Cookie Consent byPrivacyPolicies.comkyste maxillaire - Eugenol

kyste maxillaire

Antoine

24/08/2004 à 23h58


Bonjour ,

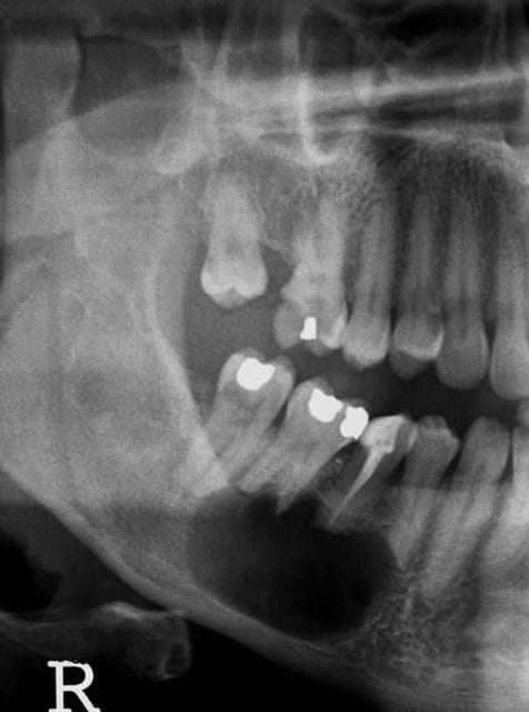
Voilà une pano réalisée suite à un rv
de contrôle . Le patient venais pour du tarte..

a+

Antoine

J lhresd - Eugenol
Coucou chapeau u77mas - Eugenol

angkor

25/08/2004 à 02h16

c'est quoi ton diagnostic sur ce cas et le traitement à suivre , Antoine ?


debrus

28/08/2004 à 12h50

peut-être un ameloblastome, difficile à dire il manque trop d'informations

si c'est le cas, traitement par enucléation en chirurgie

Antoine, peux tu nous donner des infos ?

A +


Antoine

30/08/2004 à 15h45

Désolé pour l'aurtograffe ! quand on valide la pièce jointe , le message est envoyé de suite ..

Je n'ai vu que deux fois ce patient .
Il avait déjà subit une exerèse du kyste avec conservation des dents postérieures . D'après
ses dires , il m'a présenté le tableau comme un
kyste infectieux d'origine dentaire ..
Je suis un peu sceptique mais je n'ai aucune autre infos ..


Canin

01/09/2004 à 15h00

Est-ce que la 46 est vitale ?? Peut-être s'agit-il d'un kyste osseux solitaire ??
Il y a pas de bordure de condensation osseuse et l'image est assez caractéristique on dirait que la masse radioclaire contourne les apex des dents. De plus, le patient a déjà eu des kystes traités avec conservation des dents. Et le kyste osseux solitaire se traite pas simple trépanation pour remplir la cavité de sang car souvent vide ou avec un peu de sérum.

Sinon c'est peut-être simplement une kyste radiculodentaire en rapport avec la 45.


Ylfwcw979cz1jnx9gfqeaxndiuzk - Eugenol
Algi

03/09/2004 à 14h37

Condensation osseuse autour apex dent dépulpée mais aussi peut être image apicale sur racine distale de 6 (?), pourquoi pas essayer de reprendre endo de prémo et voir ce qu'il se passe? Si tu as liquide qui remonte par racine catheterisée c'est à mon avis elle la cause ou en tout cas ça vaut le coup d'essayer de la retraiter (CaOH2 et voir...)et de traiter la lésion par cet accés. Virer le kyste par chir et maintenir les autres dents vitales (si elles le sont bien...) ma parait délicat...