toucher pas si naze pour le reste ;) et loc d' apex ..... je reviens dans 10 ans!!!!


Ylfwcw979cz1jnx9gfqeaxndiuzk - Eugenol
Algi

04/05/2006 à 22h01

4 desmodontites severes en 4 ans..... par contre plein de petites sensibilités juste aprés mais qui disparaissenrt dans les 2 ou 3 heures (le temps que la surpression passe)


Ylfwcw979cz1jnx9gfqeaxndiuzk - Eugenol
Algi

04/05/2006 à 22h04

celle la faudra me dire comment on passe sans laser (et comment on y injecte autre chose que de la pate).


sinon: micjhel costeseque obture cortisomol lentulo+laser et ensuite maitre cone gutta (je l'ai vu y'a 15 jours).

le risque pate seule est qu'elle est trés trés compacte et dure.... pas gai pour une reprise de traitement et donc pate seule pour les 2 derniers mm mais cone foulé à chaud ensuite (je sais je faisais pas comme ça "avant" mais j'ai écouté les copains d'eugenol et me suis remis à la gutta.... par contre la digue....).

Malika1 zb3wlw - Eugenol
Malika3 leoqps - Eugenol
Malika4 nwwg5f - Eugenol
Malika5 wfjdia - Eugenol

Ylfwcw979cz1jnx9gfqeaxndiuzk - Eugenol
Algi

04/05/2006 à 22h06

suite et fin

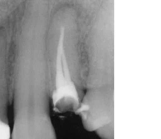
Malika6 u4nrbk - Eugenol

Ylfwcw979cz1jnx9gfqeaxndiuzk - Eugenol
Algi

04/05/2006 à 22h12

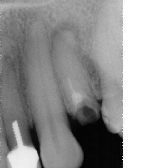
photo lime en place: pas possible aller + loin même en manuel avec une n°8....

1ere endo: lentulo pate trés fluide
2eme: premier tir et relentulo (pate trés fluide poussée par le laser et + épaisse pour la deuxiéme couche au lentulo)
3eme: deuxieme tir (je voulais chopper les 2 racines....) et relentulo et gutta.

ps: cette dent était donnée pour perdue et la seule proposition faite à la patiente était implant.... (idem pour la 22 qui est certes à refaire/reprendre mais sans doute pas perdue....)

y m'a fallu 30 minutes pour desobturer et réobturer, Sc33 sur tenoçns titane et coiffe provisoire posées cet aprtés midi, endo faite y'a 2 jours et RAS.


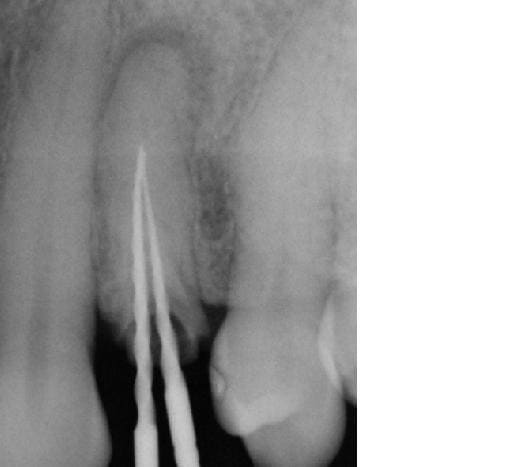
Image19 iebot6 - Eugenol
athos

04/05/2006 à 22h14

de toute maniere le temps te donnera raison ou tort, la guerison apicale sera facile a suivre...

as tu des cas plus anciens traités de la meme façon?


Grueavatar nptrc9 - Eugenol
Le Choixpeau magique

04/05/2006 à 22h19

Algi, si le ciment a pu passer c'est bien qu'une perméabilité existait ? Ou bien est-ce que le laser a permis de virer les calcifications ? As-tu déjà essayé de passer après avoir tiré ?


024 vownvo - Eugenol
annie

04/05/2006 à 22h43

pour Carole je plaisante bien sur,mais qu'il y ait un petit dépassement ou un manque,contre toute attente quelquefois,je suis étonnée qu'il n'y ait pas de douleur,en tout cas c'est ce que l'on me dit,


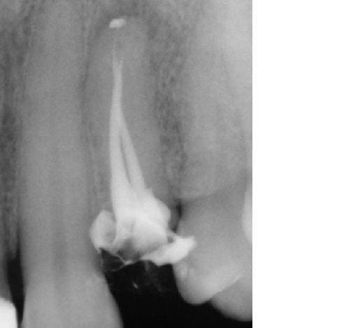
Image 4 lrchtq - Eugenol
Alain

04/05/2006 à 23h21

excusez-moi de vous demander pardon, gentil(s) jedi(s), mais je tombe là dessus:

http://cgi.ebay.fr/New-LaserMed-Fiber-Optic-Handpiece-Assembly-Dental-Lab_W0QQitemZ7614383674QQcategoryZ71377QQrdZ1QQcmdZViewItem

si ça peut servir...


024 vownvo - Eugenol
annie

04/05/2006 à 23h26

il y a marqué bid now!,à ce prix la,pas d'enchérisseur,quelle garantie,peut être que le vendeur a déja fait explosé trois maxillaires!


Grueavatar nptrc9 - Eugenol
Le Choixpeau magique

04/05/2006 à 23h34

Y a ça aussi sinon

http://cgi.ebay.fr/Light-Saber-Darth-Maul-Double-Ended_W0QQitemZ6053959543QQcategoryZ50260QQssPageNameZWD2VQQrdZ1QQcmdZViewItem


024 vownvo - Eugenol
annie

05/05/2006 à 02h53

c'est quoi une lampe de poche?


Ylfwcw979cz1jnx9gfqeaxndiuzk - Eugenol
Algi

05/05/2006 à 11h00

Bien sur que j'ai essayé de passer, j'ai pas pu mieux faire que les 2 limes en place, sans doute une butée (les calcifications passé le 1/3 coronaire sont trés trés rares et donc à ce stade là c'est en général soit un bouchon soit une butée, les 2 étant iatrogénes).


faouz

05/05/2006 à 11h23

Le Choixpeau magique Ecrivait:
-------------------------------------------------------
> Algi, si le ciment a pu passer c'est bien qu'une
> perméabilité existait ? Ou bien est-ce que le
> laser a permis de virer les calcifications ? As-tu
> déjà essayé de passer après avoir tiré ?


S'il y une lésion, en règle général, il y a passage. On ne passe pas toujours, mais il existe.
Donc ds ce cas ci(complexe) ou radiographiquement tout semble calcifié, il y a surement une petite butée.
Cela dit, c'est le nettoyage chimique (hypo/edta) qui a permis de dégager le passage. Cela est objectivé radiographiquement par la fusée de ciment. Le laser aurait simplement permis, voire potentialié cette fusée, il me semble...
NB :joli cas Algi. Dommage il manque la digue..:(


123...