Cookie Consent byPrivacyPolicies.comA vos appareils photos - Eugenol

A vos appareils photos

Kanye

04/06/2006 à 20h21

Qu'on vienne encore me dire que le nuage de Tchernobyl s'est arrêté à la frontiére...


Dr - Eugenol
JeRis

04/06/2006 à 20h59

annie Ecrivait:
-------------------------------------------------------
> et a la sonde et examen clinique tout allait
> bien?

... je n'en sais rien, faudrait lui demander!



> dommage que l'on ne puisse pas prendre des photos
> sous cet angle en bouche pour assurer le bon
> ajustage !

... là, tu n'as pas besoin de photos pour voir que ce n'est pas ajusté!



Dr - Eugenol
JeRis

04/06/2006 à 21h17

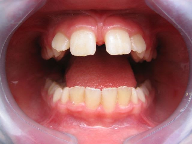
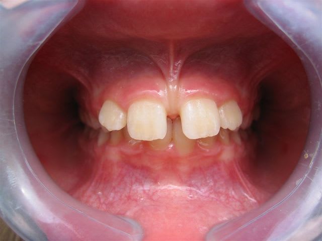
... ma gamine, bientôt 9 ans.

Père CD ... traitement d'ortho.
Mère CD ... traitement d'ortho.

Les conseils sont les bienvenus.

... je vous rassure, le reste de la gamine est lui plutôt réussit.

... pas de rapport avec Tchernobyl ... enfin j'espère!

1 0606 qvqx10 - Eugenol
2 0606 cmnadc - Eugenol
3 0606 btwdg4 - Eugenol

Dr - Eugenol
JeRis

04/06/2006 à 21h19

... suite

4 0606 vw1tvv - Eugenol
5 0606 o8lqv6 - Eugenol
6 0606 ihytbr - Eugenol

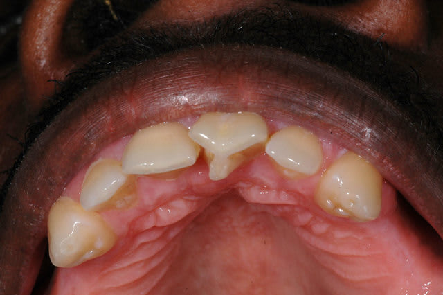
Dr - Eugenol
JeRis

04/06/2006 à 21h28

... ajustage ...
CCM avec masse d'épaulement réalisée il y a qqs années extraite pour raison paro.

Img 0747 djvbsd - Eugenol
Img 0748 q6aayu - Eugenol

024 vownvo - Eugenol
annie

04/06/2006 à 22h06

pour ta gamine je ne suis pas spécialiste mais il me semble que la première chose à faire est une freinectomie,suivie d'un apparei pour corriger l'occlusion


ZORBECA

04/06/2006 à 22h36

JeRis Ecrivait:

>
> Les conseils sont les bienvenus.
>
> Consulter Catrose, sur rendez-vous... possiblité d'avoir un abonnement Paris-Tel Aviv AR...ou voir rubrique ortho il y a des "pointures"

Seuls conseils que je puisse me permettre.


024 vownvo - Eugenol
annie

04/06/2006 à 23h59

lapadoué Ecrivait:
-------------------------------------------------------
> Ouais, moi, je chausse que du 2, mais j'avais
> quand même un avis! :))


t'inquiete Lapadoué,les pointures viendront confirmer ce que l'on a dit
je te signale que moi aussi j'ai donné un avis
on est la pour ça,non? apres chacun fait ce que bon lui semble

même on peut servir de référence à l'envers,à savoir ceux qui feront systématiquement le contraire de ce que je dis,ça aide quand même à donner une direction!!


bjc

06/06/2006 à 00h23

Bonjour JeRis,

C’est un cas simple ou il faut juste stimuler un peu la croissance et reformer les arcades.

C’est le type même du traitement d’interception en denture mixte.

@+ Bjc.




Dr - Eugenol
JeRis

06/06/2006 à 09h29

annie

Date: Dim 4 juin 2006 20:06:03

pour ta gamine je ne suis pas spécialiste mais il me semble que la première chose à faire est une freinectomie,suivie d'un apparei pour corriger l'occlusion

... freinectomie; elle se fait de moins en moins actuellement d'après l'ortho; et heureusement, je n'avais pas tellement envie de m'y coller!


lapadoué

Date: Dim 4 juin 2006 20:14:49

Pas de panique, petite DDM, bonne classe 2 sq,un peu de supracclusion ---> la laisser grandir un peu, et la confier à un ODF pour un peu de fonctionnelle et un alignement.
Vue la jolie forme des dents, le résultat sera nickel!
Tu ne serais pas dans la région de Dancha ??

... elle est en classe I, avec une grosse supra.
TT "fonctionnel" prévu dans qqs semaines.
Je ne suis pas dans la région de Dancha.



ZORBECA

Date: Dim 4 juin 2006 20:36:30

Consulter Catrose, sur rendez-vous... possiblité d'avoir un abonnement Paris-Tel Aviv AR...

... elle y va pratiquement tous les ans (mais pas chez Catrose)... mais un TT ortho. à distance, avec RdV une fois par an ... peu de chance d'être efficace.



bjc

Date: Lun 5 juin 2006 22:23:32

Bonjour JeRis,
C’est un cas simple ou il faut juste stimuler un peu la croissance et reformer les arcades.
C’est le type même du traitement d’interception en denture mixte.

... c'est en cours ... un appareil de chez Rocky Mountain va être mis en place, à porter environ 16 heures/jour; il va falloir que je m'en fasse expliquer le principe lors de la séance de pose.

Merci pour vos réponses :-)


Images qct94b - Eugenol
themumbly

06/06/2006 à 10h44

j'ai un peu mal en bas à gauche

P1020187 l92vwd - Eugenol

Utilisateur banni

06/06/2006 à 10h54

Normal... T'as vu l'obtu de la 36...


al

06/06/2006 à 20h29

elle est pas jolie mon incisive ? quand il fait chaud, elle peut servir de ventilateur...

3pales 1 qukcgj - Eugenol
3pales 2 dwpndg - Eugenol

024 vownvo - Eugenol
annie

06/06/2006 à 21h16

et la radio? peut elle jumellée?


024 vownvo - Eugenol
annie

06/06/2006 à 21h19

JeRis Ecrivait

>
> ... freinectomie; elle se fait de moins en moins
> actuellement d'après l'ortho; et heureusement, je
> n'avais pas tellement envie de m'y coller!
>
pourquoi ne plus la pratiquer?




Dr - Eugenol
JeRis

06/06/2006 à 21h26

... inutile d'après les orthos.


Dos02 qpcfgi - Eugenol
Rick

06/06/2006 à 21h52

Vous avez de la chance, je n'essuie que des plâtres.

Jumelle2550 ctbbrg - Eugenol

12