Cookie Consent byPrivacyPolicies.comingression de 36 - Eugenol

ingression de 36

bennic

30/04/2006 à 21h26

Que feriez vous?
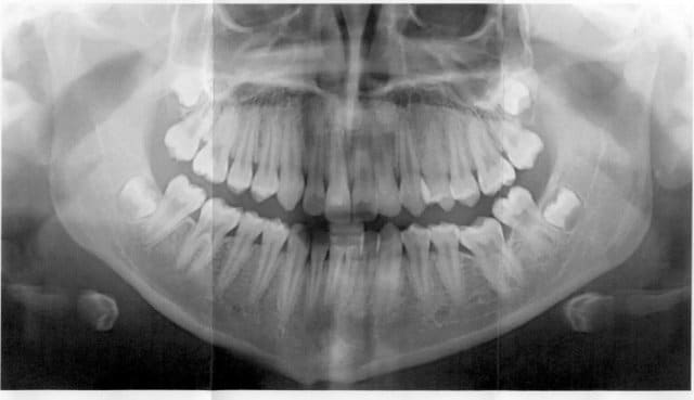
Patiente de 15 ans
La 1° pano est de decembre 2004
La 2° de decembre 2005
Son orthodontiste ne parle que des extractions des 8

Noe3 o4hfiz - Eugenol
Noe4 juqcnn - Eugenol

Squash u44zd8 - Eugenol
steph

30/04/2006 à 21h44

Les sagesses évoluent moins vite que la carie en distal de 35.
Poste le cas en rubrique ODF.
C'est dommage qu'avec une bonne hygiène buccale une carie puisse se développer, donc à traiter si possible.
A traiter pour éviter les bourrages, donc les caries, les fausses poches, les gressions antagonistes...


bennic

02/05/2006 à 12h25

Merci Steph de ta reponse
La carie sur 35 a été traité depuis
Le probleme à mon avis est :
peut on egresser 36 ?
Car si je laisse tel quel elle va continuer à ingresser


Squash u44zd8 - Eugenol
steph

02/05/2006 à 14h14

Qu'est-ce qui pourrait la forcer à ingresser?
C'est le mouvement le plus difficile à obtenir en ODF, donc je crois que de ce côté tu es tranquille.
L'égression peut se faire sous certaines conditions.
Il faudrait voir le diamètre mésio-distal de la 36, sa position (vestibulée ou non), sonder la crête osseuse pour voir si tu risques une déhiscence, ce genre de joyeusetés...
Mais encore une fois un ODF te renseigneras mieux que moi.