Cookie Consent byPrivacyPolicies.comy a vraiment des jours sans - Eugenol

y a vraiment des jours sans

alhoun

13/06/2006 à 12h44

patient adressé pour réhabilitation haut gauche.
devis pour une greffe sinusienne + 4 implants.
le patient voulait absolument un bridge de sa canine à deux implants postérieurs, et sans greffe.
il est parti en claquant la porte.
je suis sûr que quelqu'un lui fera.
la preuve.

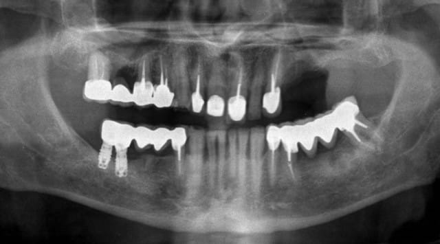
Pano v n3fg8e - Eugenol

al

13/06/2006 à 12h58

alhoun ! c'est quoi cette merde en noir et blanc que tu balances sur le forum.

ooooops...


Grueavatar nptrc9 - Eugenol
Le Choixpeau magique

13/06/2006 à 13h10

Pourquoi est-ce qu'il ne retourne pas voir celui qui a fait le secteur 4, puisqu'il était si bien ?

Alhoun, Amibien te dirait que tu as voulu vendre la solution avant de vendre le problème (ou un truc dans le genre).

Al, c'est pas bien de retenir sa colère comme ça, maintenant tu vas être énervé au moins pendant toute la semaine !


Image19 iebot6 - Eugenol
athos

13/06/2006 à 13h13

il voulait la meme chose qu'en bas donc...


Image19 iebot6 - Eugenol
athos

13/06/2006 à 13h14

va s y papiaux, je suis derriere toi....a l'abri :):)


Coeur n9py1g - Eugenol
patvat

13/06/2006 à 13h26

heureusement que la 43 tient le reste


al

13/06/2006 à 14h53

allez je vais te réconforter un peu : deux merdes en noir et blanc, prises à 2 ans d'intervalle, temps durant lequel ma patiente a oublié qu'elle avait un dentiste...

c'était bien la peine que je me défonce pour cette endo.

tu me diras, elle a accepté l'implant...

R5 pqguqu - Eugenol
R7 q9y1jf - Eugenol

Pa050055 igyagy - Eugenol
mark

13/06/2006 à 15h36

Un peu trop blanche, non? :))
Ne croyez-vous que ce serait déprécier la haute teneur de ce forum que de consacrer ce néologisme barbare pour désigner une "panoramique insuffisamment rehaussée en qualité avant édition électronique"? :)
Combien de temps entre les deux clichés stp?

Pardon alhoun pour cette digression, dont je ne suis toutefois pas l'instigateur.

Le but du post, c'est quoi? une énigme? je peux essayer de jouer? Merci:

Non au bridge mixte, ça je crois l'avoir compris.
Le patient refuse ta proposition, mais quels ont été ses arguments?
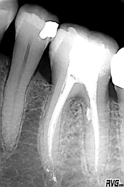
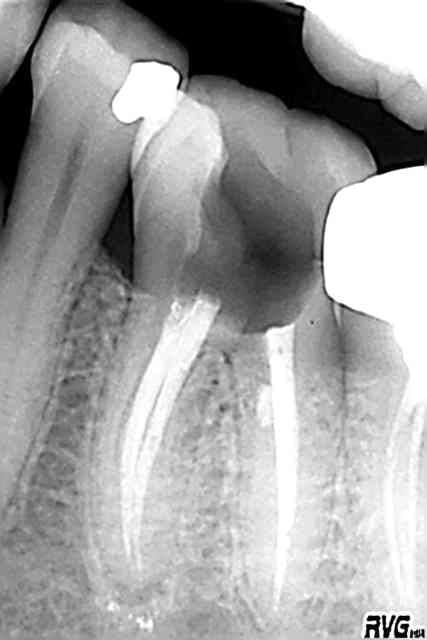
S'il veut la même chose qu'en bas, impossible, il manque un apex oublié en secteur 2 (mais peut-être suis-je abusé par un artefact de ce remarquable cliché que tu n'auras pas pu ou voulu retoucher. ;)
Pourrais tu m'apprendre si la résorption osseuse autour des implants est due seulement à l'hygiène, la tabagie, ou l'option mixte retenue par le confrère?


024 vownvo - Eugenol
annie

13/06/2006 à 16h53

puisque l'on disgresse,disgressons encore,recu aujourd'hui ce message sur mon répondeur
"annie(oui ami d'un parent)ma provisoire (posée il y aa 15 jours) bouge,comment se fait il que la précedente ait duré 2ans sans bouger?on se voit demain comme convenu(il avait sauf erreur,rv la semaine dernière),mais je voulais vous dire que je n'étais pas content"
le cas,un provisoire résine datant de mathusalem,et des racines résiduelles,sur deux ou trois dents antérieures
il y a deux ans proposition de fixe,debut de traitements,ppa en bas pour ne pas trop gonfler le devis mais assurer provisoirement une occlusion normale
il reste deux ans sans revenir,m'appelle la veille d'un voyage,je le reçois en urgence,deux heures,refaire les provisoires rebaser la plaque,y renforcer une dent branlante,le tout dans un climat de stress car il avait un rendez vous tres important le lendemain
limite,engueulade,j'ai fait appel à tout mon self controle pour ne pas que ça dérive plus,bien que l'ayant remis à sa place à plusieurs reprises
je me propose de lui répondre que le temps normal d'une provisoire sur une dent pourrie,est de relativement quinze jours et que plutot de ne pas être content,il devrait au contraire me remercier et me féliciter que les autres aient tenu 2 ans
qu'en pensez vous?
serait ce la loi des séries,jamais eu ce genre de complainte,et une autre qui n'est pas contente non plus pour un HN et qui pense me conduire en correctionnelle!!(150€)
conseils car je ne suis pas habituée,a ce genre de cas!!


Image19 iebot6 - Eugenol
athos

13/06/2006 à 17h12

a part la patiente de al qui doit etre mignonne puisqu'il ne lui a rien dit,, les autres ayant montré leur nature sont a mepriser sans remords, voire meme avec delectation...

annie, pourquoi tu poursuis les soins, parce qu'il est recommandé par... pfff....parceque tu crains mauvaise presse? il t'en fera de toute maniere! tu as donné sufisament, maintenant meprise.


al

13/06/2006 à 17h20

je lui ai pas rien dit athos, je lui ai fait une proposition d'implant qui est acceptée. c'est l'implantololologistasteur qui va être comptant et moi zaussi...


S8ysxdzhdqgw00w4q6m07a5d47q2 - Eugenol
gai-luron

13/06/2006 à 17h20

oui, athos a tout à fait raison. Il faut s'en débarasser. Stress assuré sinon, et ça merdera toujours


PapaDjé

13/06/2006 à 17h21

C'est trop tard pour le dire, mais globalement il vaut mieux éviter de soigner des proches. Pour ce cas il n'y a pas 36 solutions : ou bien rêgler le probleme, ou bien vous facher avec eux.

Pour le second cas : Il n'y a pas beaucoup de détails mais : si il y a vraiment un problème : faite appel à votre RCP, elle est là pour ça. Si la patiente veut vraiment aller en justice je lui souhaite bien du courrage. Pour obtenir un dédomagement il faudra déjà qu'elle apporte la preuve qu'il y a un préjudice et un lien de causalité entre votre acte et ce préjudice.

Mon conceil : un dossier médical TRES bien tenu.

(Mon expérience : membre de mon conseil de l'ordre avec de plus en plus de plaintes de patients à gérer...)


Amibien

13/06/2006 à 18h56

Le Choixpeau magique Ecrivait:
-------------------------------------------------------

> Alhoun, Amibien te dirait que tu as voulu vendre
> la solution avant de vendre le problème (ou un
> truc dans le genre).
>



Non pas du tout Le choixpeau magique (change de pseudo) je m'imagine le gaillard qui pense que le cabinet d'un implanto est un magasin où il est possible de choisir ce qu'on veut emporter, je m'imagine ce gars croyant en savoir plus que le praticien auquel il s'adresse, devant autant de mépris et un tel comportement qui signent un déséquilibre mental le mieux est de se dire que statistiquement il faut avoir des "non" pour avoir des "oui" et donc il y a tout lieu de se réjouir puisque les oui se rapprochent d'autant !

Je ne suis pas sûr que le patient va trouver de praticien pour faire ce qu'il demande... déjà que le bas droit se fait la malle !!!!


Grueavatar nptrc9 - Eugenol
Le Choixpeau magique

13/06/2006 à 19h08

Amibien Ecrivait:
-------------------------------------------------------
>
> Non pas du tout Le choixpeau magique (change de
> pseudo)

Eh oh, de la part de quelqu'un qui a un nom de bactérie, je ne suis pas vraiment persuadé que tu sois en bonne posture pour critiquer mon pseudo. Ou alors tu me conseilles quoi, E.coli ?


Amibien

13/06/2006 à 20h56

et pourquoi pas "Poupée Barbeuse" ou "Aggripe Noiraud" ou encore "Fuseau Homère" mais aussi "Tournivièle"


Coccinelle mgl0qv - Eugenol
murielle

13/06/2006 à 21h52

"Ici, les patients sont sympas; au fil des années, nous nous sommes permis de virer les cons !..."
C'est ce que m'avait dit un dentiste proche de la retraite lorsque j'avais visité son cabinet. Je n'ai finalement pas racheté mais j'ai fait mienne sa devise.


Amibien

13/06/2006 à 22h40

murielle Ecrivait:
-------------------------------------------------------
> "Ici, les patients sont sympas; au fil des années,
> nous nous sommes permis de virer les cons !..."
> C'est ce que m'avait dit un dentiste proche de la
> retraite lorsque j'avais visité son cabinet. Je
> n'ai finalement pas racheté mais j'ai fait mienne
> sa devise.
>
>


c'est quoi pour toi les "cons" ?


024 vownvo - Eugenol
annie

13/06/2006 à 23h17

Athos,bien que ce patient ne soit pas revenu depuis deux ans,chacun sa vie!,j'étais prête à lui assurer ses soins,jusqu'alors,il était tout à fait poli et convenable
le dernier rendez vous, j'ai mis sa mauvaise humeur sur le fait qu'il était stressé par ce rendez vous important et que les étapes intermédiaires ne donnaient pas toujours satisfaction avant le résultat final,ou il est parti satisfait
le fait qu'une provisoire ait tenu 2 ans sans bouger et que la dernière bouge apres 2 ou 3 semaines,je n'ai plus les dates en tête,l'a surement convaincu que mon dernier travail était baclé
je ne l'ai pas recontacté,je ne sais s'il viendra demain ou pas,mais avant d'aller plus loin,je mettrais les choses au clair
je n'aime pas perdre des patients,j'aime qu'ils soient satisfaits mais pas à n'importe quel prix
on verra


Icon poker h4nm2d - Eugenol
jeff

14/06/2006 à 00h20

Annie, la seule leçon, c'est de ne pas faire des provisoires qui durent 2 ans !


Amibien

14/06/2006 à 01h15

Annie, si tu avais proposé un triatement global et définitif d'emblée soit tu aurais posé du définitif sans emmerdes soit le patient ne serait plus venu, dans les deux cas tu aurais eu la paix...

Perso, j'ai toujours la paix !

Sache aussi que mes provisoires restent au maximum huit jours et que je les fais métalliques pour ne pas qu'elles cassent


024 vownvo - Eugenol
annie

14/06/2006 à 01h26

si tu ne les laisses que 8 jours elles ne devraient pas casser,pas besoin de les faire métalliques
qu'appelles tu metalliques d'abord,parce en métal sur des antérieures ?
j'ai fait cette proposition de traitement qui était acceptée,mais ensuite il a négligé,d'autres priorités
en fait ce n'est pas vraiment un problème sinon que je le trouve culotté et que s'il vient demain je le lui dirais
pas content!! parce que sa provisoire bouge,il ne faut pas charrier


Amibien

14/06/2006 à 02h09

annie Ecrivait:
-------------------------------------------------------
> si tu ne les laisses que 8 jours elles ne
> devraient pas casser,pas besoin de les faire
> métalliques
> qu'appelles tu metalliques d'abord,parce en métal
> sur des antérieures ?
> j'ai fait cette proposition de traitement qui
> était acceptée,mais ensuite il a négligé,d'autres
> priorités
> en fait ce n'est pas vraiment un problème sinon
> que je le trouve culotté et que s'il vient demain
> je le lui dirais
> pas content!! parce que sa provisoire bouge,il ne
> faut pas charrier



Les canines et incisives en résine, les prémolaires et molaires en aluminium rebasé à la résine et scellé temp bond

c'est important que cela ne se déscelle pas sinon tu rames pour le scellement si la gencive n'est pas top...

il faut que les provisoires soient moches à l'oeil pour que les définitives tapent dans l'oeil !

refuse de resceller la provisoire si il ne fait pas le traitement global ou alors tu lui scelles au coe pack sans garantie cette fois...





ODELAF

14/06/2006 à 15h29

Les cons se sont ces patients que l'on dépanne pour ne pas leur faire trop dépenser d'argent ou qui viennent en urgence et qu'on se sent obligé de recevoir ( en géneral avec un patient réglo dans la salle d'attente qui ne comprend pas pourquoi il doit attendre).

C'est vrai que cela nous retombe toujours dessus,alors que c'est par gentillesse que nous avons agi.

Depuis quelques années je suis plus "dur" ;effectivement le traitement global est la solution mais beaucoup de gens ne peuvent y acceder


Dos02 qpcfgi - Eugenol
Rick

14/06/2006 à 15h41

Le provisoire est fait pour durer, 1jour, 1mois et pourquoi pas toute la vie.
A employer le terme transitoire et bien emprégner la ciboule des patients ce que ça veut dire.


12