Cookie Consent byPrivacyPolicies.comà Vos plumes - Eugenol

à Vos plumes

Avatar jt8tlq - Eugenol
bogenom

08/06/2006 à 14h35

Mes chers confreres
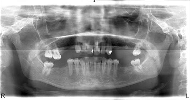
Présentation du cas

Pano aoffau - Eugenol
Droit taz5gn - Eugenol
Face yqqudo - Eugenol
Gauche ypoy0w - Eugenol

Avatar jt8tlq - Eugenol
bogenom

08/06/2006 à 14h41

patiente de 28 ans
extractions effectuée il y a 8 ans (par un autre)
Migraine++++ depuis toujours sous traitement
envoyé par son Medecin qui estime que cela vient des dents
actuellement en cours d'assainissement paro
patiente motivée et ouverte à un beau plan de ttt global

Merci d'avance


Dos02 qpcfgi - Eugenol
Rick

08/06/2006 à 14h54

Contacts incisifs ou dento palatins?


Avatar jt8tlq - Eugenol
bogenom

08/06/2006 à 14h55

incisifs avec usure palatine des Incisives Sup


Avatar jt8tlq - Eugenol
bogenom

08/06/2006 à 16h36

mon probleme est la gestion de la perte supposée de DV

Sachant que la patiente est motivée pour des implants et que le budget pencherait vers implanto au Maxillaire et stellite à la mandibule


Amibien

08/06/2006 à 18h13

stellite à la mandibule ???? non !!!

il lui faut un traitement orthodontique fixe avec une piste en haut, cela ne doit pas être difficile de trouver la DVO, fais-lui une prise d'articulé à la Gerber, pose les verrous et les arcs, dès que les dents sont nivelées pose les implants et prévois des provisoires sur piliers implantaires avec collage des verrous des dents manquantes afin de terminer l'ortho en t'appuyant dessus...

15 mois


Tilc

08/06/2006 à 19h58

Dans l ordre d interet pour la patiente :
1) Ortho tu recupes une classe 1 canine et tu reevalues

2) Si elle a vraiment une perte de DV au niveau de la face je dirais : Plaque resine en haut et en bas sans dents mais avec des bourrelets en resine a la place .
Tu remontes ta DV en rajoutant de la resine sur tes bourellets et tu lui laisse le temps de s habituer a chaque nouvelle DV
et quand tu as assez de hauteur tu commences a renvisager les choses .
Mais bon pour un cas comme ca faudrait voir la tete de la patiente parce si niveau gueule tous les etages sont proportionnés ...

Et quest ce que tu comptes faire pour le Kyste en regard de 22 ?


alhoun

08/06/2006 à 19h59

t'ar ta gueule...


Tilc

08/06/2006 à 20h11

c est la recré alhoune , quand tu veux !


al

08/06/2006 à 20h16

Tilc Ecrivait:
-------------------------------------------------------

> Tu remontes ta DV en rajoutant de la resine sur
> tes bourellets et tu lui laisse le temps de s
> habituer a chaque nouvelle DV

ça c'est une conception largement dépassée. les bons occlusos te diront que tu peux remonter ta DV en une seule fois, y a pas de problème.


Ylfwcw979cz1jnx9gfqeaxndiuzk - Eugenol
Algi

08/06/2006 à 20h29

Al al al..... tu remontes en une fois et la patiente va brutalement bien.

Super dans, je dirai, 80 à 90% des cas puis y'a les 10 à 20 restant qui ne supportent pas d'aller bien "de suite".

pour avoir "remonté" pas mal de patients ces 3 ou 4 derniéres années je pense que Tilc a raison.

Un exemple de cas arrivé à un pote à moi (on bosse pareil, j'aurais pu avoir la même probléme):

Patiente remontée selon technique Gerber, 15 premiers jours le bonheur absolu puis ça c'est dégradé pour finalement se terminer par menaces d'attaque et exigence de remboursement des soins...

Pourquoi? Ben pasque comme l'a dit la patiente au bout des 15 jours de bonheur: "mais moi, avant, j'allais voir 5 docteurs par semaine..... qu'est-ce que je vais faire maintenant que je vais bien?"

Comme l'a dit Jeff2 et comme je le pense aussi la maladie, la douleur et autres tracas de la vie ne sont pas là pour rien. Supprime tout ça et, même si t'as bien bossé, tu te retrouves avec un patioent qui ne supporte tout bonnement pas d'aller bien d'un coup d'un seul.

Ce soir: patiente, essayage totales, on a remonté la DV de presque 1cm et je n'irai pas plus loin pour l'instant même si je pense qu'elle pourrait supporter plus car elle est depressive, a perdu son mari recemment et ne supporterait sans doute pas d'avoir des dents de quelqu'un qui va bien alors qu'elle va mal.


Amibien

08/06/2006 à 21h04

Algi, tu fait vraiment trop de blabla, tu es bien un marseillais et cela ne m'étonne pas que tu n'arrives jamais à te taire pendant les cours (;-)))


024 vownvo - Eugenol
annie

08/06/2006 à 22h41

si je vois bien il y a des racines qui trainent coté 47
l'os en bas a l'air bien pour des implants mais en haut? juste pour commencer à m'y interesser ça m'a l'air un peu sable mouvant,non ?


ben

09/06/2006 à 19h41

Pour les racines au niveau de 47, j'ai un très bon opticien à te conseiller, pour le sable mouvant, vu que tu ne poses pas et que tu ne délègues pas non plus, tes "impressions" tu peux te les garder bien au chaud dans ta tête.


024 vownvo - Eugenol
annie

10/06/2006 à 01h30

je n'avais pas vu que tu m'avais poursuivie jusqu'ici,ton post n'apporte pas grand chose non plus,comme d'habitude
pour la 47,il y a au moins une racine,c'est toi qui as besoin de lunettes,ou regarde la pano avec tes loupes ou ton beau microscope
pour mes interventions,tu m'excuseras mais ce n'est pas à toi d'en juger l'opportunité

ps si ce n'est pas une racine,il y a qd même une image suspecte ou un artefact,mais ce n'est pas net!


Image19 iebot6 - Eugenol
athos

10/06/2006 à 09h54

vers 36


024 vownvo - Eugenol
annie

10/06/2006 à 14h44

ça au moins Athos,c'est une rectification justifiée,désolee,j'avais la tête à l'envers et me suis trompé de coté,effectivement cote 36,37


Image19 iebot6 - Eugenol
athos

10/06/2006 à 16h36

je t'en prie...
mais je crois qu'en fait, ben est amoureux de toi.


Amibien

10/06/2006 à 17h30

athos Ecrivait:
-------------------------------------------------------
> je t'en prie...
> mais je crois qu'en fait, ben est amoureux de toi.


Ben amoureux ? il est bien trop malin pour ça...


Pa050055 igyagy - Eugenol
mark

10/06/2006 à 17h38

oui c'est cela!

En fait il cherche à t'humilier en public pour faire de toi sa "chose".

Pourtant j'ai du mal à l'imaginer avec la casquette de cuir, les bottes et la cravache...


024 vownvo - Eugenol
annie

10/06/2006 à 17h47

vous avez l'imagination trop fertile!
je pense plutot qu'il est adepte des jeux de balles,ou du tac au tac,ou que sais je encore!
je n'envisage pas ses propos,autrement que ludiques,je n'y répondrais jamais si je supposais le contraire


Pa050055 igyagy - Eugenol
mark

10/06/2006 à 17h58

Laisse moi te dire toute mon admiration pour cette distanciation bienveillante dont tu fais montre au plus fort de l'épreuve.

J'envie même ce flegme so british.

Alors que je serais en proie à une réaction de type épidermique, sur toi tout glisse comme sur les ailes d'un palmipède:)


024 vownvo - Eugenol
annie

10/06/2006 à 18h05

je suis joueuse de tempérament,je considère cela comme un jeu,alors je joue
si les règles sont outrepassées,que le jeu devienne un vrai conflit,je serais quand même apte à me défendre et si cela ne m'amuse plus,je traiterais par le plus grand mépris et un silence sidéral ce genre d'attaques


Image19 iebot6 - Eugenol
athos

10/06/2006 à 18h33

les ailes d'un palmipede!!!! je suis MDR!!!! Mark les ailes d'un palmipede!!!!

un palmipede!!! c'est trop drole!!! ah !!...faut que je googelise palmipede!!!

tain....Mark...les ailes d'un elfe, d'une nymphe,d'un ange, a la limite les ailes du desir, mais les ailes d'un canard....tain...Mark...


Pa050055 igyagy - Eugenol
mark

10/06/2006 à 23h28

Athos, à palmipède tu devrais trouver l'albatros, que ses ailes de géant empêchent de voler... ;)


12