Cookie Consent byPrivacyPolicies.comj'adore mes confrères - Eugenol

j'adore mes confrères

S8ysxdzhdqgw00w4q6m07a5d47q2 - Eugenol
didier72

14/05/2006 à 14h05

al ne fait pas de l'humanisme, il fait de l'efficace


Grueavatar nptrc9 - Eugenol
Le Choixpeau magique

14/05/2006 à 14h07

Et moi, mes questions, je pue de la gueule ?

Bon, alors autres questions pratiques: quel est le déroulement de ce cas en cas de traitement par gingivoplastie + facette ?
Est-ce bien:
1ère séance
- gingivoplastie
- préparation
- pose de facette provisoire
2ème séance après cicatrisation
- empreinte

etc..


al

14/05/2006 à 14h59

alhoun Ecrivait:
-------------------------------------------------------
> HN??!!!!!
> ça ne semble pas très humaniste, tout ça!!

oulala si alhoun, s'en mêle, bonjour alhoun, ça se corse...

à catrose : 3 mois seulement ? c'est bien noté, j'en parle à ma patiente.

à Le Choixpeau magique : c'est effectivement le plan de traitement envisagé.


024 vownvo - Eugenol
annie

14/05/2006 à 18h26

catrose Ecrivait:
-------------------------------------------------------
> al,
> ce qui me gene en voyant ta patiente,c'est plutot
> la 11 trop vestibulee et les13 et 23
> c'est mon regard d'odf

on est bien d'accord,moi c'est mon regard tout court sans spécialisation




ZORBECA

15/05/2006 à 20h49

al Ecrivait:
-------------------------------------------------------
> , deux praticiens, passe encore, mais trois !



Tu sais bien " jamais deux sans trois".


Bx1 spw1cx - Eugenol
BX

16/05/2006 à 10h36

Je reprends la photo de al:
http://www.eugenol.com/eugenol/file.php?11,file=5524

D'un point de vue esthétique,si on limite le lifting gingival à 21 ,la 22 paraîtra trop courte: asymétrie par rapport à 12 et déséquilibre des proportions entre 21 et 22.Je crois me rappeller un cour de Gérard Chiche qui, parlant de la beauté d'un sourire,notait l'importance de retrouver une symétrie entre les dents antérieures ( 11/21,12/22,13/23) et ceci d'autant plus qu'elles se trouvent proches du point inter-incisif.
Pour les canines par exemple on peut se permettre une légère asymétrie sans que cela ne choque l'oeil.Par contre 11 doit être le miroir de 21.
Je pense qu'il faudrait donc inclure 21,22 et un peu 23 si on opte pour la chir.


al

06/06/2006 à 14h01

comme promis, le suivi de ce cas :

ce matin, la chir de correction gingivale

Teix correction avt msf2ne - Eugenol
Teix correction apres ebhmod - Eugenol

Image19 iebot6 - Eugenol
athos

06/06/2006 à 14h07

bin oui, CQFD, ça change tout


Grueavatar nptrc9 - Eugenol
Le Choixpeau magique

06/06/2006 à 18h14

Yep !
C'est du bistouri électrique ?


alhoun

06/06/2006 à 18h15

arrête!! tu fais sot!!



al

06/06/2006 à 18h57

non plus jamais de bistouri électrique pour ce genre de cas. trop eu de problèmes.
bistouri standard, lame 11, biseau inversé, et comme j'avais un laser qui trainait, je l'ai aussi utilisé. mais, je le concède, il n'est pas indispensable.


Image19 iebot6 - Eugenol
athos

06/06/2006 à 19h13

une connerie (pendant qu'alhoun ecoute pas): une fraise touati ça marche pas mal aussi dans ces cas là non? la coupe est franche, en generale le resultat est comparable.


al

06/06/2006 à 19h31

je préfère le bistouri, pour une raison simple, c'est que je m'appuie sur les tissus durs sous jacents pour pas déraper. et la coupe est nettement plus franche.

mais ce n'est que mon avis, et si tu veux touatiser, malgré ce qu'on en a dit ici, libre à toi de le faire.

p.s un scoop, y a un rédac chef, qui devrait se retrouver au chomedu dans pas longtemps. le tribun va perdre sa tribune. requiem pour un c...


Grueavatar nptrc9 - Eugenol
Le Choixpeau magique

06/06/2006 à 20h01

alhoun Ecrivait:
-------------------------------------------------------
> arrête!! tu fais sot!!

Ah bah voilà, ça fait des bises à des belges, et maintenant il lui faut un nouveau souffre douleur ! Promis la prochaine fois que tu passes à Paris j'appelle un huissier et un photographe et je t'autorise à venir me faire un ou deux poutoux devant témoins !

Tu peux au moins m'accorder que j'avais correctement identifié l'hémostase au barbecue, je me suis juste trompé de génération.


Image19 iebot6 - Eugenol
athos

06/06/2006 à 20h04

ah...toi aussi papiaux t'étais évité? :):)

sinon je ne touatise plus depuis qu'alhoun me l'a interdit!!


alhoun

06/06/2006 à 20h04

mais c'était juste pour te mettre sur la voie!!


alhoun

06/06/2006 à 20h06

mais je ne t'ai rien interdit, mon athos, il ne manquerait plus que ça!!
j'ai dans mon tiroire des fraises en céramique pour ces trucs, mais bon, elles prennent l'air tous les 36 du mois.


Grueavatar nptrc9 - Eugenol
Le Choixpeau magique

06/06/2006 à 20h13

athos Ecrivait:
-------------------------------------------------------
> ah...toi aussi papiaux t'étais évité? :):)

Oui oui, j'ai reçu un splendide carton d'évitation, avec une adresse dans une cave du 93. C'est quand j'ai vu arriver quatre types en salopette qui n'avaient pas l'air de s'intéresser qu'à mon occlusion, que j'ai eu juste le temps de m'échapper par un soupirail...
Je ne voyais pas ça exactement comme ça, le test des bras !


Pa050055 igyagy - Eugenol
mark

06/06/2006 à 22h19

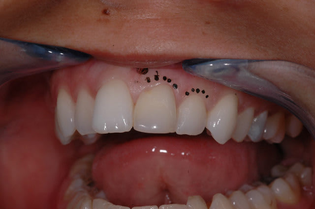
On voit assez bien, Al, l'effet hémostatique du laser sur ta gingivoplastie.
Tu as retouché la 12 seulement au laser, ou au bistouri aussi?

Pour le moment je travaille à la fraise Tissue Trimer, en céramique et au contre-angle rouge.

L'aspect est moins beau, ressemble à une gingivoplastie au laser CO², mais l'effet thermique hémostatique est comparable.

Par rapport à la Touati, évidemment pas de risque d'attaque de la dent, et même contrôle de l'angulation de coupe marginale ou intra-sulculaire, mais en appui sur l'émail.

Pourrais-tu préciser l'image sur le frein: légère freinectomie au laser?


al

07/06/2006 à 00h12

mark Ecrivait:
-------------------------------------------------------
> On voit assez bien, Al, l'effet hémostatique du
> laser sur ta gingivoplastie.
> Tu as retouché la 12 seulement au laser, ou au
> bistouri aussi?

la 12 je n'y ai pas touché. la 22 par contre, bistouri + laser, tout comme la 21.

> Pourrais-tu préciser l'image sur le frein: légère
> freinectomie au laser?

oui. j'ai pas pu m'empêcher de tirer sur tout ce qui semblait me gêner...

et si tu pouvais m'appeler al, et pas Al, ça serait sympa :)


024 vownvo - Eugenol
annie

07/06/2006 à 04h46

al écrivait

facette ? HN, chir ? HN, le tout 750 €

moi j'aimerais avoir le décompte exact,combien pour la chirurgie?


al

07/06/2006 à 10h04

grosso modo, 20 minutes de travail, donc environ 75 euros.


Bx1 spw1cx - Eugenol
BX

07/06/2006 à 11h23

Une remarque perso: je pense qu'avant de se lancer il faut faire un sondage paro pour localiser le niveau de la crête osseuse: si l'on prévoit de rester supra osseux lors de la gingivectomie, on se limite à couper de la gencive.Sinon il faut prévoir de remodeler l'os.
Il y a plein d'articles sur ce sujet.


Flaschcode adresse site cabinet  bsizag - Eugenol
dentissimo

07/06/2006 à 21h30

SI JE PEUX ME PERMETTRE....
ton approche me semble judicieuse et je suis sûr que la patiente te fais entièrement confiance la preuve tu la séduite au point qu'elle se laisse traiter pas toi.... mais 75€ pour 20 minutes de travail... je pense que tu fais ça à prix coutant ... voir même que tu perds de l'argent.... tu ne valorise pas ton excellent travail...le service que tu apportes l'esthétique que tu lui promets que tous les autres lui ont refusé par manque de connaissance ou de pratique de bon niveau mérite plus de reconnaissance....si tu exerces avec le niveau que tu décris cela veut dire que tes frais minutes sont relativement élevés....je parle des frais minute de travail réel....je suis persuadé que ta patiente aurait accepté un devis à 900 voir 1000 euros....


al

07/06/2006 à 21h45

là on s'éloigne du débat, et tu as peut-être raison. simplement annie m'a demandé d'estimer le cout de la chir dans un traitement pareil, je ne l'ai pas dissocié dans le devis, j'estime qu'un taux horaire de 250 euros est correct, voilà.

maintenant pourquoi n'ai-je pas demandé plus cher ? simplement parce que mon tarif compte-tenu de mon environnement est celui-là. je ne suis pas un acharné du fric, contrairement à ce que certains peuvent penser. tact et mesure me dit mon code de déontologie, et plus encore mon code personnel, c'est ce que j'applique.

j'estime que vu le temps que je vais passer au total, qui devrait être d'environ trois heures, le coût horaire de 250 euros me mène à 750 heuros. voilà.