Tous les forums
centrage des milieux
17/06/2006 à 14h47
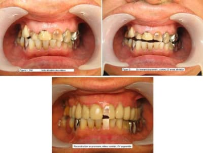
Il est évident qu'entre la figure 1 et la 3, il y a augmentation de DV.
Mais en fait, cette DV était pathologique, fruit d'une usure. La vrai DV, celle d'il y a 30 ans était sûrement proche de celle de la figure 2, avec le léger contact sur 22 en centré.
En prenant un morceau de la figure 2, remis a l'échelle sur la 3, on est quasi à la même hauteur.
Donc, DV augmentée par rapport à la pim ou DV rétablie par compensation de l'usure ?
Tu joues ta virilité sur un problème de sémantique ! :-)
17/06/2006 à 19h08
isaïe Ecrivait:
-------------------------------------------------------
> ... et comme Annie travaille à la masse...
?????
17/06/2006 à 19h17
Rick Ecrivait:
-------------------------------------------------------
> L’air de dominer le sujet ce qui n’est pas mon
> cas.
> Dv, dvo, augmenter, rétablir, c’est dur pour un
> non français de bien saisir les nuances.
> Quelques bribes des posteurs.
>
> "Je remonte en centrage,"
>
> "avant d'augmenter la DVO"
>
> "elle a pas l'air d'être augmentée des masses"
>
> "bien je pense que la DVO n'a pas été augmentée
> sauf d'un coté"
>
> "a mon avis la DVO n'apas été augmentée reellement
> sauf qu'en occlusion centrée le coté droit en
> inocclusion a été "rallongé " afin de rétablir
> cette occlusion"
>
> "la dv n'a pas été augmentée, elle a été
> rétablie."
>
> "les images tellement claires ../.. tu aurais du
> voir tout seul que la DVO n'avait pas été
> augmentée,ni des masses ni pas du tout"
>
> Vois tu Annie c’est limpide, ça me fait avancer
> dans le français, merci encore.
> Cordialement.
Rick,je n'ai pas la prétention de dominer le sujet ,je donne mon avis ,relève les railleries alors que Jeff,qui est le seul a avoir tous les éléments en main est apte a dire si la DVO a été augmentée "pas des masses " ou pas du tout
il se trouve qu'il me donne raison,
mais je te répondais sur ton intervention qui a disparu,c'est pourquoi je dis que ma réponse n'a plus aucun sens
j'en profite pour demander clairement et pas seulement avec des points d'interrogation,ce qu'Isaie sous entend en disant que je travaille à la masse,j'avoue ne pas avoir compris
17/06/2006 à 19h54
... mauvaise plaisanterie, j'avais des craintes pour ses mâles attributs que Ben mettait imprudemment en jeu..
17/06/2006 à 20h07
avant de passer à l'action,il faudrait d'abord qu'il admette avoir tort,tous les arguments seront bons pour nier l'évidence,donc en fait il ne prend pas beaucoup de risques
et heureusement,sinon sur le site nous n'aurions que des eunuques,si tous les paris avaient été tenus!!
17/06/2006 à 20h47
Annie, Annie,
J’ai effacé par-ce que mes posts étaient jugés incorrects, de plus je craignais une mauvaise suite (ci-dessous) ça n’a pas raté, et donc corbeille.
Faut toujours que t’aies le dernier mot, c’est ton caractère ou typique chez les femmes ? On va encore me la sortir celle du machisme.
Laisse tomber l’orgueil, eunuques, évidences, négligences etc., personne ne cherche à gagner quoi que ce soit sauf la fraternité si tant et si bien que cela puisse exister. J’ai perdu la chique avec tout ça, tiens prends une clope.
Tout ceci pour une histoire de milieux et de mauvaise interprétation sémantique. Jeff à tout éclairci et posé la question,
Ecrase la clope.
« N'oubliez pas mes questions sur le centrage, qui sont de vraies interrogations, si vous avez des réponses. »
17/06/2006 à 20h51
Jeff a remis d'autorité les milieux au milieu. On aurait pu prendre un plan rétroincisif, non?
Ou Gerber? De toute façon, au bout du compte, quand le patient pourra sourire et manger (objectif atteint) il y a le réglage fin qui empêchera la réhabilitation d'être pathogène.
17/06/2006 à 21h41
Rick,liberté totale de rectification,sauf pour ceux qui retransmettent intégralement et systématiquement les messages auxquels ils répondent ce qui n'est pas toujours mon cas
En tout cas tu as raison sur un point de mon caractère (je ne sais si c'est réservé à la gente féminine ou pas),mais avant d'admettre que j'ai tort il faut être tres persuasif et me donner les preuves et les bons arguments,je pourrais même dire "et encore!!"mais cela serait faux:
Ceci dit,juste gratuitement,sans rien vouloir prouver,juste pour le plaisir de la confrontation,
dépourvue de toute arrière pensée malfaisante
merci pour l'idée de la clope,au cas ou j'aurais oublié,malheureusement non!!
17/06/2006 à 22h44
J'avoue. Ce théme me fait sourir et me met en colére
le titre centrage des milieux quoique lourdement charger de symbolique est une insulte aux lois de Planas quant au devellopement de la mandibule de facon unilaterale pendant la perdiode l'enfance et adolescence, soit vous etes bornés soit vous connaissez pas Planas.
Je n'en veux pas pas à Jeff d'avoir poser ce cas qui n'est qu'un cas de DV , et ca la DV on peut jouer avec, quoique disent certains.
Mais surtout l'amalgammer pour certains comme une obligation absolue de recentrer les points interincisifs
Mais recentrer les milieux, c'est un peu le discours des ostéos qui s'evertuent à remettre en face les points interincicifs aforce de "manipulations douteuses"
IL faut penser aux confrères qui vont passer sur ce site et qui vont se dire, "purée il faut absolument que je mettes les points interincisifs l'un en face de l'autre"
Quelle hérésie!!! on peut avoir une trés bonne occlusion avec décentrage des milieux.
A toi Jeff de corriger, et comme je sais que tu connais trés bien Planas, je sais que tu comprendras l'importance de mon post.
18/06/2006 à 23h15
il y a aussi le proverbe " à l'impossible nul n'est tenu!"
si l'on peut joindre l'utile à l'agréable dans démonter la tête du patient,et agir quand même en personnes responsables,il est préférable de retrouver une symétrie et de recentrer les milieux
c'est mon avis qui ne vaut que ce qu'il vaut,le tout etant bien sûr, réalisé au cas par cas
18/06/2006 à 23h28
"...il est préférable de retrouver une symétrie..." sauf que ça ne veut rien dire et que ça ne sert à rien.
18/06/2006 à 23h53
isaïe Ecrivait:
-------------------------------------------------------
> "...il est préférable de retrouver une
> symétrie..." sauf que ça ne veut rien dire et que
> ça ne sert à rien.
cela me fait penser à ma mère (Dieu ait son âme) qui voulait toujours que mes chemises soient bien mises dans le pantalon, que mes boutons soient bien fermés, que mes cheveux soient bien peignés, etc...
19/06/2006 à 01h38
isaïe Ecrivait:
-------------------------------------------------------
> "...il est préférable de retrouver une
> symétrie..." sauf que ça ne veut rien dire et que
> ça ne sert à rien.
déja esthétiquement ça sert à quelque chose car c'est souvent le premier motif de consultation!
19/06/2006 à 01h41
Amibien Ecrivait:
-------------------------------------------------------
> isaïe Ecrivait:
> --------------------------------------------------
> -----
> > "...il est préférable de retrouver une
> > symétrie..." sauf que ça ne veut rien dire et
> que
> > ça ne sert à rien.
>
>
> cela me fait penser à ma mère (Dieu ait son âme)
> qui voulait toujours que mes chemises soient bien
> mises dans le pantalon, que mes boutons soient
> bien fermés, que mes cheveux soient bien peignés,
> etc...
les chemises et les pantalons pas tres grave,je suis peut -être rétrograde mais les dents,je préfère quand même les voir bien rangées
19/06/2006 à 10h04
Humb, tu es d'accord, pourtant il me semble que c'est la façon de faire de Clausade, technique que tu utilises me semble t'il ?
A moins que la confusion vienne des freins/ pt inter incisif ?
19/06/2006 à 12h22
Dans le cas présenté, la démarche choisie paraît logique.
La question est: aurait-on le même résultat de centrage si on utilisait un plan rétroincisif?
Le patient reviendrait-il au milieu spontanément?
Combien de temps faudrait-il pour revenir éventuellement au milieu?
En n'oubliant pas que le temps de port est limité à cause du risque d'égression.
19/06/2006 à 13h57
et que faîtes-vous du placement articulaire, vous vous asseyez dessus ?
19/06/2006 à 17h40
âme qui souffre Ecrivait:
-------------------------------------------------------
> et que faîtes-vous du placement articulaire, vous
> vous asseyez dessus ?
et si au contraire cela supprime les douleurs articulaires?
"ame qui ne souffre plus"
19/06/2006 à 19h58
> et que faîtes-vous du placement articulaire, vous
> vous asseyez dessus ?
Siée-toi dessus raconte si tu es bien placé et comment ça articule
19/06/2006 à 23h38
Ben
"Humb, tu es d'accord, pourtant il me semble que c'est la façon de faire de Clausade, technique que tu utilises me semble t'il ?
A moins que la confusion vienne des freins/ pt inter incisif ?"
Des fois ça marche, des fois ça ne marche pas,
Les freins et les points inter incisifs ne sont jamais placés idéalemnt.