Cookie Consent byPrivacyPolicies.comosteocondensation - Eugenol

osteocondensation

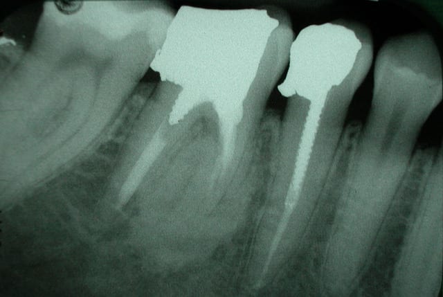
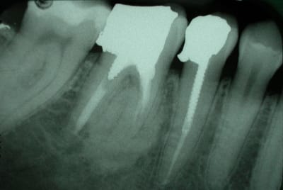
Img 1744 z0evts - Eugenol
dumaille

31/05/2006 à 19h42

qu'est que cela peut il etre?
dent asymptomatique.

Dscn0331 hktuee - Eugenol
Dscn0332 nmph8f - Eugenol
Dscn0333 jdurcp - Eugenol

dr.demolay

31/05/2006 à 20h02

Normal mon chou, rien à faire lésion cemento-osseuse très difficile à classer même pour l'oms
tu peux écarter les fibromes cemento-ossifiant (il manque le halo radio clair périphérique) e n'est pas non plus une dysplasie fibreuse il n'y apas de déplacement de structure dentaire tu peux t'orienter vers une dysplasie céménto-osseuse péri apicale à forme dense quel age? Femme?
c'est^pas méchant, c'est souvent une formation cementoïde corrélable au traitement endo, l'os est fou et ne reconnaît plus les cellules cimentaire...
Laisse dormir ;))


Img 1744 z0evts - Eugenol
dumaille

31/05/2006 à 21h16

c une femme d'une trentaine d'année.
mais si j'avais souhaité reprendre le traitement avant de realiser une couronne, y a moyen? ou vaut mieux laisser tomber.


dr.demolay

01/06/2006 à 00h13

je ne suis pas endo, mais en temps qu'osseuphile je ne rettt pas pas d'inflammation sup dans ce flou ossifiant et les images en distal de la 7 c'est là depuis longtemps ou c'est de l'amalgame tout frais, fais ta couronne en expliquant la présence de cette image ostéocondensante à la patiente , femme 3 décade correspond bien avec une dysplasie cemento-osseuse terme anapath qui veut dire on s’en fout il ya des cellules cementaire et osseuses en structure malformative résultant d'une anomalie du développement d'un tissu .


Img 1744 z0evts - Eugenol
dumaille

01/06/2006 à 01h30

pour le bout d'amalgame figée en distale de 47, je ne sais pas depuis quand il est là car c la première fois que je vois la patiente.
dernière interrogation, ce phenomene est il associé à une resorption radiculaire?(qui pourrait comprometre la durée de vie de la dent?)


dr.demolay

05/06/2006 à 17h02

tres lentement evolutif certe!