Cookie Consent byPrivacyPolicies.comProTaper Universal - Eugenol

ProTaper Universal

WillyPertot

30/05/2006 à 01h55

Quelques précisions concernant les ProTaper Universal :
- Le S1 et le SX restent exactement les mêmes
- le S2 est modifié : de D3 à D9 les diamètres et les conicités sont augmentés pour qu'il travaille plus dans la zone médiane du canal. Cela permettra au F1 d'avancer plus facilement. De D10 à D16 les conicités sont diminuées pour permettre de retrouver le même diamètre à D16 que précédemment.
- Il y a un F4 (conicité 6% - diam 40) et un F5 (conicité 5% - diam 50) pour les préparations apicales plus larges si nécessaires. Cette conicité est sur 3mm seulement, puis elle est inversée comme tous les finishing.
- Le F1, F2 et F3 gardent les mêmes diamètres et les mêmes conicités apicales (sur 3mm) mais les conicités du reste de la lames sont diminuées pour tous par rapport à la 1ère version, pour avoir encore plus de flexibilité.
- Le F3, F4 et F5 ont été modifiée et ont une section triangulaire concave pour avoir encore plus de flexibilité, en plus de la conicité variable inversée (les S1, S2, F1 et F2 sont toujours en section triangulaire convexe).
- Les pointes ont été retravaillées pour être encore plus passives.
- Tous les instruments existent en version manuelle et en manche Senseus silicone
- Tous les instruments existent maintenant aussi en longueur 31mm.
- Les instruments de reprises :
* ils n'ont que le diamètre et la conicité des 3 premiers mm qui sont les même que les F1, F2 et F3. C'est à dire que le D1 a une conicité 9% diam 30, le D2 conicité 8% diam 25 et le D3 conicité 7% diamètre 20.
En revanche, la conicité est inversée, mais MOINS que celles des Finishing, pour leur donner plus de rigidité. Leurs longueurs sont rspectivement de 16, 18 et 22mm.
* Le D1 est le seul à pointe active. Il a été fait court exprès pour éviter que les praticiens ne travaillent trop loin avec un instrument à pointe active. Certaines personnes ont demandé un instrument plus long lors de l'étude des prototypes mais le choix a été pris sciemment de les laisser plus court. Les D2 et D3 n'ont pas de pointe active.
- Il est clair que la 1ère étape de tout retraitement est de redresser l'entrée coronaire. Cela est indépendant de l'instrument de désobturation (manuel, ultrasons, rotatif niti...).
- Concernant l’obturation il y a les cones papiers stériles du F1 au F5, des cones gutta du F1 au F5 et en plus des obturateurs types Thermafil du F1 au F5 correspondant en conicités et en diamètres au Finishing Files.
Voilà
Bonne soirée à tous.
Willy


Squash u44zd8 - Eugenol
steph

30/05/2006 à 02h03

Merci.
C'est précis, clair et net.


Stéphane

30/05/2006 à 10h20

Et si Marc Apap nous faisait la même chose avec le système alpha file, la nouveauté de l'année... avec un peu de chance, il nous reparlera du giromatic, puisque l'alpha file n'est que le Hero 642 en jaune, qui lui même n'était que l'héli gyro au temps de l'acier.


vianney D

30/05/2006 à 23h16

tout ceci est sans commune mesure avec le nouveau pouvoir trans différenciateur de bioman vert 5674W8 fils illégitime du beta Pro master et de Clara T567 qui elle même était déjà une contre façon chinoise de la redoutableble anti réflexe K27B12
Je crois que j'ai bu trop d'eau BIOlogiquement PURE anti bactéries fécales


WillyPertot

30/05/2006 à 23h26

T'es un RIGOLO... T'a qu'a te laver les mains...


vianney D

31/05/2006 à 12h55

"Ne passons pas a côté des choses simples" (Saucisses Herta, 2001)


WillyPertot

31/05/2006 à 14h07

Eh oui, les blondes bien dorées....


annickromand

01/06/2006 à 19h39

WillyPertot, bonjour, je suis à Marseille et je serais interessée par une formation ou conférence + TP endo, ici de préférence mais pourquoi pas ailleurs. j'avoue être souvent prise entre tous les feux des techniques et des produits et çà me perturbe. Les débats sur eugenol me fatiguent, merci de m'aider
Amitiés
Annick


WillyPertot

02/06/2006 à 01h02

Je regarde les dates des prochaines formations et je te les transmets. Bonne soirée.


024 vownvo - Eugenol
annie

02/06/2006 à 01h36

annickromand Ecrivait:
-------------------------------------------------------
> Les débats sur eugenol me fatiguent,
> merci de m'aider
> Amitiés
> Annick

débats!!!,sur eugenol!!!fatigants!!!tu ne fais que commencer,depuis peu je pense,ne t'ayant pas lu auparavant
il faut une consultation collective pour voir ce que l'on peut faire pour toi,il y a de grands spécialistes ici pour recharger les batteries,demain peut-être le remède!!


ben

02/06/2006 à 13h14

Elle est Marseillaise, abonnée à rien, et ne reçoit même pas de gratuit, faut pas la blamer.


Bx1 spw1cx - Eugenol
BX

02/06/2006 à 13h47

Ben, tu es PSG (?), abonné à tout( ?), et tu blâmes quasiment tout le monde ( là c'est une certitude): à vous deux vous faites donc une parfaite moyenne.


ben

02/06/2006 à 20h50

J'ai à peine rien dit.


canard59

02/06/2006 à 21h32

annie Ecrivait:

> --------------------------------------------------
> -----
> >tu ne fais que
> commencer,depuis peu je pense,ne t'ayant pas lu
> auparavant
>

Annie , Annie, tourne 7 fois ta langue sur ton clavier avant de sortir des inepties pareilles / recherche à "Anrom "et tu verra que ce n'est pas une débutante sur Eugénol ...

Faut vraiment tout te dire Annie !!!!!!!!!



Pa050055 igyagy - Eugenol
mark

02/06/2006 à 22h28

à toute fin utile, pour annickrommand
j'ai reçu une invitation
"reprise de tt canalaire, tt des perforations"
Proust
Marseille

22/06
par GACD
avec Dentsply Maillefer

y'a de l'Universal sous roche à Marseille, pas que de la girelle! :)))


024 vownvo - Eugenol
annie

03/06/2006 à 04h08

canard59 Ecrivait:
-------------------------------------------------------
> annie Ecrivait:
>
> >
> --------------------------------------------------
>
> > -----
> > >tu ne fais que
> > commencer,depuis peu je pense,ne t'ayant pas lu
> > auparavant
> >
>
> Annie , Annie, tourne 7 fois ta langue sur ton
> clavier avant de sortir des inepties pareilles /
> recherche à "Anrom "et tu verra que ce n'est pas
> une débutante sur Eugénol ...
>
> Faut vraiment tout te dire Annie !!!!!!!!!

excuse moi,mais ce n'était pas le même pseudo,d'ou la confusion


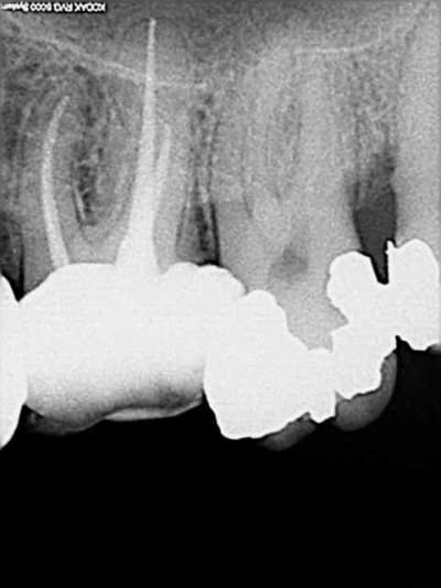
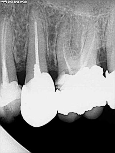
Images eb1m5g - Eugenol
tonio

12/06/2006 à 23h24

premier retraitement ce jour avec les protaper universal.

la prise en main est facile. On n'est pas dépaysé par rapport aux protaper classiques.

obturation par compactage avec les cones protaper.

Dac1 y73xfd - Eugenol
Dac2 ymwxen - Eugenol

Coccinelle mgl0qv - Eugenol
murielle

13/06/2006 à 21h29

J'ai aussi esssayé aujourd'hui les protaper de retraitement. C'est bien mais il me manque quelques précisions:
- le réglage de la vitesse et du couple idéals pour chaque instrument. (j'utilise un moteur nouvag)
- à quelle profondeur doit-on emmener chaque instrument, ou plutôt quand doit-on passer en particulier du D2 au D3?
- peut-on travailler un peu en pression avec ces protaper ou faut-il se conformer à la notice de maillefer qui dit, si mes souvenirs sont exacts, qu'il faut d'abord passer une lime 10 avant d'emmener le protaper de retraitement dans le canal (auquel cas ces protaper perdent beaucoup de leur intérêt à mes yeux s'il faut d'abord exporer tout le canal manuellement avant de le reprendre...)
Bref, je crois que je n'ai pas tout bien compris.
Willy, au secoooouuurs...


WillyPertot

18/06/2006 à 19h19

Désolé du retard Murielle, ça fait un moment que je n'étais pas revenu sur le site...
En fait il faut passer des limes manuelles pour s'assurer que le canal est libre dans le cas de traitement initial, pour le ProTaper, mais aussi pour tous les instruments nickel titane.
En revanche, pour les instruments de retraitement, il n'est pas nécessaire de le faire.
Un radio préopératoire te permet d'avoir une approximation de la longueur de l'obturation que tu souhaites éliminer du canal et une idée de l'accès coronaire.
La première étape consiste à redresser l'accès coronaire pour que les instruments travaillent dans l'axe du canal.
Puis les instruments de désobturation sont utilisés, mais pour ne pas avoir de probème, il ne faut pas avoir d'idée préconcue sur la profondeur d'utilisation de chaque instrument. En d'autre terme, il faut désobturer et avancer tant que l'instrument avance et désobture, sans le forcer.
Dès qu'il bloque on passe à l'instrument de diamètre directement inférieur. Si celui-là bloque aussi, on passe à une lime manuelle précourbée, après avoir pris une radio de contrôle.
C'est le même principe que la reprise de traitement avec des limes manuelles : il ne sert à rien de continuer à pousser un instrument, sous peine de perforer ou de le casser.
S'il y a une butée, on la passe avec une lime acier précourbée, jamais avec un instrument rotatif.


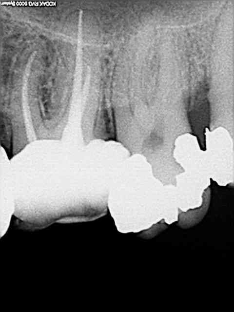
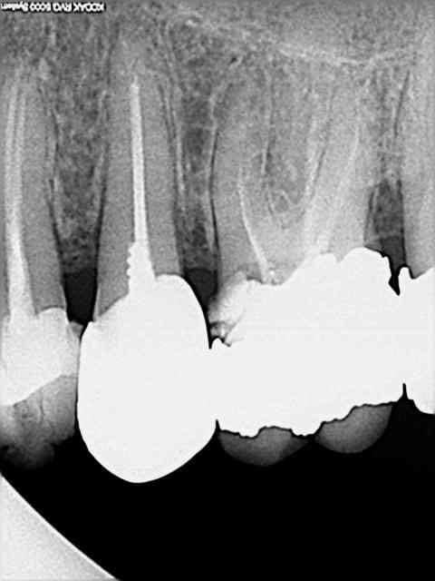
Coccinelle mgl0qv - Eugenol
murielle

18/06/2006 à 23h47

Merci pour ta réponse Willy.
Reste juste la vitesse de rotation? En essayant, il m'a semblé un peu plus efficace d'utiliser les protaper de retraitement un peu plus rapidement(500 tours/mn) que les protaper classiques que je fais tourner à 350 tours/mn. Est-ce que cela a seulement une importance?


Images eb1m5g - Eugenol
tonio

19/06/2006 à 11h04

murielle Ecrivait:
-------------------------------------------------------
> Merci pour ta réponse Willy.
> Reste juste la vitesse de rotation? En essayant,
> il m'a semblé un peu plus efficace d'utiliser les
> protaper de retraitement un peu plus
> rapidement
>
>
même constatation que toi.


WillyPertot

19/06/2006 à 16h15

Ca peut effectivement aller un peu plus vite à 600 ou 700 tr/min en présence de gutta, et essentiellement avec le D1... mais personnellement je n'aime pas trop courir ce risque.
Ca prend un peu plus de temps (quelques secondes) mais on maitrise mieux à 350tr/min.